| zurück Home | Strahlentherapie der Thoraxwand mit Expander | |||
| allgemeines | Ein Expander kann bei der Bestrahlung Probleme machen. | |||
| MAGNA-SITE tissue expander | Expander werden nach Mastektomie für einen späteren Brustaufbau eingesetzt. | Das Ventil eines McGhan Style 133 Tissue Expander enthält einen sehr dichten Magneten aus seltenen Erden und einer Titan-Kapsel. | ||
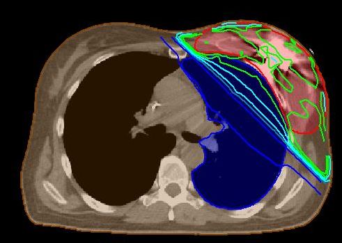
| Dosimetrie | Messungen mit einer p-Type - Diode ergaben eine Abschwächung der Dosis bis 30% (1). | Bei tangential opponierenden Feldern beträgt die Unterdosierung ca. 10%. | Das Planungssystem konnte die Dosis nicht exakt berechnen. | |
![]() |
![]() |
|||
![]() |
||||
| Quellen |
1.) Thompson RC, Morgan AM: Investigation into dosimetric effect of a MAGNA-SITE tissue expander on post-mastectomy radiotherapy. Med Phys. 2005 Jun;32(6):1640-6. DOI: 10.1118/1.1914545 |
|||
Impressum Zuletzt geändert am 03.10.2012 20:24