zurück Home

Endometrium - Karzinom: Klinik

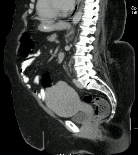
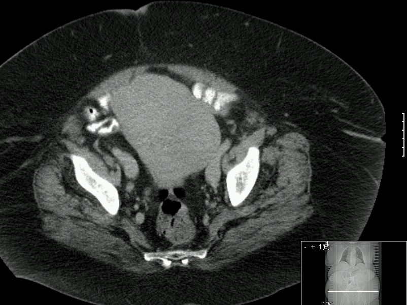
64-jährige adipöse Frau (BMI 57) mit stark vergrößerter Gebärmutter.

Epidemiologie

Häufigster Genitaltumor der Frau

Prognose

Biphosphonat Bei Frauen, die Biphosphonate bekommen hatten, war das Risiko, ein Endometrium - Karzinom zu bekommen, vermindert (HR=0.76; P=0.01). (1)

Rezidiv

Metastasierung

Lymphknoten

81-jährige Patienten mit Endometriumkarzinom von 23 Jahren. Jetzt ossäre Metastase des vorderen rechten Schambeins mit pathologischer Fraktur. Zystische Raumforderung dorsal seit 8 Jahren unverändert.

Staging

Diagnostik

Sonographie

CT

Teil von

Endometrium-Karzinom Gynäkologische Onkologie Onkologie

Quellen

1.) Newcomb PA, Passarelli MN, Phipps AI, et al.:
Oral Bisphosphonate Use and Risk of Postmenopausal Endometrial Cancer.
J Clin Oncol 2015; 33: 1186-1190

Impressum                         Zuletzt geändert am 26.04.2015 18:46