zurück Home

Endometrium-Karzinom C54

weiter Pfeil

Endometrium - Karzinome entstehen in der Schleimhaut derGebärmutter.

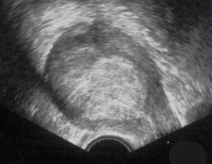
Das Bild zeigt eine vaginale Sonographie eines Endometrium - Ca mit Serosa - Infiltration (Quelle: CA Dr. Müller, Salzwedel)

Epidemiologie

Tamoxifen

Prognose

Sono T3a

Klinik

Rezidiv

Metastasierung: Lymphknoten

Staging

Diagnostik: Sonographie

Morphologie

Endometriales Stroma - Sarkom

Therapie

Ladner - Ergebnisse

Ergebnisse

Operation

Radiatio

Chemotherapie

offene Protokolle

Quellen

1.) S2k Leitlinie der Kommission Uterus der AGO:
Empfehlungen für die Diagnostik und Therapie des Endometriumkarzinoms.
2011

Teil von

Gynäkologische Onkologie Onkologie Uterus

Impressum                         Zuletzt geändert am 08.01.2024 22:12