Endometrium - Karzinom: Metastasen | |||
| Allgemeines | |||
| Lymphknoten - Metastasen | |||
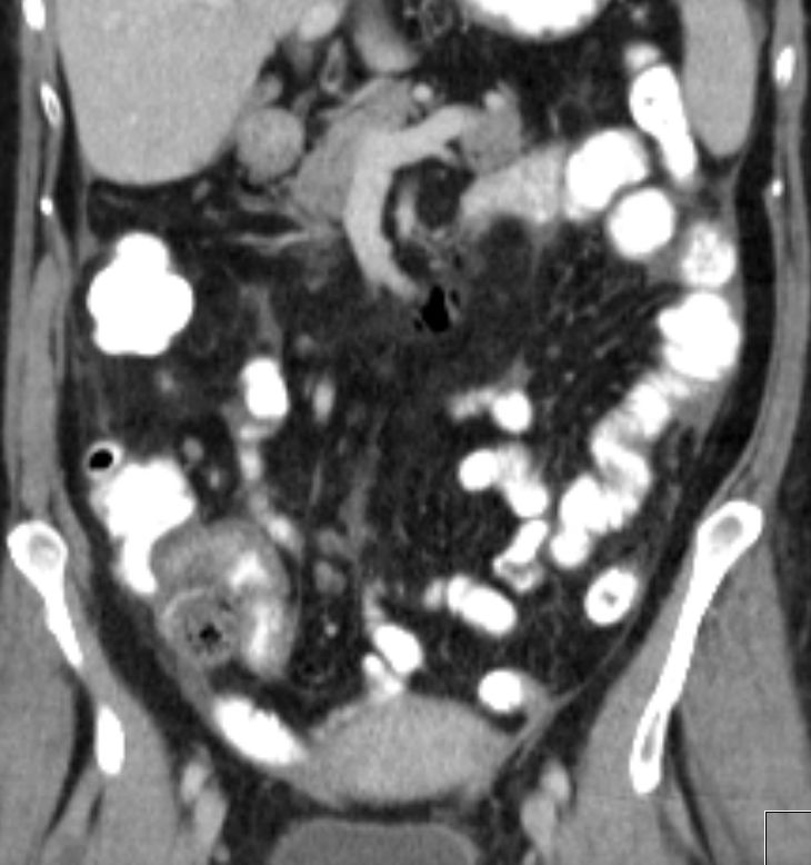
| Peritoneale Metastasen | 74-jährige Frau mit endometrioidem und klarzelligen
Karzinom des Uterus. Zeichen der peritonealen Aussaat.![]() |
||
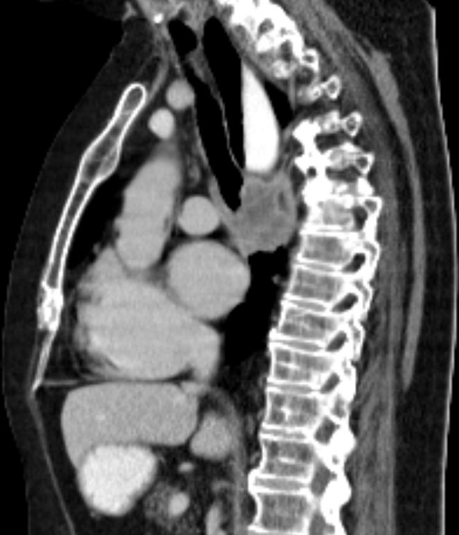
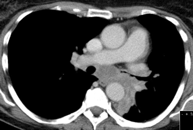
| Mediastinum | 71-jährige Frau, 3 Jahre nach radikaler
Hysterektomie wegen endometrioidem Corpuskarzinom pT1a pNo(0/48) Mo Lo Vo. Jetzt
Ösophagusstenose durch mediastinale Metastase. Zusätzlich Lungenmetastasen.
![]() |
||
| Mediastinum | 73-jährige Frau, 4 Jahre nach radikaler
Hysterektomie wegen endometrioidem Corpuskarzinom. Jetzt mediastinaler Befall
mit Einbruch in den linken Hauptbronchus.![]() |
||
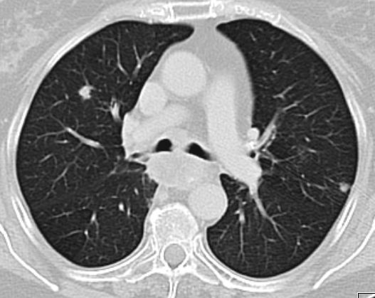
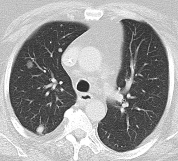
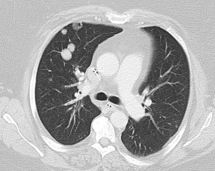
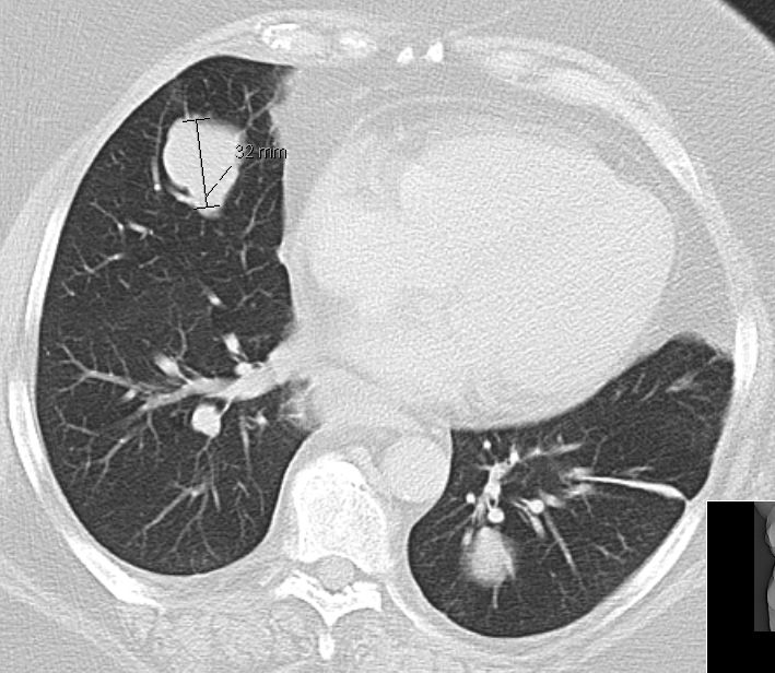
| Lunge | 58-jährige Frau, die vor 3,5 Jahren ein
Endometriumkarzinom pT2 pNo(0/33) Mo G1 hatte. 10 Monate später Pleuraerguss,
pulmonale Metastasen. Jetzt 3. Progress Carboplatin, Taxol, MPA.![]() |
![]() |
![]() |
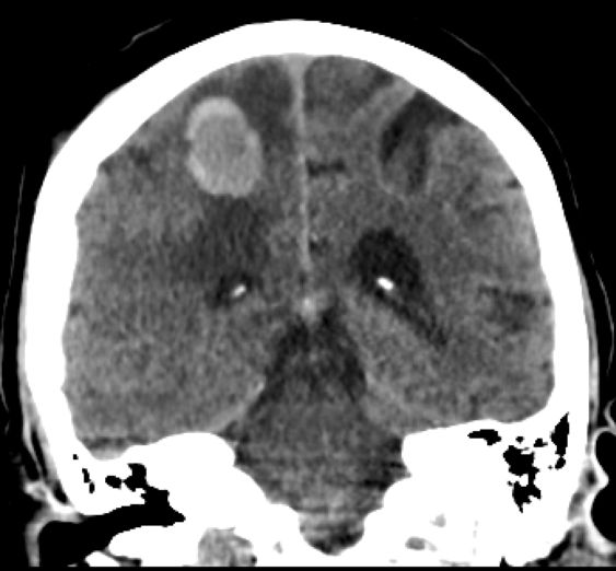
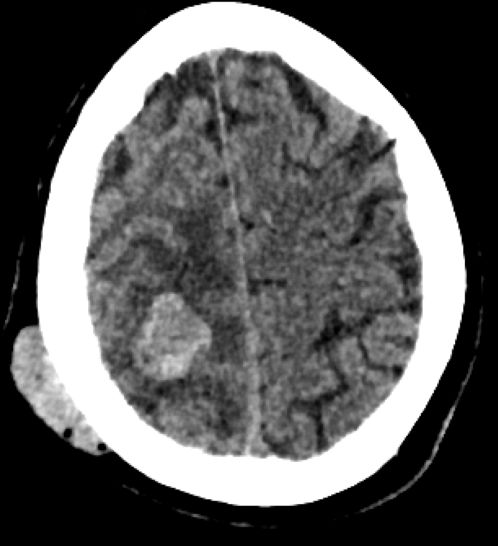
| Gehirn | Ein Jahr später wurde die Patientin krampfend und kollaptisch in der Wohnung aufgefunden. Ein CT ergab eine Hirnmetastase, die neurochirurgisch entfernt werden konnte.![]() |
![]() | |
| Knochen | 81-jährige Patienten mit Endometriumkarzinom von
23 Jahren. Jetzt ossäre Metastase des vorderen rechten Schambeins mit
pathologischer Fraktur. Zystische Raumforderung dorsal seit 8 Jahren
unverändert.![]() | ||
Impressum Zuletzt geändert am 16.09.2012 20:45