| zurück Home | Klinik des Zervix - Karzinoms | |||
| klinische Untersuchung | ![]() |
![]() |
![]() |
![]() |
| HPV | Nachweis z.B. mit PapilloCheck | |||
| Gynäkologische Zytodiagnostik | Die Zytologie vom Muttermund ist die wichtigste Früherkennungsmethode. | Die Einteilung erfolgt nach der Münchner Nomenklatur II von 1989. | ||
| Kolposkopie | Betrachtung der Zervix mit einer Stereolupe. | Auch Veränderungen der Vulva und Vagina sind beurteilbar. | Durch 3% Essigsäure wird das Epithel weiß gefärbt und dadurch kontrastiert. | Mit der Schillerschen Jod-Jodkali-Lösung wird Glykogen schokoladenbraun gefärbt. |
| Biopsie | Bei einem sichtbaren Tumor sollte niemals eine alleinige Zytologie entnommen werden. Diese kann bei zentral nekrotischem Tumor falsch negativ ausfallen. | Cervicore®: Eine feine Spirale wird in den verdächtigen Befund eingedreht. Dann wird eine Schneidkanüle eingedreht und der Zylinder entnommen. Vorteil: Gewinnung von Epithel mit Bindegewebesunterlage. | ![]() |
![]() |
| SCC-AG | Squamous Cell Carcinoma Antigen | |||
| CYFRA 21.1 | Serum-Cytokeratin-Fragment 21.1 | |||
| Metastasen | ||||
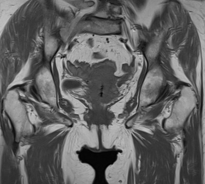
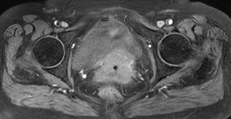
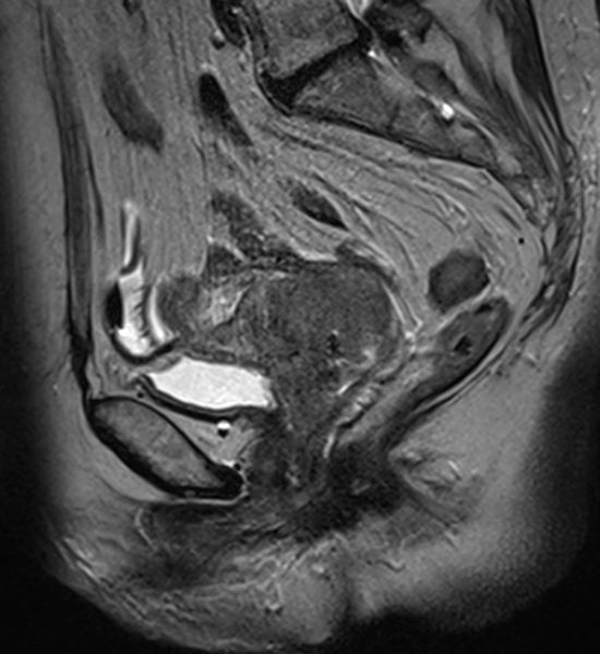
| MRT | 71jährige Frau, die wegen Uterus-Totalprolaps eingeliefert wurde. Der Uterus wurde reponiert und zeigte einen 5cm großen Zervixtumor. | |||
![]() |
![]() |
![]() | ||
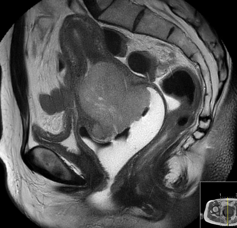
| MRT | 46-jährige Frau mit großem invasivem
Plattenepithelkarzinom der Zervix.![]() |
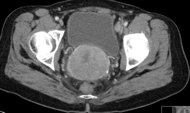
Im CT suspekter Lymphknoten iliaca externa links
neben der Blase.![]() | ||
Teil von |
Zervix - Karzinom | Gynäkologische Onkologie | Uterus | |
Quellen |
||||
Impressum Zuletzt geändert am 21.02.2022 20:28