| zurück Home | Metastasen des Zervix - Karzinoms | ![]() | ||
| allgemeines | ||||
| Ovarial - Metastasen | Bei Adenokarzinomen wurden in 5,31% primäre Ovarialmetastasen gefunden, bei Plattenepithelkarzinomen in 0,79% (1). | |||
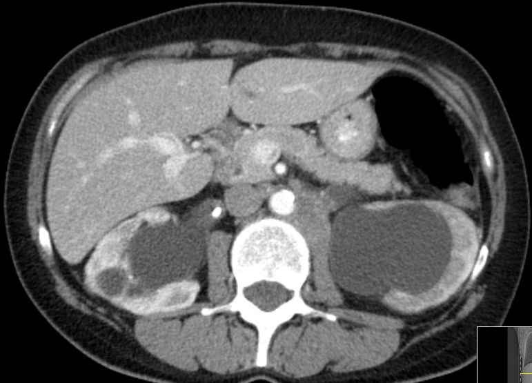
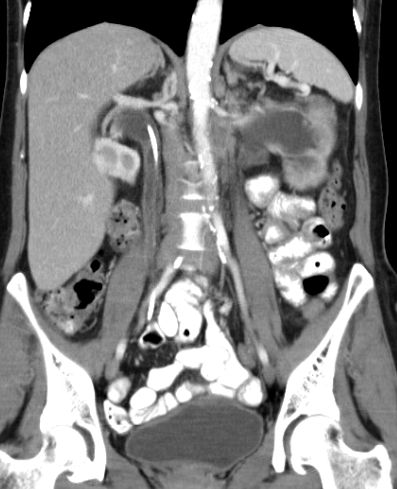
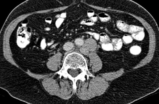
| paraaortale Lymphknoten - Metastasen |
![]() Großes Lymphknotenkonglomerat links paraaortal. Vergrößerte Lymphknoten an der linken Beckenwand. |
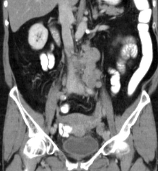
![]() 2 große Lymphknoten links zwischen Aorta und Musculus psoas. | ||
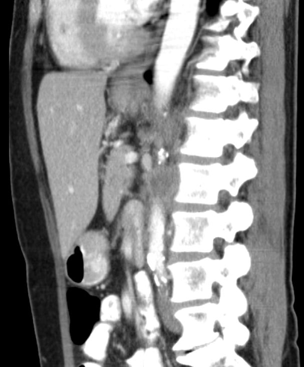
| paraaortale Lymphknoten - Metastasen | 54-jährige Frau, die vor 4 Jahren wegen eines
Zervix - Karzinoms FIGO IIIb mit Radiochemotherapie behandelt wurde. Damals praevesikaler Harnstau beiderseits. Jetzt neu Harnstau links. RF links paraaortal. ![]() | |||
![]() |
![]() | |||
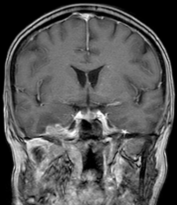
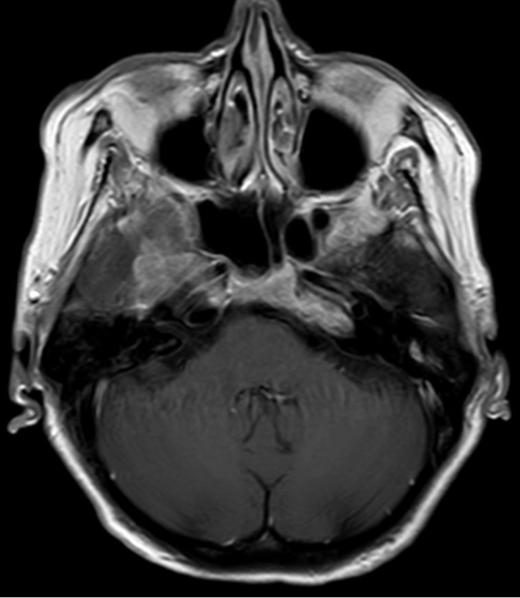
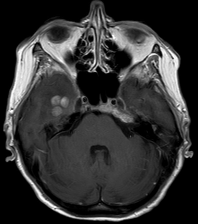
| Schädelbasis | 62-jährige Frau, bei der vor 2 Monaten ein Plattenepithelkarzinom der Zervix FIGO IIIB mit Radiochemotherapie behandelt wurde. Die Uterusgröße hatte von 13 auf 6 cm abgenommen. Jetzt Aufnahme mit der Diagnose Apoplex. | |||
An der Basalfläche des rechten Temporallappens KM - aufnehmende RF.![]() |
![]() | |||
![]() |
![]() | |||
Unklare Doppelkontur der Meningen des Halsmarks.![]() |
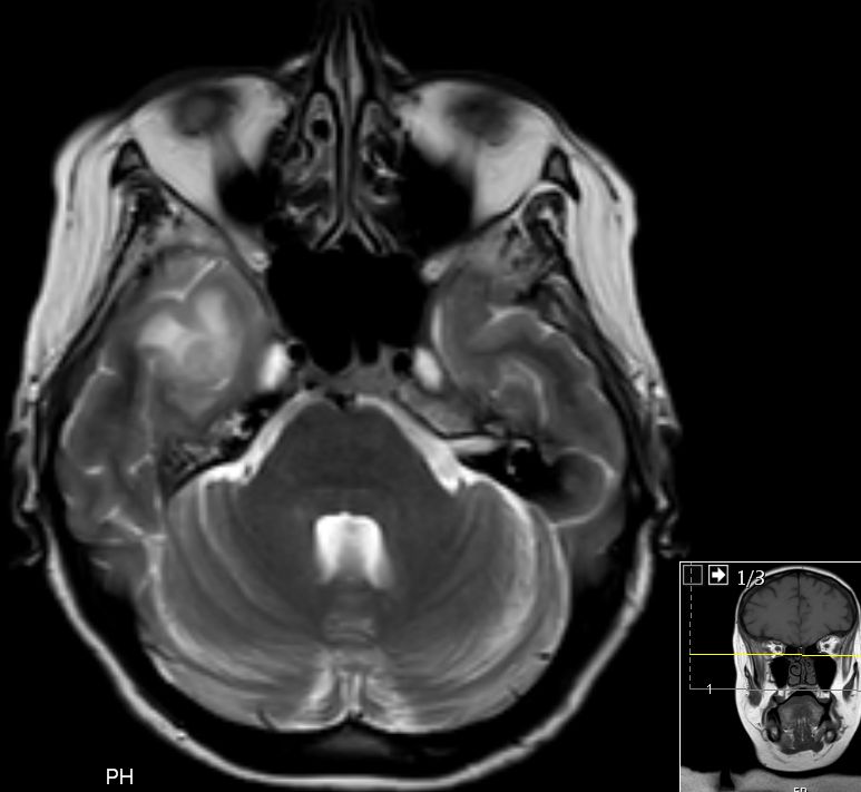
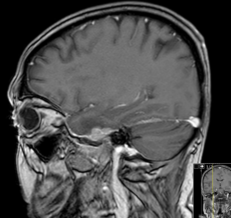
Ödem des rechten Temporallappens.![]() | |||
| Quellen |
1.) Shimada M, et al. Ovarian metastasis in Carcinoma of the uterine cervix. Gynecol Oncol 101(2006): 234-237 | |||
Teil von |
Zervix - Karzinom | Gynäkologische Onkologie | Onkologie | Uterus |
Impressum Zuletzt geändert am 21.02.2022 20:28