zurück Home

Zervix - Karzinom C53

Lymphabfluss

allgemeines

 

Epidemiologie

HPV

Prognose

Das Zervix-Karzinom bildet sich am weiblichen Muttermund. Es ist bei der zytologischen Krebsfrüherkennung gut zu erkennen. Die meisten Fälle werden vor der Invasion als Carcinoma in situ erkannt und zerstört.

Klinik

Metastasierung

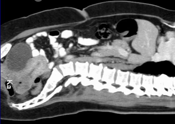
Das CT zeigt einen Längsschnitt einer Frau mit einem Zervix - Karzinom
CT sagital

Stadien

Diagnostik, Screening

Morphologie: Zytologie

Therapie

Ergebnisse, Studien

offene Studien

Ergebnisse: Ladner

Operation

Strahlentherapie, Afterloading

Chemotherapie

Quellen

Teil von

Gynäkologische Onkologie Onkologie Uterus
blauer Punkt

Impressum                               Zuletzt geändert am 21.02.2022 20:28