zurück Home Nebennieren - Tumoren Lymphabfluss der Nebennieren
1. entlang der Arteria suprarenalis superior
2. entlang der mittleren Arteria suprarenalis
3. entlang der suprarenalen Venen
4. Lymphgefäße können das Zwerchfell perforieren und dorsale mediastinale Lymphknoten befallen
5. Lymphgefäße direkt zur Leber
Lymphabfluss der Nebennieren
allgemeines
Epidemiologie 1/3 Phaeochromozytom, 1/4 hormoninaktiv, 1/5 Conn, 17% Cushing
Phaeochromozytom Tumoren des Nebennierenmarks
Nebennieren - Rinden - Tumoren

Klinik

Metastasierung

Staging: ENSAT-Klassifikation

Stadium IStadium II Stadium III Stadium IV
= 5 cm> 5 cm
  • Umgebungsinfiltration
  • Befall regionärer Lymphknoten
  • Tumorthrombus in der Vena cava inferior
  • Tumorthrombus in derVena renalis
Fernmetastasen.

Diagnostik


Empfehlung ENSAT

Glucocorticoide

  • Dexamethason-Hemmtest (1 mg Dexa p.o. um 23:00 h, am nächsten Morgen Cortisol i.S.)
  • 24-h-Sammelurin auf Cortisol
  • basales Cortisol (Serum)
  • basales ACTH (Plasma)
Mineralocorticoide
  • Serum-Kalium
  • Aldosteron/Renin-Quotient (nur bei Hypertonie und/oder Hypokaliämie)

Sexualsteroide und Steroidvorläufer

  • DHE AS (Serum)
  • 17-Hydroxyprogesteron (Serum)
  • Androstendion (Serum)
  • Testosteron (Serum)
  • Östradiol (bei Männern und postmenopausalen Frauen)
Phäochromozytom
  • 24-h-Sammelurin auf Katecholamine/ Metanephrine -
  • Meta- und Normetanephrine im Plasma
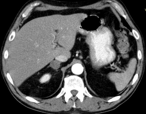
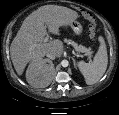
Adenom
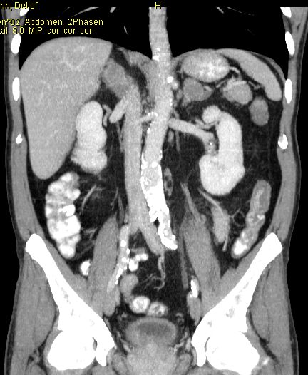
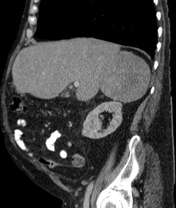
Tumor

Quellen 1.) Fassnacht M, Johanssen S, Quinkler M, et al.:
Limited prognostic value of the 2004 International Union Against Cancer staging classification for adrenocortical carcinoma: proposal for a Revised TNM Classification.
Cancer 115(2009):243–50

Teil von

Tumoren endokriner Organe Onkologie
blauer Punkt

Impressum                           Zuletzt geändert am 15.09.2012 23:25