| zurück Home | Nebennieren - Rinden - Tumoren | |||
| allgemeines | ||||
Epidemiologie |
Das adrenocorticale Karzinom ist selten. | 0,7-2,0 neue Fälle / 1.000.000 EW*a | ||
Prognose |
5-a-Survival < 15% bei metastasiertem Karzinom. | |||
Klinik |
||||
Kinder |
Germline TP53-Mutation in 50%-65% | Brasilien 95% TP53p.R337H-Mutation | ||
Metastasierung |
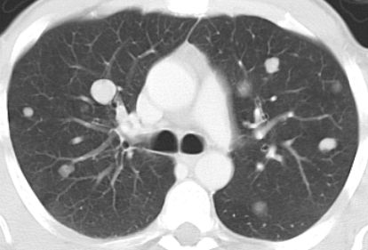
Lungenmetastasen nach NNR-Karzinom![]() | |||
| TNM - Klassifikation nach UICC/AJCC 7 | ||||
Adenom |
![]() |
![]() | ||
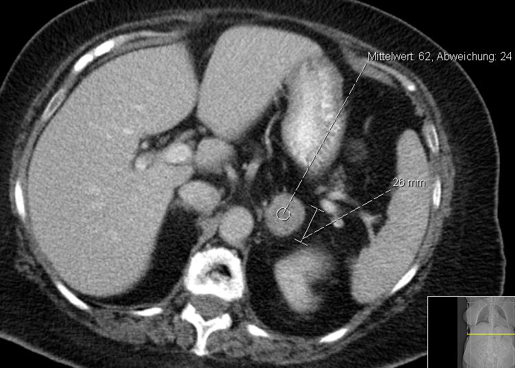
| 69-jährige Frau mit Zervixkarzinom von 6 Monaten. Nach kombinierter Radiotherapie und Chemotherapie rezidivfrei. Linke Nebenniere vergrößert, KM-aufnehmend. Befund seit 9 Monaten konstant. ![]() | ||||
Adenom |
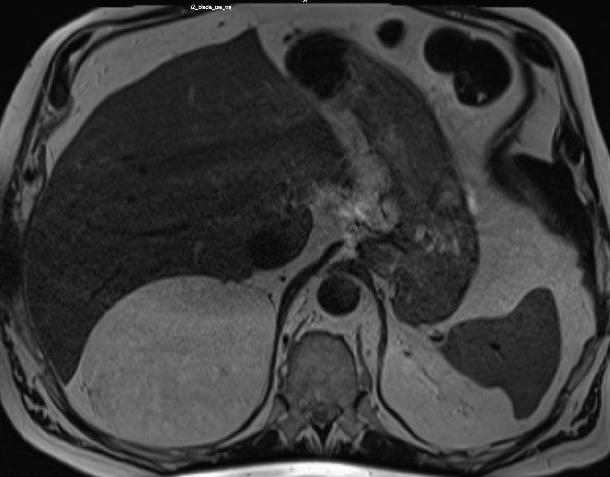
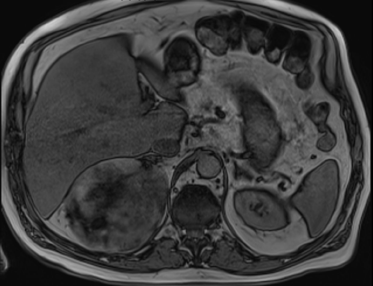
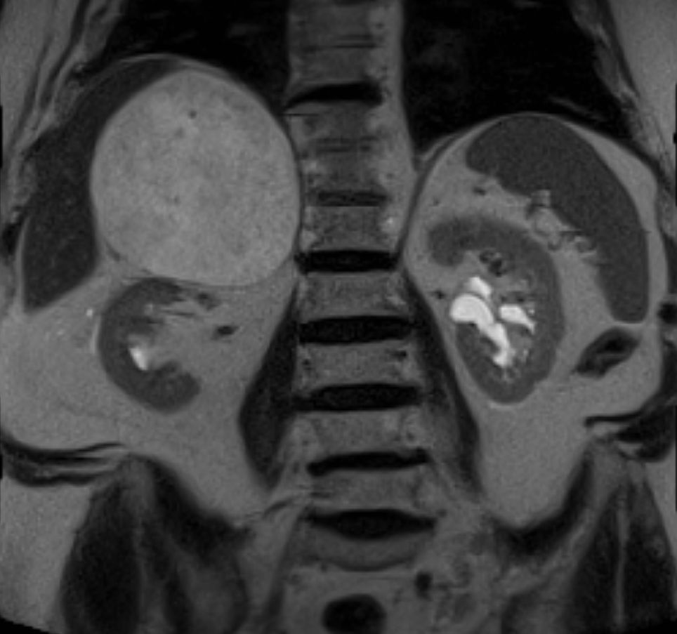
79-jähriger berenteter, adipöser Fleischer mit respiratorischer Insuffizienz. Urothel-Ca vor 15 Jahren. Jetzt kleines Bronchial-Karzinom. Beim Tumorstaging wurde ein großer NN-Tumor rechts entdeckt. | |||
![]() |
![]() | |||
![]() |
![]() |
![]() | ||
Diagnostik |
||||
Morphologie |
Lin–Weiss–Bisceglia criteria (2,3) | Zur Unterscheidung von malignen und nicht malignen Oncozytären NNR-Neoplasien | ||
Therapie | ||||
Chemotherapie |
Mitotane | Lysodren® | 500mg Tabletten | |
| Mitotane-Streptozocin, Etoposid-Cisplatin-Doxorubicin, Gemcitabine-Capezitabine | ||||
| Ergebnisse | FIRM-ACT-Studie | |||
| ACCOMPLISH | Pembrolizumab plus Lenvatinib in advanced adrenal cortical carcinoma after failure of platinum- and mitotane-based chemotherapy | |||
| ADUIVO2: Mitotane +- Cisplatin-Etoposid (Rekrutierung) | ||||
Rest |
European Network for the Study of Adrenal Tumors | |||
Teil von |
Tumoren endokriner Organe | Onkologie | ||
| Quellen |
1.) Fassnacht M, Johanssen S, Quinkler M, et al.: Limited prognostic value of the 2004 International Union Against Cancer staging classification for adrenocortical carcinoma: proposal for a Revised TNM Classification. Cancer 115(2009):243–50 2. Mete O, Gill A, Sasano H: Adrenal cortical carcinoma. In: WHO classification of tumors: urinary and male genital tumors. Lyon, France: International Agency for Research on Cancer, 2022. 3. Bisceglia M, Ludovico O, Di Mattia A, et al:. Adrenocortical oncocytic tumors: report of 10 cases and review of the literature. Int J Surg Pathol 2004;12:231-43. | |||
Impressum Zuletzt geändert am 10.09.2025 16:08