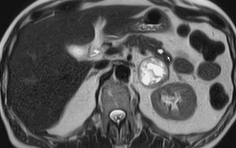
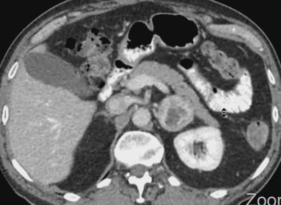
| zurück Home | Phaeochromozytom | Phäochromozytom der linken Nebenniere
CT mit KM | |
| Allgemeines | der Name bedeutet dunkelfarbig | ||
| Epidemiologie | Z.T. genetisch: von Hippel - Lindau, RET-Proto-Onkogen, SDHB, Neurofibromatose 1, MEN 2 | ||
| Stadien | |||
| Prognose | 90% gutartig. | ||
| Diagnose | Metanephrine im Plasma > 0,5nmol/l |
![]() MR, T2-Bild | |
| Klinik | Tumor des Nebennierenmarks. Sezernieren Katecholamine. | ||
| Lokalisation | 98% im Abdomen. 10% doppelseitig. | ||
| extraadrenal | 10% der Phaeochromozytome sind extraadrenal und heißen Paragangliome. | Es ist wichtig, festzustellen, ob der Tumor in der Nebenniere oder daneben liegt. Intraadrenale Tumoren sind immer benigne, paraadrenale zu 20% maligne. | |
| Zuckerkandl - Organ | sympathisches Paraganglion an der A. mesenterica inferior | ||
| Labor | 24-Stunden-Urin: Metanephrin > 180 µg, Normetanephrin > 484µg. Plasma: Metanephrin > 0,5nmol/l, Normetanephrin > 0,9nmol/l | ||
| Metastasierung | . | ||
| Diagnostik | 123J-MIBG (Metajodobenzylguanidin) - Szintigraphie | ||
| Symptome | 90% der Pat. haben Hypertonie, z.T. mit orthostatischer Hypotension. Hohe Catecholaminspiegel führen zu Down-Regulation der Neurotransmitter. | ||
| Morphologie | chromaffine Zellen | ||
| Therapie | Durch die Hypertonie kann es zu einer Hirnschädigung kommen. α-Blocker: Phenoxybenzamin. | ||
| MEN-2 | Patienten mit MEN2 entwickeln häufig medulläre Schilddrüsenkarzinome und Phäochromozytome. | Anstelle der prophylaktischen Adrenektomie kann auch organsparend exzidiert werden. | |
Quelle |
|||
Impressum Zuletzt geändert am 29.06.2017 16:44