zurück Home

Klinik des SCLC

Allgemeines

 

lokale Ausbreitung

Ohne Fernmetastasen 56%
MerkmalHäufigkeit
mediastinale Lk. (CT-Untersuchungen) 90%
supraklavikuläre LK 13%
Vena Cava superior Syndrom 6%
Pleuraerguß 16%
Rekurrenzparese 11%

Fernmetastasen

Mit Fernmetastasen 44%
periphere Lymphknoten 21%
Leber 40%
Knochen 29%
Knochenmark 21%
Gehirn 17%
Nebenniere 7%
Sonstige 8%

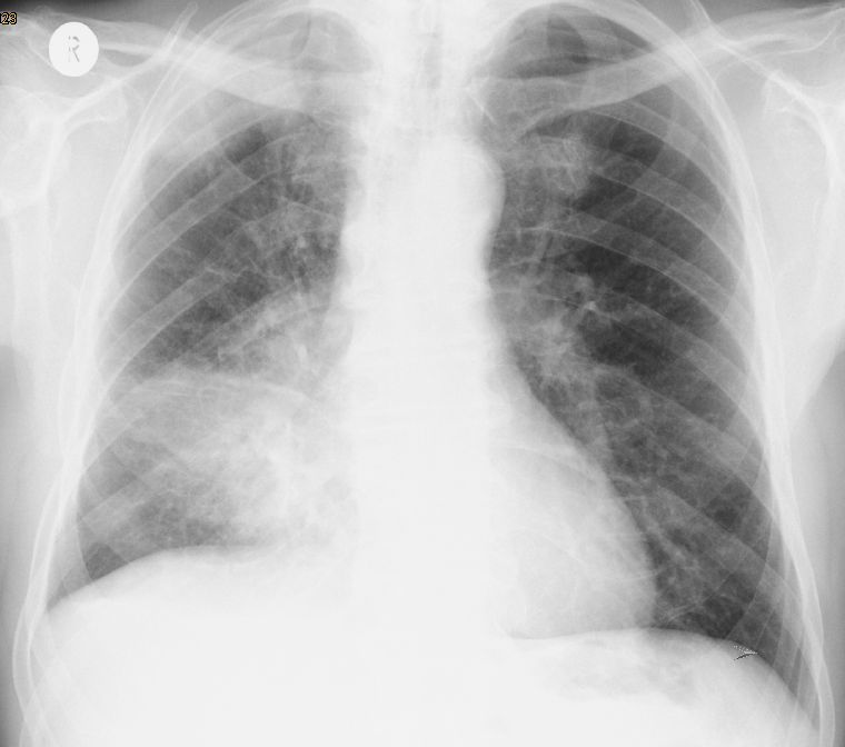
Röntgen Thorax

Kleinzelliges Bronchialkarzinom des rechten Hauptbronchus T4 N2 M1bra.
Kleinzelliges Bronchialkarzinom des rechten Unterlappen T2 N2 M0.
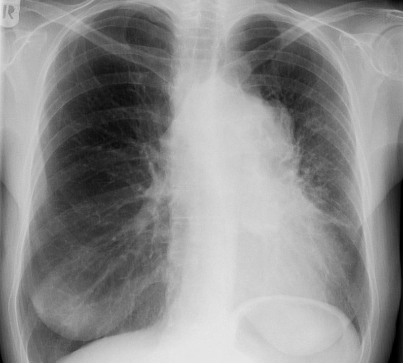
53-jährige Frau mit Dyspnoe und Zeichen der oberen Einflusstauung. Kleinzelliges Bronchialkarzinom rechts zentral.

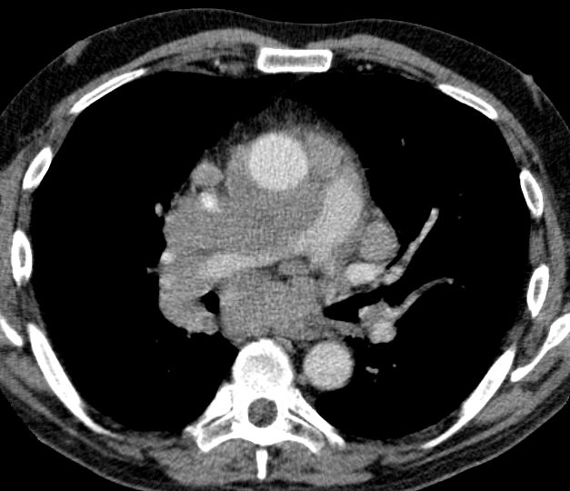
CT

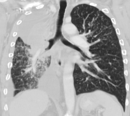
Zentrales kleinzelliges Karzinom rechts. Typisch für Kleinzeller ist die fließende Ausbreitung im Mediastinum.
Kleinzelliges Karzinom des rechten Hauptbronchus mit Occlusion des Oberlappenbronchus T3 N2 M1 bra, pul,adren

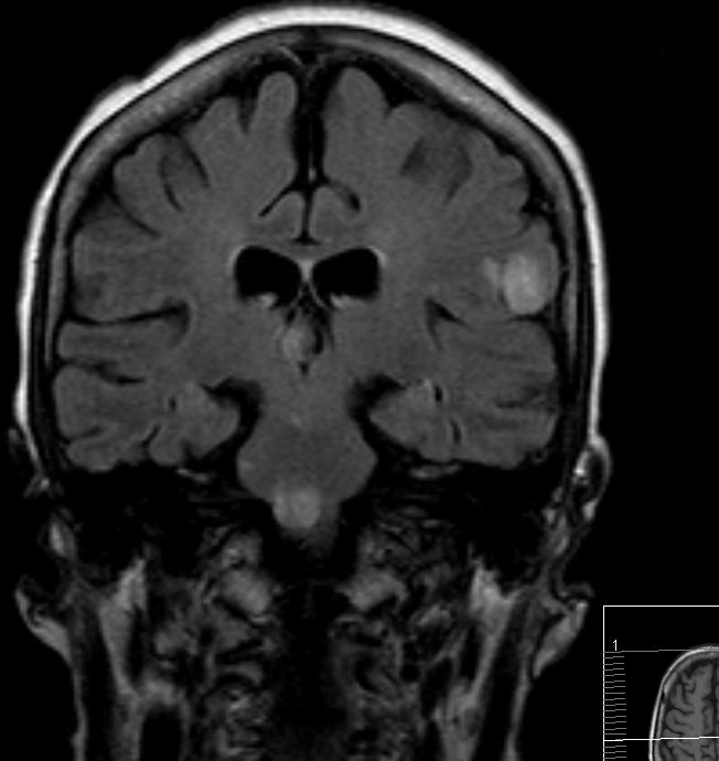
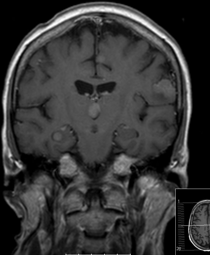
Hirnmetastase

Hirnmetastase links occipital mit ausgeprägtem Ödem.
Im MRT Metastase im rechten Amygdala. Zusätzlich weitere Metastasen.
Patientin mit einer Abducens-Parese. Im MRT Metastase der Medulla oblongata.

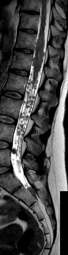
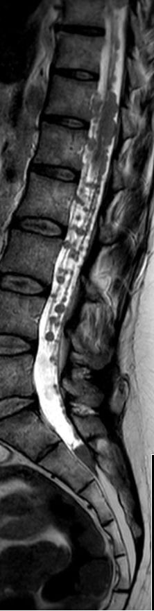
Rückenmarks-Metastasen

48-jährige Patientin mit einem kleinzelligen, neuroendokrinen Bronchialkarzinom. Taubheit der Füße, Kraftminderung und Hypästhesie beider Beine.
RM-Metastasen
Rückenmarks-Metastasen Rückenmarks-Metastasen Rückenmarks-Metastasen

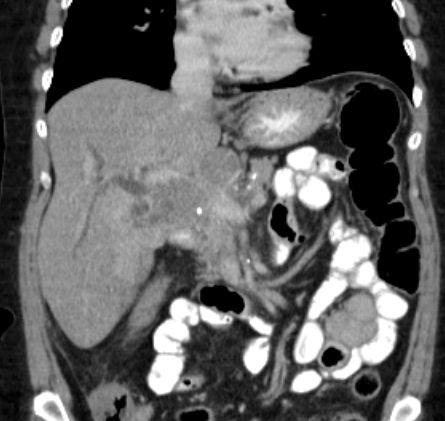
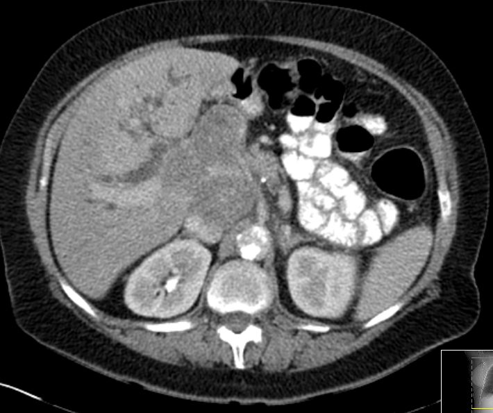
Leberhilus

69-jährige Frau, die mit Verschlussikterus eingeliefert wird. Im Leberhilus eine große Raumforderung. Erweierung der intrahepatischen Gallengänge. Seit einem Jahr chronischer Husten. Eine Untersuchung beim Lungenfacharzt ohne Befund. Nach ERCP und Stenteinlage Rückgang des Ikterus. Bronchoskopisch Nachweis eines kleinzelligen Tumors im rechten Unterlappenbronchus.

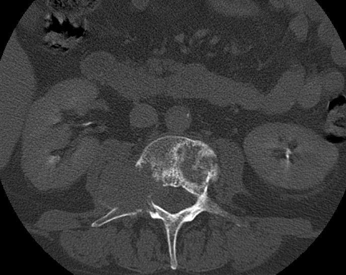
Knochenmetastase


Teil von

SCLC Tumoren des Thorax spezielle Tumoren Onkologie

Quellen

Impressum                           Zuletzt geändert am 25.12.2023 18:26