| zurück Home | Kleinzelliges Bronchialkarzinom: Röntgen-Thorax, CT-Befunde | ||||
Allgemeines |
|||||
rechter Hauptbronchus |
Zentrales kleinzelliges Karzinom rechts. Typisch für Kleinzeller ist die fließende Ausbreitung im Mediastinum.![]() |
Kleinzelliges Karzinom des rechten Hauptbronchus mit Occlusion des Oberlappenbronchus T3 N2 M1 bra, pul,adren![]() | |||
rechter Oberlappen |
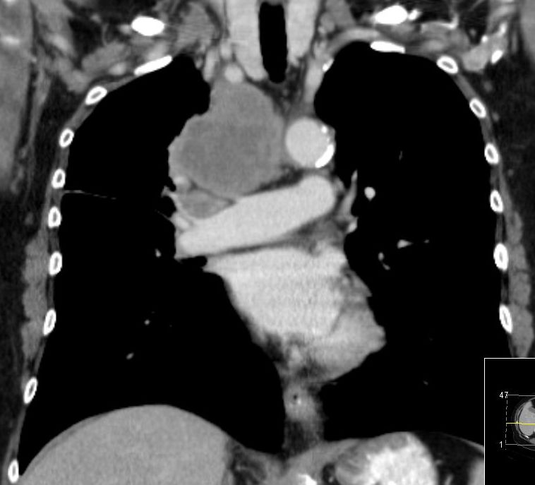
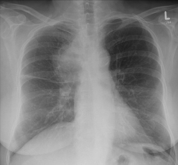
zentrales, kleinzelliges Lungenkarzinom rechter OL mit Infiltration des Mediastinums T4 N3 M1 oss ? 68jährige Patientin im reduzierten AZ und normalen EZ. Unsicherer Gang bei Kreislaufstörungen. Belastungsdyspnoe. Deutliche Leistungsschwäche. Supraklavikulargruben: links frei, rechts auffälliger Tastbefund. ![]() |
![]() |
![]() | ||
![]() |
![]() | ||||
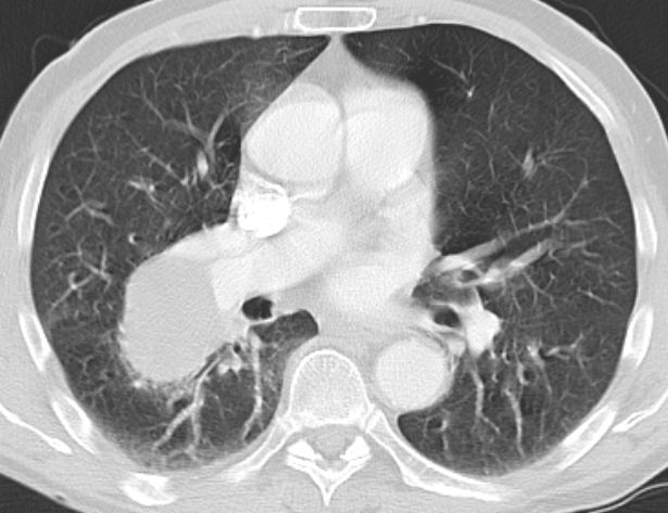
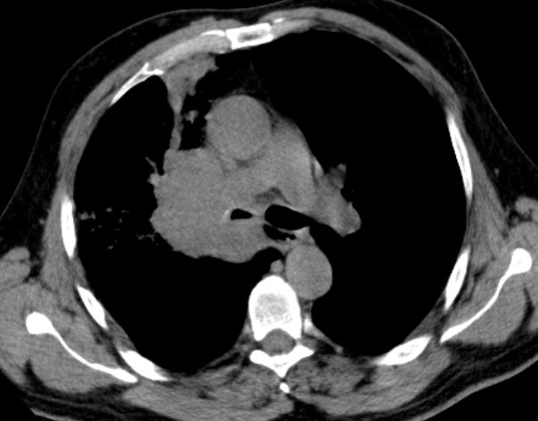
rechter Oberlappen |
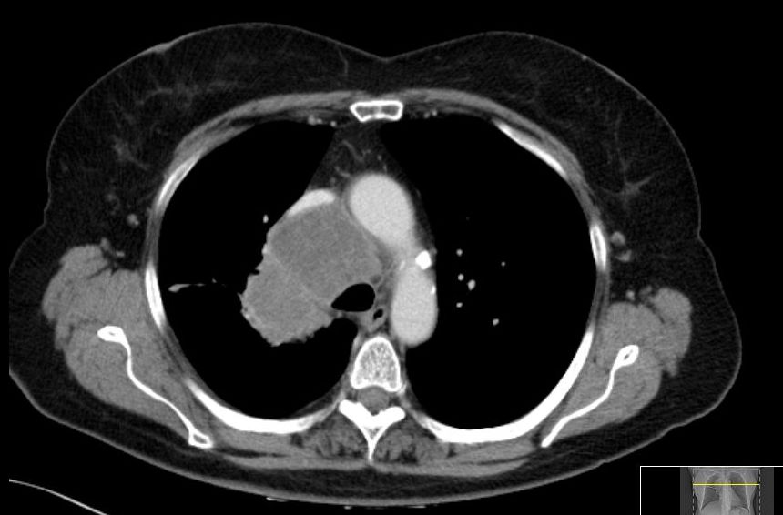
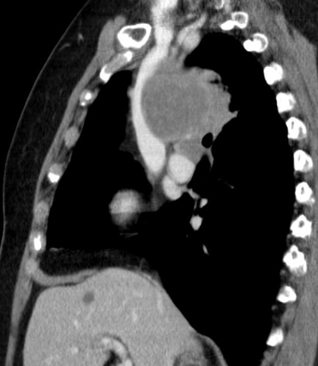
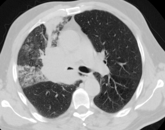
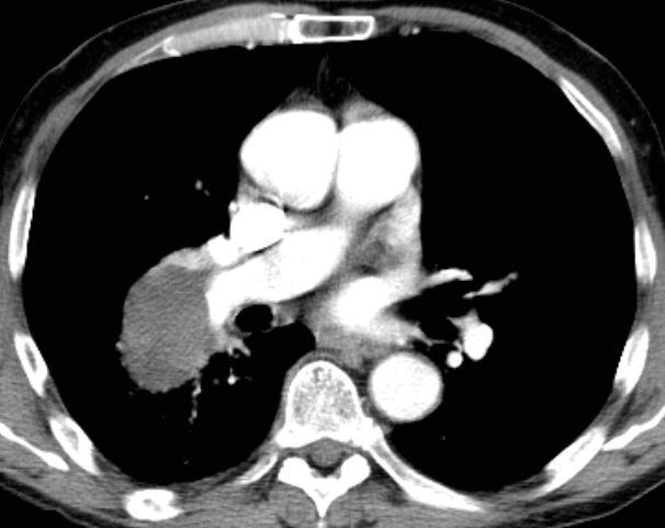
Kleinzelliges Karzinom des rechten Oberlappens. T3 N2 Mo. Lungenfenster ![]() |
Weichteilfenster![]() | |||
rechts zentral |
65-jähriger Mann mit einem SCLC rechts zentral, G3,Ki67 90%, chromogranin – negativ, CD56 negativ, CD45 negativ, Pankeratin z.T. positiv.![]() |
![]() |
![]() | ||
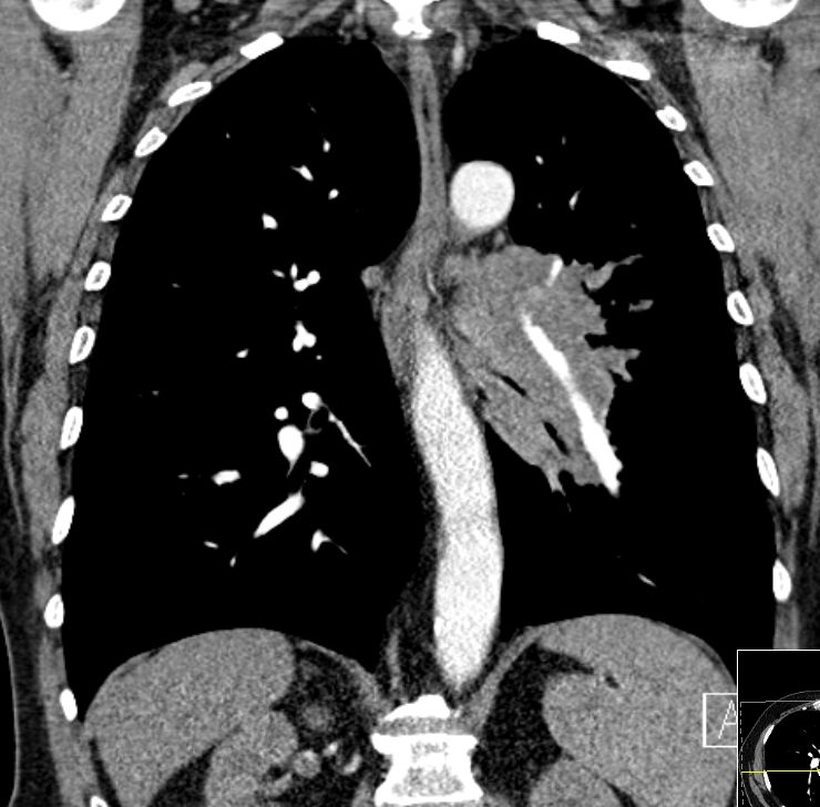
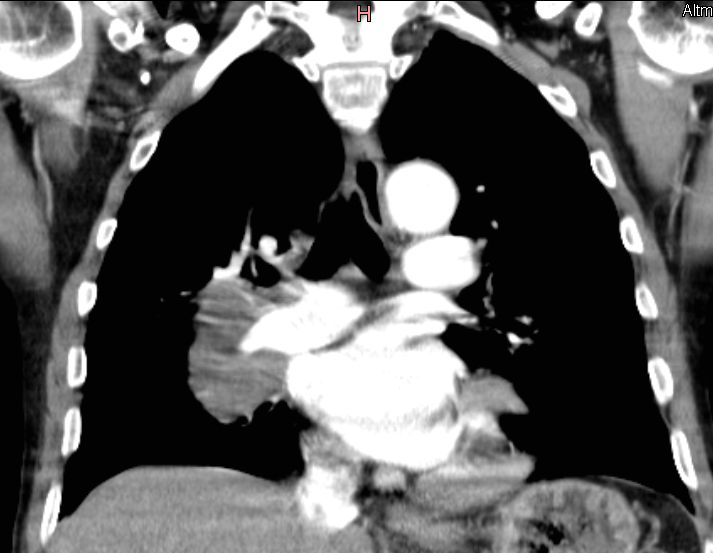
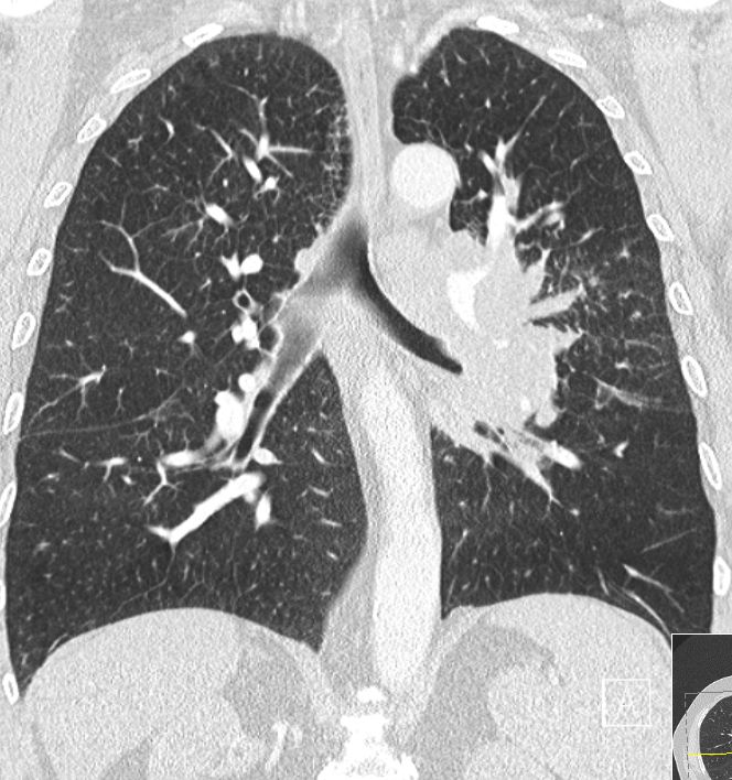
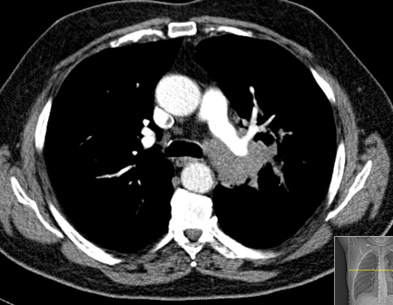
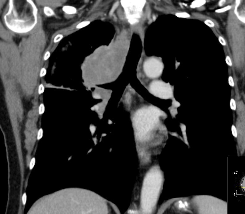
links zentral |
64-jähriger Mann mit plötzlich aufgetretener Luftnot. Inzwischen Sauerstoff - abhängig.![]() |
![]() | |||
![]() |
![]() | ||||
Teil von |
Klinik des SCLC | SCLC | Tumoren des Thorax | spezielle Tumoren | Onkologie |
Impressum Zuletzt geändert am 04.05.2022 15:48