| zurück
Home |
Operation des Pankreas - Karzinom |
| Allgemeines |
Die Operation ist das einzige kurative Therapieverfahren. |
Operabilität |
| BLR: Borderline Resectable |
US Guidelines:
BLR: jede Berührung der A. mesenterica superior
nicht resektabel, lokal fortgeschritten: Befall der Arterie > 180 |
PREOPANK:
Resektabel: ohne Befall der Arterie und mit Befall der Vene ≤ 90° ist resectable
BLR: mit Befall der Arterie ≤ 90° oder Befall der Vene 90°-270° ohne Okklusion. |
| Ziel ist die Resektion im Gesunden. |
| Tr. coeliacus, AMS |
Die Infiltration des Trunkus coeliacus oder der A. mesenterica superior erlaubt fast nie eine Resektion im Gesunden. |
Eine Ummauerung > 180° sollte nicht reseziert werden.
Die Resektion erhöht die perioperative Mortalität und verbessert nicht das Überleben(3). |
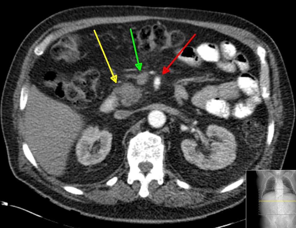
Operables Pankreaskopfkarzinom
 |
Karzinom (gelber Pfeil), V. cava und V. mesenterica superior ist frei (grüner Pfeil), A. mesenterica superior ist frei (roter Pfeil)
 |
| Pfortader |
Die Infiltration der Pfortader ist kein Ausschluss. Die Infiltration der Vena mesenterica superior erlaubt oft eine Resektion. |
10 - 20 % der Fälle sind operabel. (1) Die perioperative Mortalität ist durch die resektion der Vena portae nicht erhöht(4).
Eine Infiltration von > 2-3cm ist prognostisch ungünstig. |
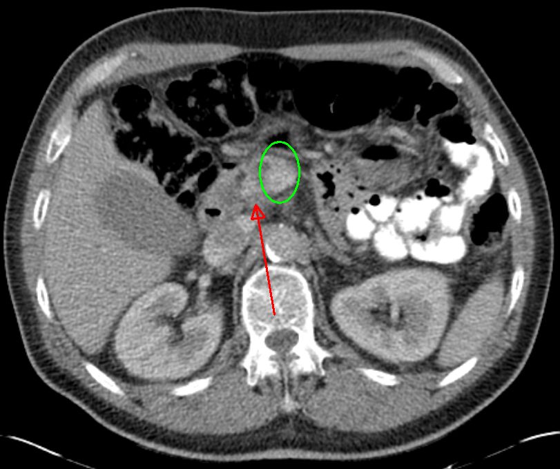
Pankreaskopfkarzinom mit Infiltration der V. mesenterica superior
 |
Karzinom (roter Pfeil), V. mesenterica superior ist infiltriert (grüner Kreis)
 |
| M1 |
Bei Fernmetastasen wird die Prognose durch eine Operation nicht verbessert (5). |
|
Technik |
Die typische Radikal-OP ist die Whipple-OP mit Lymphonodektomie. |
| PPPD, PPPHR |
pyloruserhaltende Pankreaskopfresektion, Pylorus Preserving Pancreas Head Resection |
| DPPHR |
Duodenum-erhaltende Pankreaskopfresektion, Duodenum Preserving Pancreas Head Resection |
Lymphknoten |
> 10 regionale Lymphknoten sollten entfernt werden. |
Antibiotika |
Eine praeoperative Antibiotikaprophylaxe wird für alle Patienten empfohlen. (1) |
Mortalität |
Die perioperative Mortalität ist hoch. |
Sie beträgt in Abteilungen mit <1 OP / Jahr 16% und in Abteilungen mit hoher OP-Frequenz 4%. |
Cholestase |
Auftreten |
Pankreaskopfkarzinome verlegen häufig die Gallenwege. Das führt zu einem Gallerückstau und einer Hyperbilirubinämie. |
| Therapie |
Zu Ableitung kann ein Stent gelegt werden. |
| Komplikationen |
In 73% kommt es nach Stenteinlage zu einer Infektion(6). |
| Stent praeoperativ |
Wegen der Infektionsgefahr sollte vor einer Radikal-OP nur dann ein Stent gelegt werden, wenn bereits eine Cholangitis
vorliegt oder die Operation noch nicht erfolgen kann (z.B. praeoperative Radiochemotherapie). (1) |
Teil von |
Therapie des Pankreas - Karzinom |
Pankreas - Karzinom |
Gastro - Intestinale Tumore |
Quelle |
1.) Adler G et al.:
S3-Leitlinie "Exokrines Pankreaskarzinom"2007. Ergebnis einer evidenzbasierten
Konsensuskonferenz (13.-14.10.2006).
Z. Gastroenterol 45 (2007) 487-523
2.) Seufferlein T, et al.:
Duktales Pankreaskarzinom: Chirurgische Therapie, pathologische Aufarbeitung des Präparats, neoadjuvante, adjuvante und palliative Therapie.
Dtsch Arztebl Int 111(2014): 396-402. DOI: 10.3238/arztebl.2014.0396
3.) Ouaissi M, Hubert C, Verhelst R, et al.:
Vascular reconstruction during pancreatoduodenectomy for ductal adenocarcinoma of the pancreas improves resectability but does not achieve cure.
World J Surg 34(2010): 2648–61.
4.) Bachellier P, Nakano H, Oussoultzoglou PD, et al.:
Is pancreaticoduodenectomy with mesentericoportal venous resection safe and
worthwhile?
Am J Surg 182(2001): 120–9.
5.) Shrikhande SV, Kleeff J, Reiser C, et al.:
Pancreatic resection for M1 pancreatic ductal adenocarcinoma.
Ann Surg Oncol 14(2007):118–27.
6.) Schwarz RE:
Technical considerations to maintain a low frequency of postoperative biliary
stent-associated infections.
J Hepatobiliary Pancreat Surg 9(2002): 93–7.
|
 |