| Leberzell - Adenom | |||
| Allgemeines | Leberzell - Adenome sind gutartige Raumforderungen der Leber. | ||
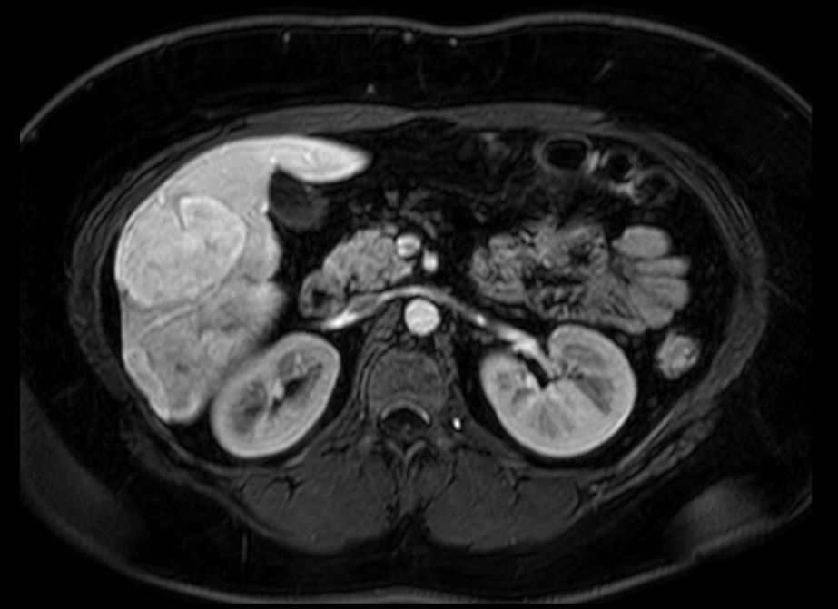
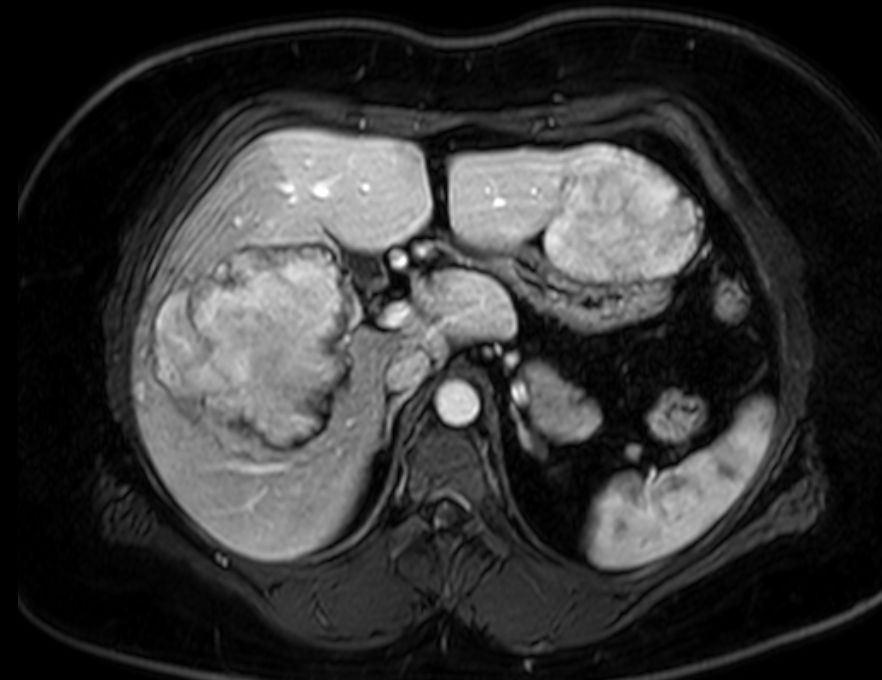
| Fall-Beispiel | 29-jährige übergewichtige Frau, die wegen Diarrhoe zur Aufnahme kam. Bei der Sonographie des Abdomens fiel eine Raumforderung der Leber auf. Das MRT zeigt mehrere Herdbildungen, die gut abgegrenzt sind. | ||
![]() |
![]() | ||
Teil von |
hepatozelluläres Karzinom | Gastro - Intestinale Tumore | |
Quellen |
|||
Impressum Zuletzt geändert am 23.03.2024 23:21