| zurück Home | Klatskin-Tumoren | Bismuth-Einteilung![]() | ||
Allgemeines |
perihiläre Gallengangs - Karzinome: Ductus hepaticus communis, dexter, sinistra | |||
| Epidemiologie | ||||
| Prognose | ||||
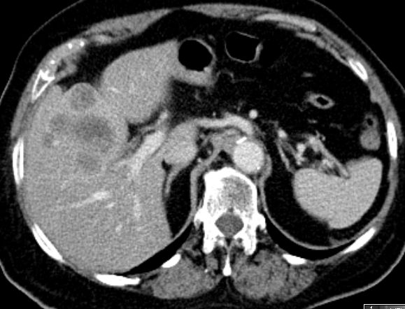
| Klinik | 91-jährige Frau mit Gallenblasen - Hydrops. Histologisch schlecht differenziertes Adenokarzinom. Ductus cysticus tumorös verdickt.![]() |
Lebermetastasen.![]() | ||
Metastasierung | ||||
| TNM - Stadien | ||||
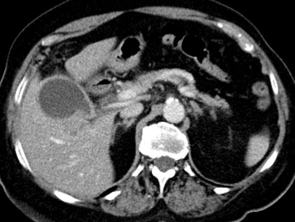
| CT | 81-jähriger Mann mit schmerzlosem Ikterus. Tumor in der Hepatikusgabel. CT nach Stent, portalvenöse Phase: Erweiterte Gallengänge des rechten Lebenlappens, RF im Leberhilus.![]() | |||
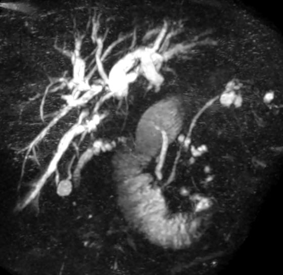
| Diagnostik | 80-jähriger Mann mit Verschlussikterus. Die MRCP zeigt eine Erweiterung der intrahepatischen Gallenwege und einen Gangabbruch im Bereich des Leberhilus. ![]() | |||
| Morphologie | ||||
Therapie | ||||
Operation | ||||
Radiatio |
||||
Chemotherapie | ||||
Ergebnisse | ||||
Rest | ||||
Teil von |
Gallenwegs - Karzinom | Gastro - Intestinale Tumore | ||
| Quellen |
1.) Bismuth H, Nakache R, Diamond T: Management strategies in resection for hilar cholangiocarcinoma. Ann Surg 1992;215:31–8. | |||
Impressum Zuletzt geändert am 07.02.2023 17:25