| zurück Home | CT eines Gallenblasen - Karzinom | ||
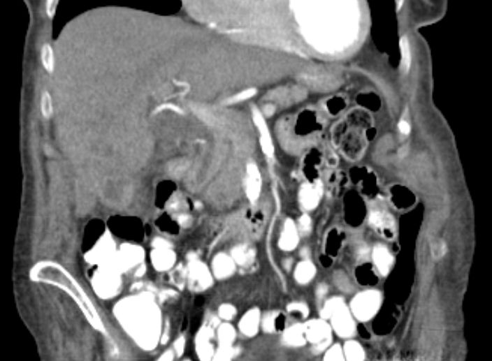
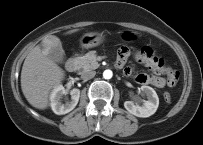
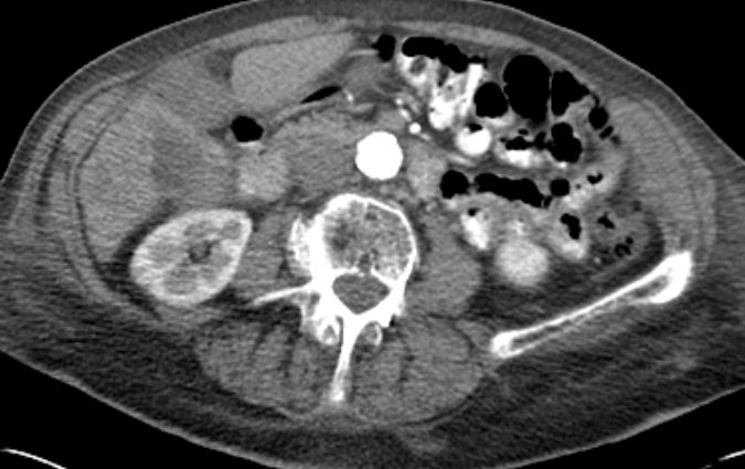
Gallenstein-Blase mit Karzinom |
![]() |
![]() |
![]() |
![]() |
![]() |
![]() | |
![]() |
![]() |
| |
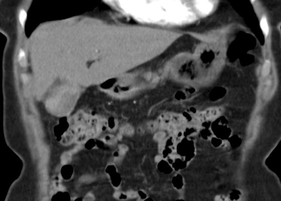
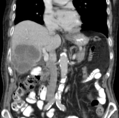
Lebermetastase |
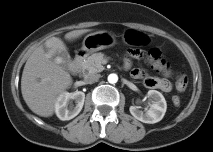
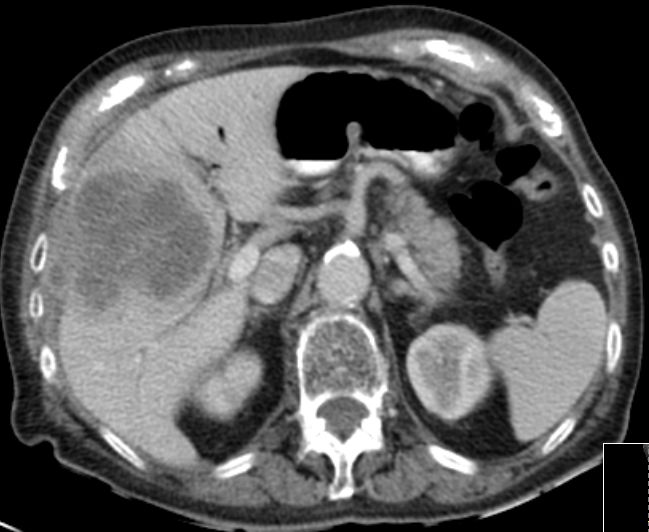
89-jährige Frau mit Infektzeichen. Zunächst sonographisch Verdacht auf Gallenblasenempyem. Im CT ein Gallenblasenkarzinom mit Leberinfiltration. Wegen Alter und AZ palliative Versorgung. | ||
![]() |
![]() |
![]() | |
![]() |
![]() |
||
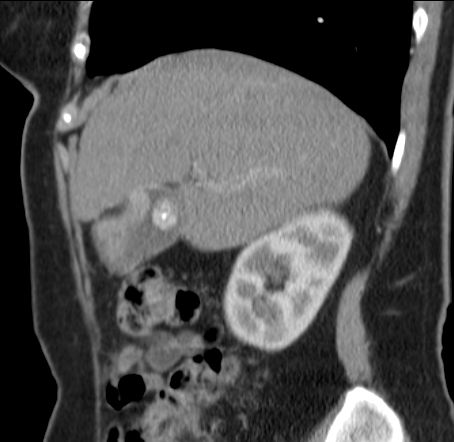
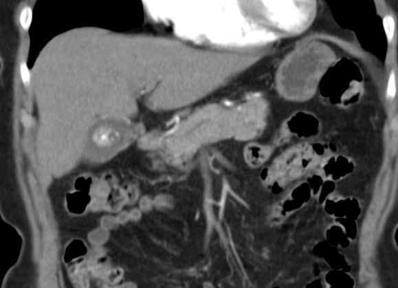
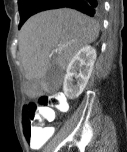
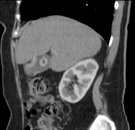
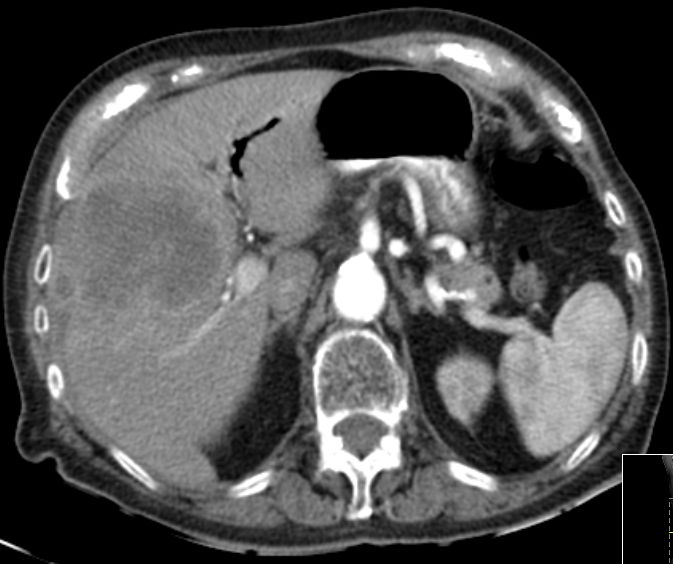
Lebermetastase |
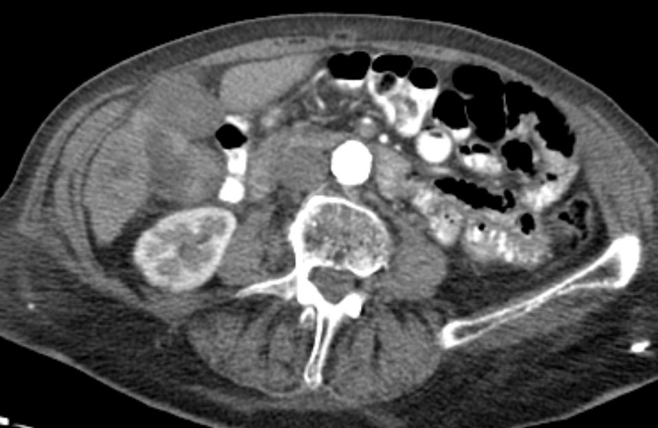
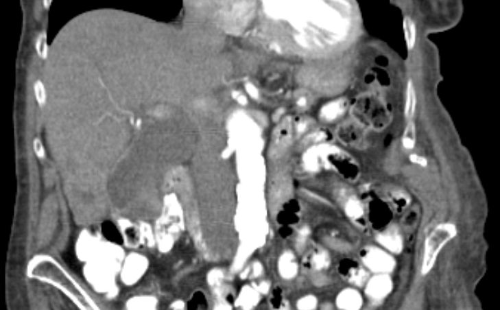
86-jähriger Mann, bei dem vor 9 Monaten eine Cholezystektomie wegen gedeckt perforierter Cholezystitis vorgenommen wurde. Jetzt Verdacht auf Leberabszess. Die laparoskopische Biopsie ergab ein Adenokarzinom. Die Nachbefundung der Gallenblase erbrachte immunhistochemisch den Nachweis eines Gallenblasenkarzinoms. | ||
![]() |
![]() |
![]() | |
Impressum Zuletzt geändert am 16.09.2012 13:09