| zurück Home | Klinik des Anal - Tumors | ||
| Allgemeines | Anal - Karzinome sind z.T. von außen sichtbar, z.T. liegen sie im Analkanal und sind mit der rektalen Untersuchung leicht zu tasten. | ||
| Bild | Kleiner Tumor, der exophytisch aus dem Anus herauswächst.![]() | ||
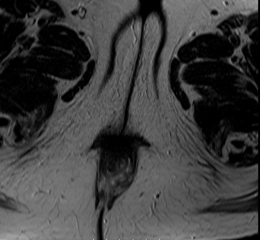
| MRT | 73-jährige Frau mit einen 1cm großen Ulkus perianal bei 5 Uhr.
Das MRT zeigt eine erhebliche Tiefenausdehnung und einen breitflächigen Kontakt mit dem Sphincter ani.
![]() | ||
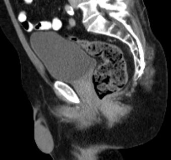
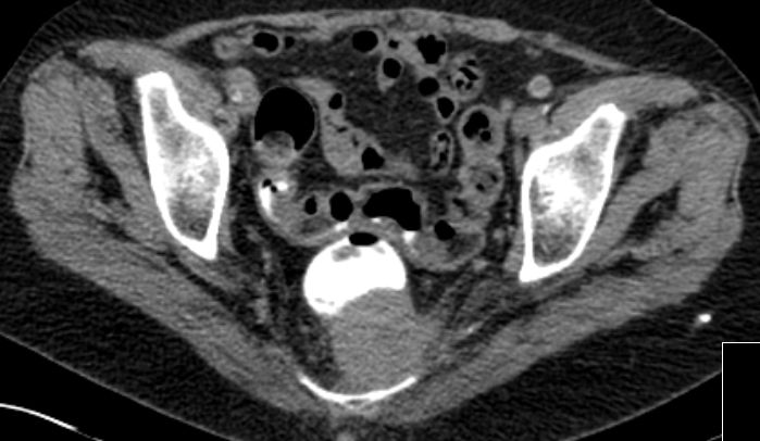
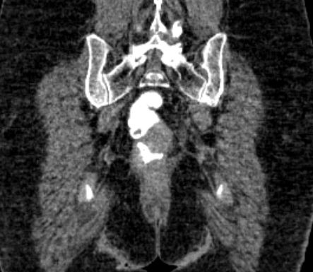
| CT | 66jähriger Mann, dass er seit einigen Wochen Blut im Stuhl gehabt habe.
Eine Koloskopie vor 6 Wochen habe einen unauffälligen Befund ergeben.
Bei der Austastung findet sich ein 5 cm großer schüsselförmiger Krater mit wulstigen Rändern.![]() | ||
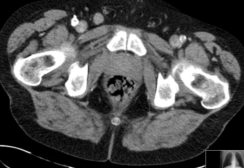
Zusätzlich ein 2,5 cm großen Lymphknoten in der rechten Leiste medial der Vena femoralis. ![]() |
![]() |
![]() | |
| Rektum | 70-jährige Frau mit Verdacht auf Rektumkarzinom. Histologische Plattenepithekarzinom.![]() | ||
![]() |
![]() | ||
| Lymphabfluss | Im Analbereich überlappen sich die Lymphabfluss Gebiete der rektalen und der perinealen Lymphbahn.![]() |
Darstellung der perinealen Lymphbahn zu den inguinalen Lymphknoten beim Mann.
![]() | |
| Quellen | |||
Impressum Zuletzt geändert am 31.12.2022 21:43