zurück Home Prostata-Karzinom: Metastasen
allgemeines  
Mutationen (1)
Gen % Mutation Mechanismus Art der Mutation
AR Gen 62,7% Androgen - Signaling Amplification, splice variants, Mutation
TP53 53,3% Zellzyklus oder Tumorsuppressor Mutation, copy loss
PTEN 40,7 % PI3K–AKT - Regulator Copy loss, Mutation
ETS 56,7 % Transkriptions - Regulator Gen fusions
BRCA2 13,3 % DNA - Repair Copy loss, Mutation
KMT2C 12,7 % Chromatin modifier Mutation
FOXA1 12,0 % Androgenrezeptor assoziiert Mutation
ZBTB16 10,0 % Androgenrezeptor assoziiert Copy loss
RB1 9,3 % Zellzyklus Copy loss
APC 8,7 % Wnt - Pathway Copy loss, Mutation
CHD1 8,0 % Chromatin - Modifier Copy loss, Mutation
SPOP 8,0 % Androgen - Signaling Mutation
ATM 7,3 % DNA - Repair Copy loss, Mutation

AR = Androgen-Rezeptor, nach Daten von (1)
DNA - Repair - Mutationen (2,3)
Gen % Mutation RR Metastasen Bemerkungen
BRCA2 5,35% 18,6
CHEK2 1,87 % 3,1
ATM 1,59% 6,3
BRCA1 0,87 % 3,9
GEN1 0,46 % 5,8
RAD51D 0,43% 5,7
PALB2 0,43% 3,5

Nach Daten von (2,3). RR = relatives Risiko von Metastasen

Knochenmetastasen

Lymphknoten - Metastasen

Links paraaortal Lymphknotenmetastasen. Zahlreiche mesenteriale Lymphknotenmetastasen.

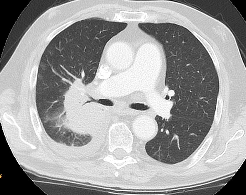
Lungen - Metastasen

70-jähriger Mann, der vor 8 Jahren ein Prostata-Karzinom pT3b, pN1(2/17) Mo Gleason 7 PSA 6,75 entwickelte. Radikale Prostatovesikulektomie, postoperative RT des pelvinen LA und der Prostataloge. LHRH-Analoga. Vor 7 Monaten wurde eine 10cm große Metastasierung in den rechten Lungenhilus festgestellt. Nach 6 Monate Dozetaxel nur geringe Größenabnahme.

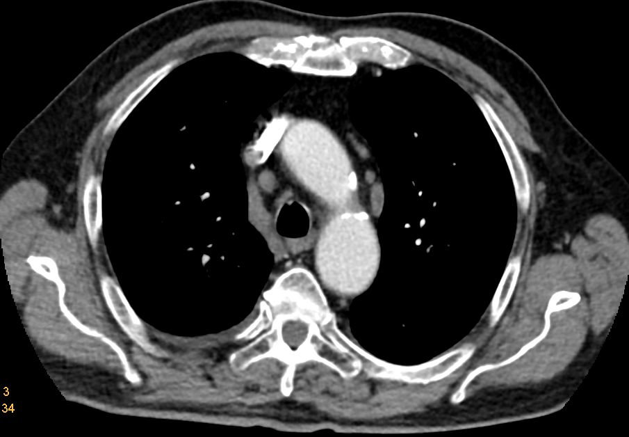
Nebennieren - Metastase

Links Nebennierenmetastase, Stauungsniere rechts, Ableitung links.

Quellen

1.) Robinson D, Van Allen EM, Wu YM, et al.:
Integrative clinical genomics of advanced prostate cancer.
Cell 2015; 161: 1215-28

2.) Pritchard CC, Morrissey C, Kumar A, et al.:
Complex MSH2 and MSH6 mutations in hypermutated microsatellite unstable advanced prostate cancer.
Nat Commun 2014; 5: 4988

3.) Pritchard CC, Mateo J, Walsh MF, et al.:
Inherited DNA-repair gene mutations in men with metastatic prostate cancer.
N Engl J Med 2016; 375: 443-53

Teil von

Prostata - Karzinom urologische Tumoren Onkologie
blauerPunkt

Impressum                           Zuletzt geändert am 10.08.2016 17:35