| zurück Home | Prostata: Knochenmetastasen | ||||||||||||||||||||
PSA |
Je höher der PSA - Spiegel umso größer ist die Wahrscheinlichkeit für das Vorliegen von Knochenmetastasen(1).
|
||||||||||||||||||||
Knochenszintigramm |
77-jähriger Mann mit Rückenschmerzen. PSA 1700! Im
Knochenszintigramm Hinweis auf diffuse Knochenmetastasierung.![]() | ||||||||||||||||||||
Knochenszintigramm |
75-jähriger Mann, der wegen unklarer Schmerzen im
Nackenbereich abgeklärt wurde. Als Ursache der Knochenmetastasen wurde ein lokal
fortgeschrittenes Prostatakarzinom (PSA 143, Gleason 7) gefunden.![]() |
Das T2-Bild im MRT der HWS zeigt eine
Signalverstärkung im 7.HWK. Der Densbereich ist stark umgebaut.![]() | |||||||||||||||||||
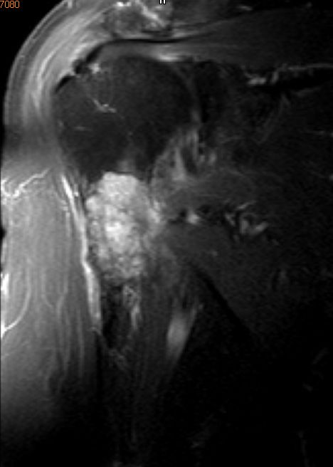
Humerus |
![]() |
![]() |
![]() | ||||||||||||||||||
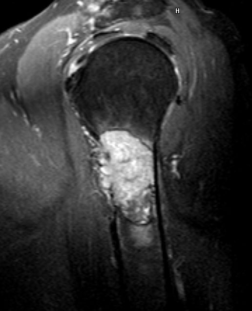
Humerus |
![]() |
![]() |
![]() |
||||||||||||||||||
![]() |
![]() |
![]() |
|||||||||||||||||||
Dens - Fraktur |
![]() |
||||||||||||||||||||
Rippen |
66-jähriger Mann, der vor 8 Jahren ein Prostata - Ca hatte.
Gleason 6, PSA 7,7: wait and watch. Vor 4 Jahren Radikaloperation abgebrochen
wegen LK-Metastasen rechts iliacal. Th.: Bicalutamid und Eligard. Vor 2 Jahren
PSA-Anstieg auf 7,5: RT Prostata+LA, dann Zytiga / Prednisolon, Denosumab. Jetzt
PSA 73,9 und schmerzhafte Rippenmetastasen.![]() |
![]() | |||||||||||||||||||
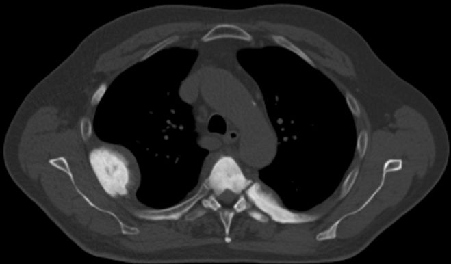
Rippen |
58-jähriger Mann mit Knochenmetastasen LWK3/4. PSA 911. Vor
einem Jahr Spondylodese LWK3-4. Bestrahlung. Jetzt Metastase BWK 6. Die
CT-Rekonstruktion zeigt zusätzlich mehrere Rippenmetastasen.![]() |
![]() | |||||||||||||||||||
Becken |
68-jähriger Mann mitprimär metastasiertem
Prostatakarzinom cT4 cN1 M1b. Gleason 8, PSA 254. LHRH-Analoga und Chemotherapie
seit 3 Monaten. Typische osteoplastihsche Metastasen ohne Beschwerden.![]() | ||||||||||||||||||||
| Quellen |
1.) Abuzallouf S, Dayes I, Lukka H: Baseline staging of newly diagnosed prostate cancer: a summary of the literature. J Urol. 2004 Jun;171(6 Pt 1):2122-7. | ||||||||||||||||||||
Impressum Zuletzt geändert am 22.09.2012 17:19