Klinik des Prostata-Karzinoms | |||
| Allgemeines |
|||
| Früherkennung |
Vorsorgeuntersuchungen in der BRD
ab dem 45. Lebensjahr: Tastuntersuchung der Prostata PSA im Serum bei Männern ohne Symptome oder bekannte Erkrankung muss selbst bezahlt werden. Urinmarker PCA3 kann bei erhöhtem PSA helfen, harmlose PSA-Erhöhungen zu erkennen. Durch PSA - Screening kann die Prostata - Karzinom - Sterblichkeit gesenkt werden. |
||
| Vorbeugung |
Finasterid (5 mg / d) senkte das Krebsrisiko um 25% (1). Senkt PSA-Spiegel. Kann dadurch ein Karzinom maskieren. | ||
| hormonresistentes Prostata-Karzinom | |||
| PSA-Rezidiv | ASTRO - Definition, Phoenix - Definition |
||
| Prognose | |||
lokal fortgeschritten |
81-jähriger Mann mit einem Prostatakarzinom
seit 2 Jahren. Der Tumor füllt das kleine Becken aus. Urinableitung durch
DK. Rektale Blutung, kein Ileus! PSA 198.500.![]() | ||
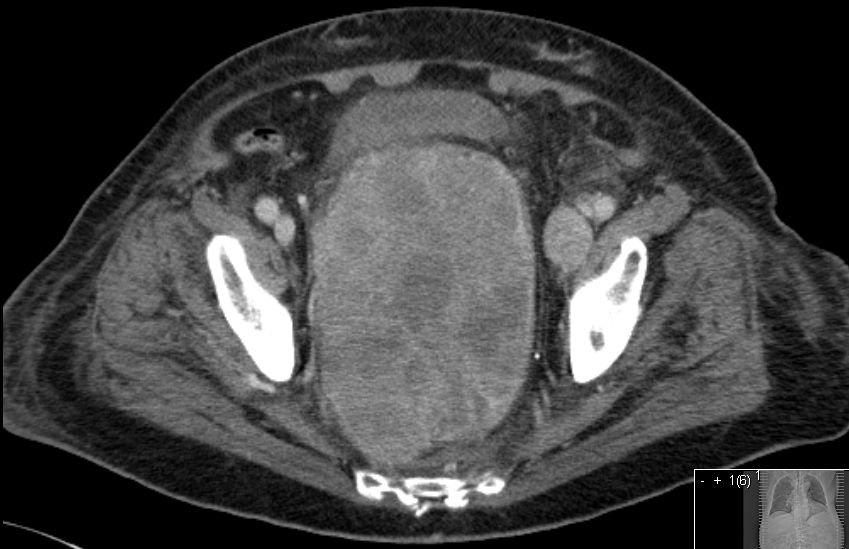
| Metastasierung | 73-jähriger Mann mit Prostatakarzinom cT2c cN1
M0, Gleason 8, PSA=81,7. Große LK-Metastase auf dem M. ileopsoas links.
. | ||
| Diagnostik | PCA3 | ||
| IPSS | International Prostate Symptom Score | Wird praeoperativ erfasst, um die prostatabedingte Funktionsstörung abzuschätzen. | |
Quellen |
1.) Thompson IM, Goodman PJ, Tangen CM, Lucia MS, Miller GJ, Ford LG, Lieber MM,
Cespedes RD, Atkins JN, Lippman SM, Carlin SM, Ryan A, Szczepanek CM, Crowley
JJ, Coltman CA: The influence of finasteride on the development of prostate cancer. N Engl J Med. 249 (2003) 215-24. University of Texas Health Science Center, San Antonio, USA. 2.) Leitlinienprogramm Onkologie (Deutsche Krebsgesellschaft, Deutsche Krebshilfe, AWMF): Konsultationsfassung: Interdisziplinäre Leitlinie der Qualität S3 zur Früherkennung, Diagnose und Therapie der verschiedenen Stadien des Prostatakarzinoms, Langversion 4.0, 2016 AWMF Registernummer: 043/022OL, http://leitlinienprogramm-onkologie.de/Prostatakarzinom.58.0.html (Zugriff am: 17.03.2018) | ||
Teil von |
Prostata - Karzinom | urologische Tumoren | Onkologie |
Impressum Zuletzt geändert am 20.04.2015 20:38