| Nierenzall-Karzinom: Knochenmetastasen | ||||
Allgemeines |
||||
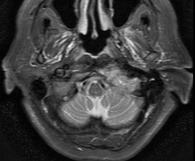
| 79-jährige Frau mit metastasiertem Nierenzellkarzinom. Destruktion der Schädelbasis links. | ||||
![]() |
![]() |
![]() | ||
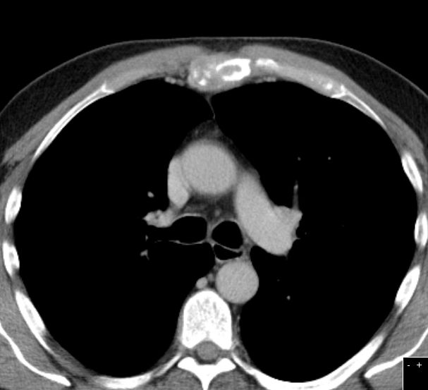
Schmerzhafte Sternummetastase.![]() |
![]() | |||
Asymptomatische Lyse am linken Darmbein![]() | ||||
| MRT | Knochenmetastasen
![]() |
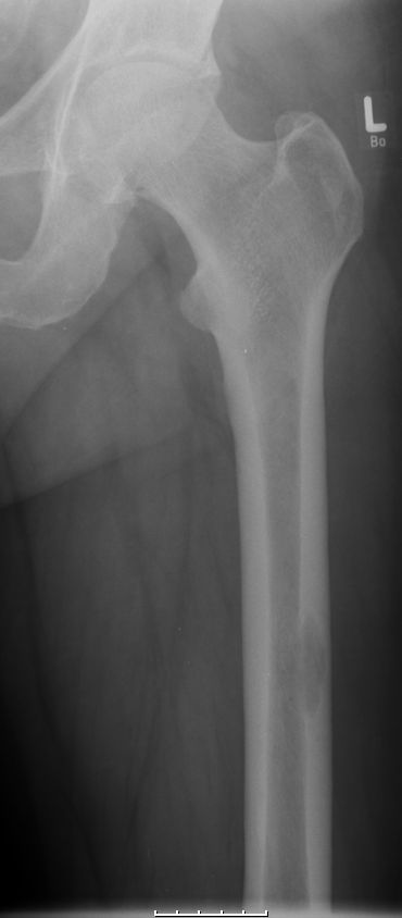
Femurschaftmetastase![]() | ||
Impressum Zuletzt geändert am 06.06.2022 8:18