| Harnblasen - Karzinom: Bildgebung des Blasentumors | ||||
| Allgemeines |
||||
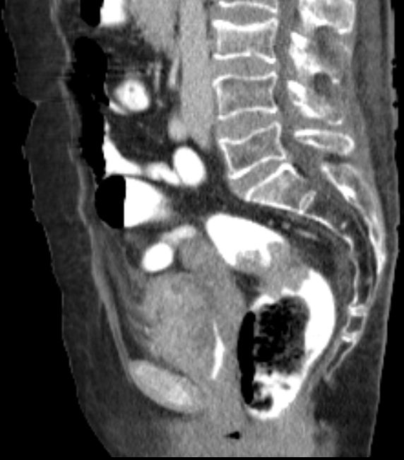
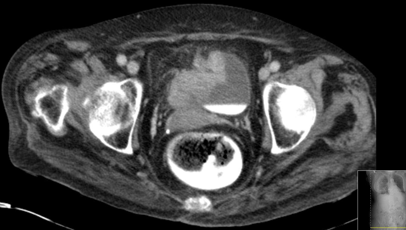
| Rektus - Infiltration | 80-jähriger Mann mit Haematurie seit 6 Monaten.
Endoskopisch ein ausgedehnter Blasentumor gesehen, der von der rechten
Seitenwand zum Dach und der Hinterwand zeiht. Der Tumor war zum Teil solide
infiltrierend wachsend, zum Teil papillär und zerfallen. Eine vollständige
Abtragung war nicht möglich. Das CT zeigte, dass dieser Tumor auch das
anliegende Fettgewebe und den Musculus rectus rechts infiltriert.![]() | |||
Rechts lateral anliegend stellte sich eine 11 mm große
Lymphknotenmetastase dar.![]() |
![]() | |||
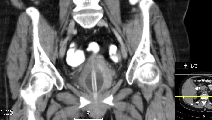
| SCC | 54-jährige geistig behinderte Frau mit einem
Plattenepithelkarzinom der Harnblase. Radikale Zystektomie und Anlage eines
Ileumconduits. Histologisch Infiltration des perivesikalen Fettgewebes. 8 Monate
später Rezidiv an der linken Beckenwand mit Beckenknocheninfiltration.![]() | |||
![]() | ||||
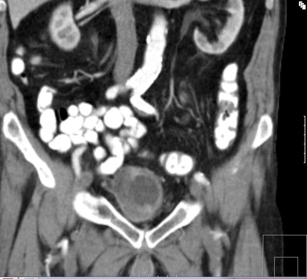
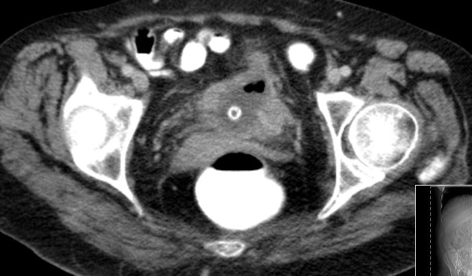
| T4-Tumor | 67-jährige demente Frau mit T4-Blasentumor
(invasives Urothelkarzinom) und Rektumkarzinom.![]() |
![]() |
![]() | |
Quellen |
1.) , et al.: | |||
Teil von |
Harnblasen - Karzinom: Klinik | Harnblasen - Karzinom | urologische Tumoren | Onkologie |
|
| ||||
Impressum Zuletzt geändert am 11.07.2021 12:51