zurück Home

Thymus - Tumoren

Allgemeines

Neubildungen des Thymus. Entweder epitheliale Thymustumoren oder Thymome

Thymom

Oft gleichzeitig paraneoplastische Symptome Pure-Red-Cell-Aplasia Oft gleichzeitig Autoimmunerkrankungen z.B. Myasthenia gravis

TET

Thymic Epithelial Tumors Thymuskarzinome Sehr selten mit Autoimmunerkrankungen verknüpft.
Epidemiologie 0,2 - 1,5 % aller Malignome Inzidenz BRD 0,13 / 100 000 EW * a 1/4 aller primär mediastinalen Raumforderungen häufigste Tumoren des vorderen Mediastinums.
Stadien nach Masaoka oder WHO
Prognose  
Klinik .
Metastasierung .
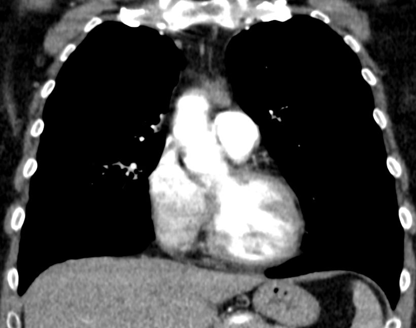
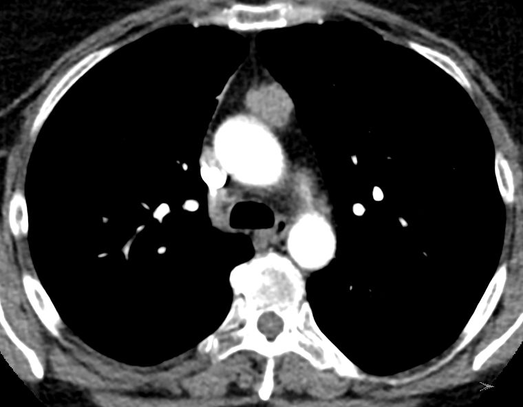
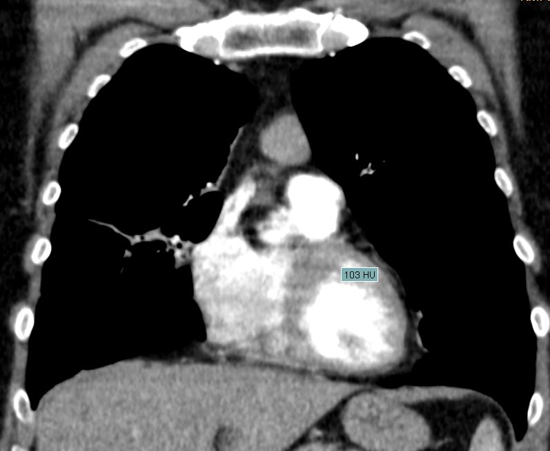
Diagnostik B3-Thymom mit Infiltration des Fettgewebes.
Morphologie
  • A: ovale oder spindelförmige Zellen ohne Atypie, keine Lymphozyten
  • AB: Type A mit Foci von Lymphozyten
  • B1: plumpe epitheloide Zellen, die normalen medullären Thymuszellen ähneln
  • B2: verstreute Foci von atypischen epithelialen Zellen mit Lymphozyten
  • B3: runde oder polygonale epitheliale Zellen mit geringer Atypie mit geringen Komponenten von Lymphozyten
  • C: Thymus - Karzinom, histologische Subklassifikation erforderlich 
Therapie primäre Operation, wenn möglich.
Ergebnisse .

Operation

Mit der kompletten Resektion werden ca. 90% der gekapselten Thymome geheilt.

Radiatio

.

Chemotherapie

Doxorubicin - Cisplatin - Vincristin - Cyclophosphamid

Target - Therapie

.

Rest

.

Teil von

Maligne Systemerkrankungen chronische myeloproliferative Erkrankungen spezielle Tumoren Onkologie

Impressum                         Zuletzt geändert am 24.08.2013 18:39