Thymus - Tumoren: Klinik | ||||
| Allgemeines |
Entweder epitheliale Thymustumoren oder Thymome | |||
| Metastasierung | . | |||
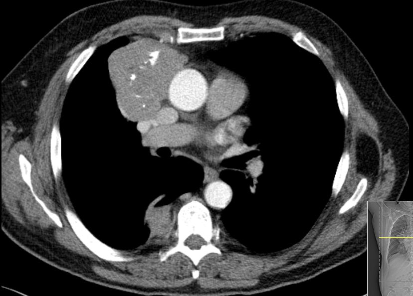
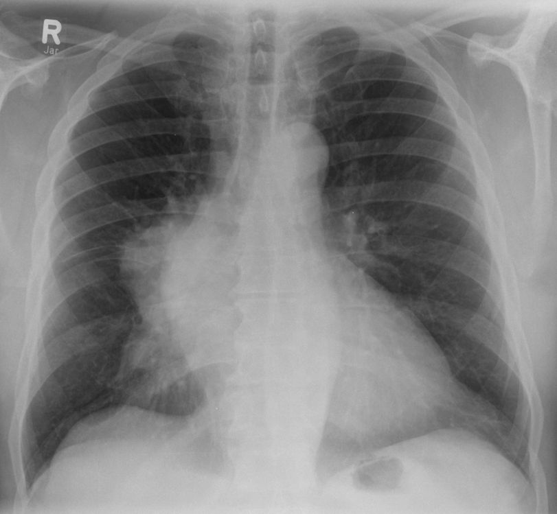
| B1-Thymom | 69-jähriger Mann, bei dem vor einer geplanten orthopädischen Operation eine Lungenaufnahme gemacht wurde. Es fand sich eine Raumforderung im vorderen Mediastinum rechts und ein kleinerer Befund rechts dorsal. Histologische malignes Thymom Stadium IV nach Masaoka. Nach 4 Zyklen Cisplatin, Doxorubicin, Cyclophosphamid partielle Remission. Nach Radikaloperation mit Pneumektomie postoperative Bestrahlung. | |||
![]() |
![]() |
|||
![]() |
![]() | |||
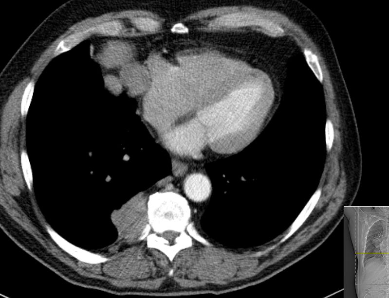
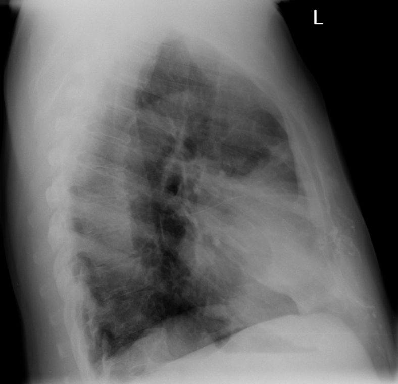
| B3-Thymom | 52-jährige adipöse Frau ohne Myasteniesymptome mit rezidivierenden Bronchopneumonien.
Histologisch ergab sich ein B3-Thymom mit Infiltration des Fettgewebes. |
|||
![]() |
![]() |
![]() | ||
| B3-Thymom | ||||
|
| ||||
Impressum Zuletzt geändert am 24.08.2013 18:39