| Bildgebende Diagnostik monoklonaler Gammopathien | ||||
Allgemeines |
||||
Wirbel |
Kompression von Th1 mit drohender Querschnittslähmung.![]() |
![]() |
63-jähriger Mann mit multiplem Myelom Stadium IIIA.
Stabilitätsgefährdende Lysre in 6 und 7.![]() | |
Wirbel |
62-jährige Frau mit multiplem Myelom![]() |
![]() | ||
![]() |
![]() | |||
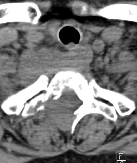
Wirbel |
64-jähriger Mann mit einer Osteolyse C6/C7.![]() | |||
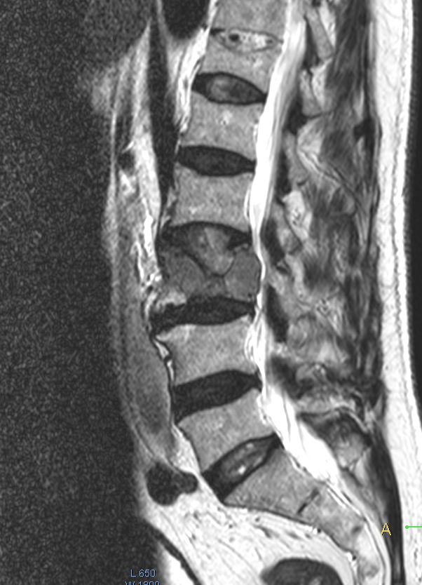
Wirbel |
75-jähriger Mann mit Rückenschmerzen seit 5 Monaten.
Ausstrahlung in den rechten Oberschenkel. Solitäres Plasmozytom.![]() | |||
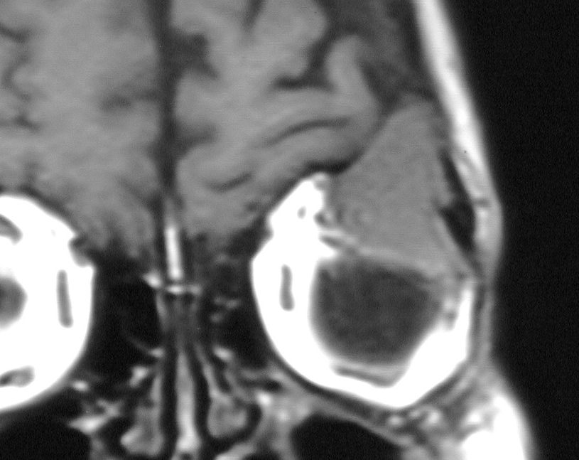
| extramedulläres Plasmozytom | Das MRT zeigt eine koronare Schicht durch die Orbita mit einem extramedullären Plasmozytom![]() | |||
Teil von |
Klinik des Plasmozytoms | Plasmozytom, multiples Myelom | Maligne Systemerkrankungen | Onkologie |
Impressum Zuletzt geändert am 20.09.2012 22:55