extramedulläres Plasmozytom, EPM | ||||
| allgemeines | 3% aller Plasmozytome. | |||
| EMPHN | extramedullary Plasmozytoma of the Head and Neck | EPM im HNO-Bereich: 80% aller EPMs. | ||
| Brust | 61-jährige Frau, die 14 Jahre nach Erstdiagnose eines Plasmozytoms der Schädeldecke eine Rötung und Schwellung der linken Brust bemerkte. Biopsie: Plasmazellinfiltrate. ![]() | |||
| Orbita | Das MRT zeigt eine koronare Schicht durch die Orbita mit einem extramedullären Plasmozytom ![]() | |||
| Unterkiefer | MRT einer 56-jährigen Frau mit extraossärem Progress im Unterkieferbereich.
IgA κ - Myelom nach Hochdosistherapie. ![]() | |||
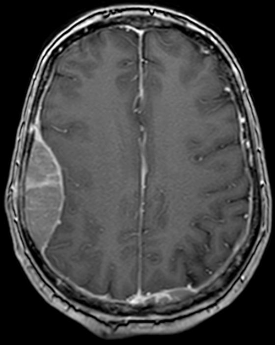
| Extradurale RF |
Gleiche Patientin mit einer intracraniellen, extraduralen Raumforderung. Die
Kontrastmittelaufnahme spricht für einen soliden tumorösen Prozess. ![]() | |||
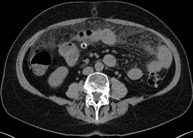
| Peritoneum | 64-jährige Frau mit multiplem Myelom IIIa seit 9 Jahren.
Nach Idarubicin/Dexametason-Induktion hochdosiert Melphalan mit PBSCT.
Dann Bendamustin/Bortezomib. Jetzt extramedulläres peritoneales Rezidiv.![]() | |||
| Haut | 52-jähriger Mann mit einem extramedullären Rezidiv an der rechten Oberschenkelinnenseite. Vor 2 Jahren Erstdiagnose eines multiplem
Myeloms III B. Bortezomib / Dexamethason: PR. Vor einem Jahr Hochdosis – Chemotherapie mit HSCS.![]() | |||
Teil von |
Klinik des Plasmozytoms | Plasmozytom, multiples Myelom | Maligne Systemerkrankungen | Onkologie |
| Quellen | ||||
Impressum Zuletzt geändert am 18.11.2025 6:17