| zurück Home | Marginalzonen-Lymphom (MZoL) | ||||||||||||||||||||||||||||||||||||
| allgemeines | indolentes B-Zell-Lymphom | ||||||||||||||||||||||||||||||||||||
WHO - Einteilung (1) |
splenisches MZoL, sMZoL <2% | ||||||||||||||||||||||||||||||||||||
| nodales MZoL, nMZoL 1,5-1,8% | |||||||||||||||||||||||||||||||||||||
| extranodales MZoL, eMZoL des Mukosa-assoziierten lymphatischen Gewebes (MALT-Lymphom) 7-10% | |||||||||||||||||||||||||||||||||||||
MZoL - Register der DSGL |
| ||||||||||||||||||||||||||||||||||||
extranodales MZoL |
| ||||||||||||||||||||||||||||||||||||
Epidemiologie |
Zusammenhang mit Autoimmunerkrankungen und chronischen Infektionen (2): | ||||||||||||||||||||||||||||||||||||
| Sjögren-Syndrom bzw. lymphoepitheliale Sialadenitis | 44faches Risiko für Lymphom, 85 % eMZoL. | ||||||||||||||||||||||||||||||||||||
| Hashimoto-Thyreoditis | 70faches Risiko eines Schilddrüsen-Lymphoms | ||||||||||||||||||||||||||||||||||||
Magen |
MALT des Magens bei Helicobacter pylori - Infektion | 80 % heilen nach antibiotischer Behandlung aus. | |||||||||||||||||||||||||||||||||||
Erreger (2) |
Campylobacter jejuni | Dünndarm | Chlamydia psittaci | Augenanhangsgebilde | Borrelia burgdorferi | Haut | Hepatitis C Virus | MZoL der Milz | |||||||||||||||||||||||||||||
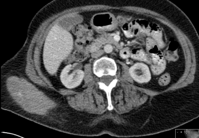
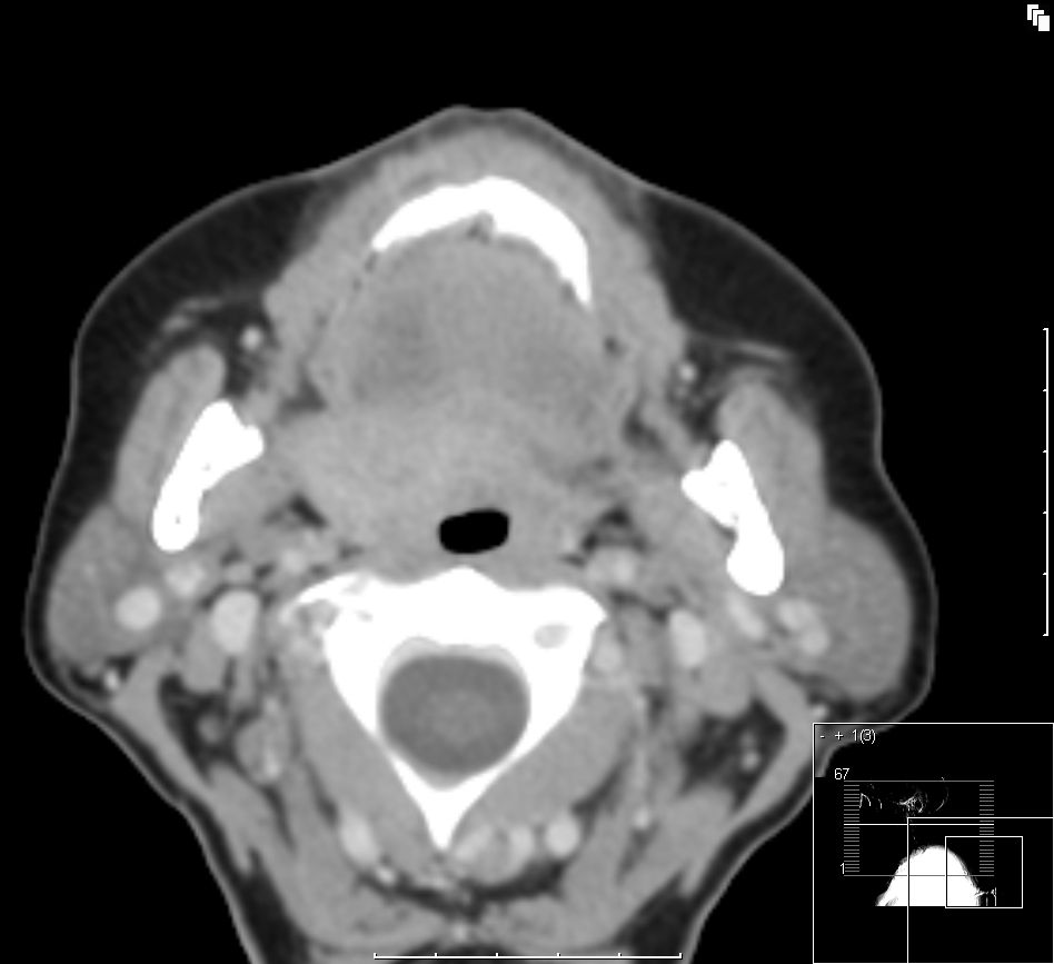
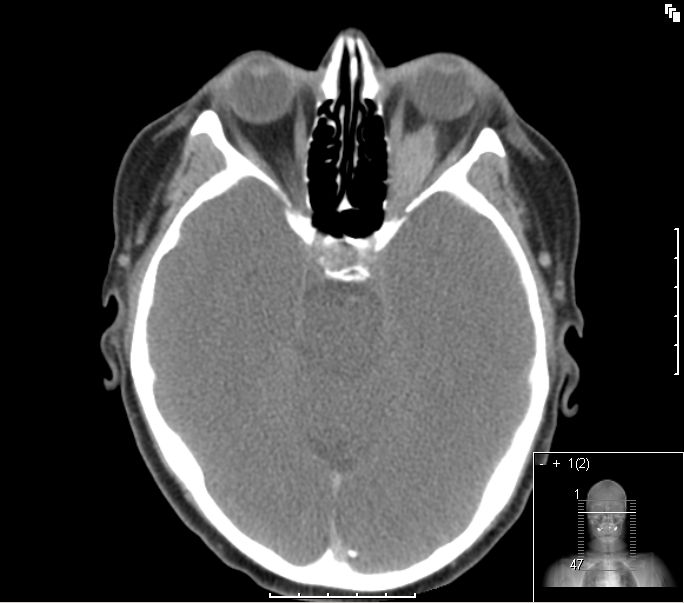
![]() Orbita |
![]() Waldeyer |
![]() Subkutan | |||||||||||||||||||||||||||||||||||
Morphologie | |||||||||||||||||||||||||||||||||||||
Therapie | |||||||||||||||||||||||||||||||||||||
| BTK-IH | Zanubrutinib | Brukinsa® | MZL Monotherapie nach CD20-AK |
G-BA 10/23: Zusatznutzen nicht belegt | |||||||||||||||||||||||||||||||||
Ergebnisse | |||||||||||||||||||||||||||||||||||||
Operation | |||||||||||||||||||||||||||||||||||||
Radiatio | |||||||||||||||||||||||||||||||||||||
Chemotherapie | |||||||||||||||||||||||||||||||||||||
DSGL |
Universitätsklinikum Münster Studienzentrale der DSGL Med. Klinik u. Poliklinik A Albert-Schweitzer-Campus 1 Gebäude A1 / Ebene 05 Ost 48149 Münster Tel. 0251 834 9526 Fax 0251 834 7592 mail lymphome-muenster@ukmuenster.de | ||||||||||||||||||||||||||||||||||||
Quellen |
1.) WHO-Atlas, 4. Auflage (2008) 2.) Suarez F, Lortholary O, Hermine O, Lecuit M.: Infection-associated lymphomas derived from marginal zone B cells: a model of antigen-driven lymphoproliferation. Blood 107(2006):3034-3044. | ||||||||||||||||||||||||||||||||||||
Impressum Zuletzt geändert am 20.09.2012 22:54