| zurück Home | Diagnostik des MZoL |
||
| allgemeines |
| ||
splenisches MZoL |
|||
nodales MZoL |
|||
extranodales MZoL |
|||
Orbita |
![]() Marginalzonenlymphom des linken M. rectus inferior mit Exophthalmus und Lidödem (kein Lymphominfiltrat!) | ||
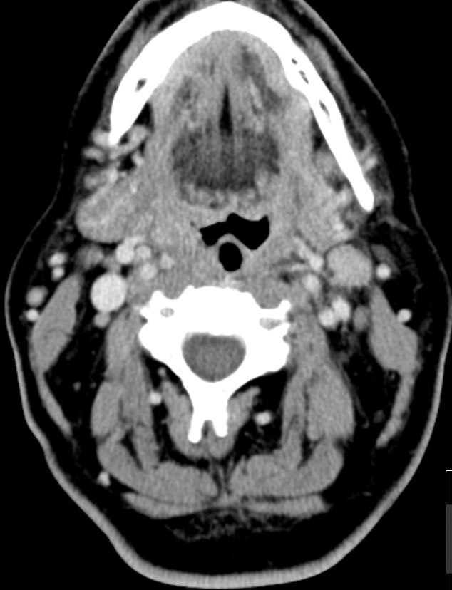
Hals |
55-jähriger Mann mit zervikalem
links am Vorderrand des M. sternocleidomastoideus. Histologie:
Marginalzonenlymphom. Klinik: keine Symptome, Labor, Staging-CT, Knochenmark
o.B.![]() | ||
Waldeyer |
71-jährige Frau mit
Marginalzonenlymphom Stadium IVa. RF der rechten Gaumenmandel mit verdrängung
des Oropharynx. Zusätzlich Infiltrat subkutan rechte Beckenschaufel (siehe
unten).![]() | ||
Subcutis |
Infiltrat subkutan rechte
Beckenschaufel (siehe unten).![]() | ||
Impressum Zuletzt geändert am 20.09.2012 22:54