zurück

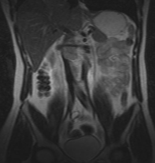
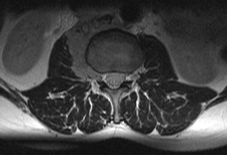
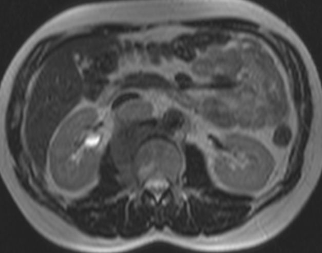
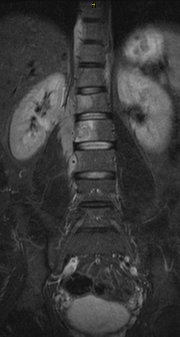
Rezidiv 1 Jahr nach follikulärem Lymphom

MRT
MRT

Impressum                         Zuletzt geändert am 21.09.2012 16:22