Hodgkin - Lymphome |
Charakteristische Reed-Sternberg-Zellen. Es sind große Zellen mit reichlich amorphes Zyteoplasma. Sie enthalten mehrere Kerne mit jeweils einem azidophilen Nukleolus, der von einem Halo umgeben ist. Bildquelle: Calicut Medical College via Wikimedia commons | |||||||||||||||||
| Allgemeines |
Hodgkin-Lymphome sind B-Zell-Lymphome mit Hodgkin- und Reed-Sternberg - Zellen (RS). | |||||||||||||||||
| Epidemiologie | 2 Altersgipfel: 25-30a und 65-70a. | |||||||||||||||||
| Stadien | Modifizierte Ann - Arbor - Klassifikation (= Lucarno-Klassifikation).
Gilt auch für NHL. Die Zuordnung zu advanced oder early stage ist in Europa und Amerika unterschiedlich:
| |||||||||||||||||
| Prognose | Über 80% werden langfristig geheilt. IPS: internationaler Risiko - Skore. | |||||||||||||||||
| Rezidiv | Bei einem Rezidiv kann eine Salvage - Chemotherapie mit ASTS durchgeführt werden. | Damit erreicht man in 50% eine anhaltende Remission. Bei Rezidiv oder Progress nach ASTS ist die Prognose schlecht (Survival 1,2 Jahre). | ||||||||||||||||
| Klinik | Lymphknotenschwellung, Nachtschweiß | |||||||||||||||||
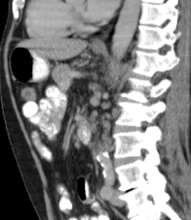
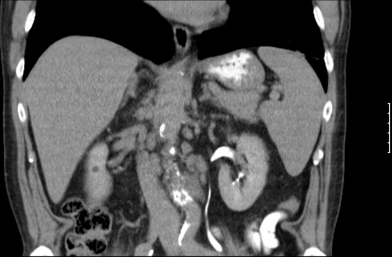
| Diagnostik | 68jähriger Mann mit B-Symptomatik und Splenomegalie.
![]() | |||||||||||||||||
| Morphologie | typisch: ein- und mehrkernige Hodgkin-Zellen. Reed-Sternberg-Zellen, CD-30 positiv. CD15 positiv. | |||||||||||||||||
| NLPHL | Nodular lymphocyte–predominant Hodgkin lymphoma | 5% der HLs | ||||||||||||||||
| Verlauf eher indolent aber häufiger Rezidive | Expression von CD20, daher Therapie mit Rituximab erfolgreich | |||||||||||||||||
| Therapie | Polychemotherapie z.B. ABVD, konsolidierende Bestrahlung | |||||||||||||||||
| Ergebnisse | Studien der GHSG: HD 1-18, EORTC-Studien | |||||||||||||||||
Teil von |
Maligne Systemerkrankungen | spezielle Tumoren | Onkologie | |||||||||||||||
Quellen |
1.) Younes A: Early-Stage Hodgkin's Lymphoma: In Pursuit of Perfection. | |||||||||||||||||
Impressum Zuletzt geändert am 18.2.2024 23:15