Hodgkin: Diagnostik | |||
| Allgemeines |
- | ||
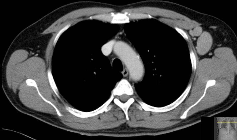
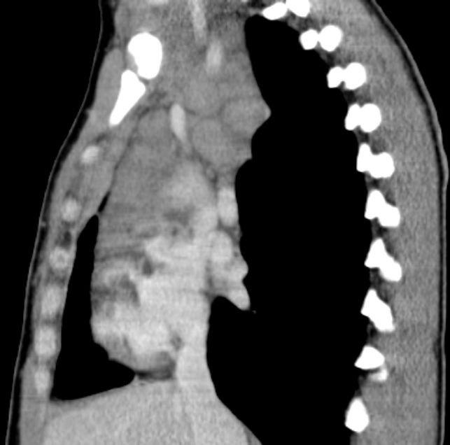
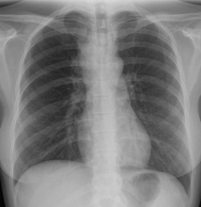
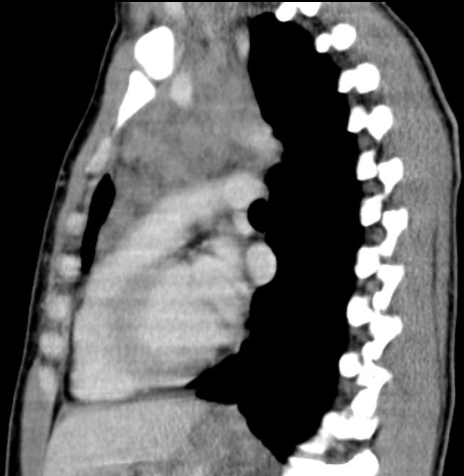
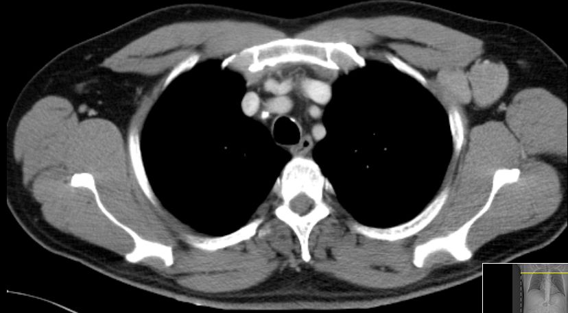
| Mediastinum | 30-jährige Frau therapieresistentem Husten. Das Röntgenbild zeigt eine Verbreiterung des oberen Mediastinums. Bronchoskopisch Impression der Trachea. Mediastinoskopische Biopsie: EBV-negatives klassisches Hodgkin-Lymphom. | ||
![]() |
![]() |
![]() |
|
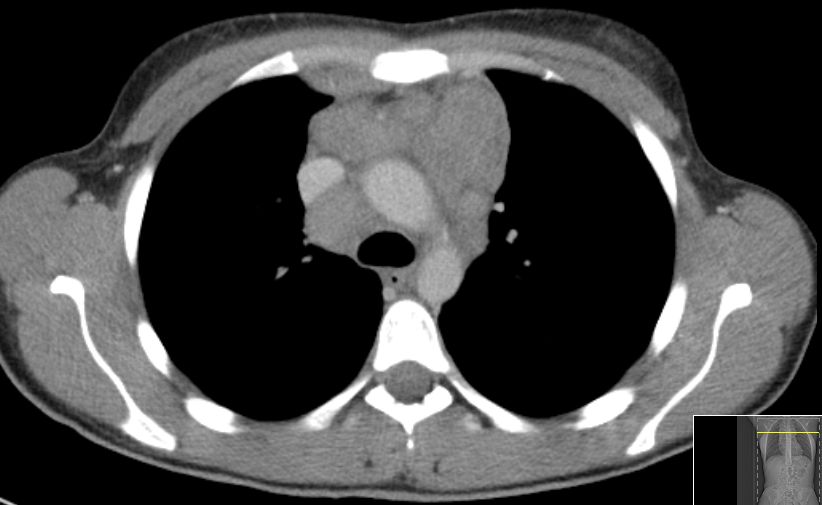
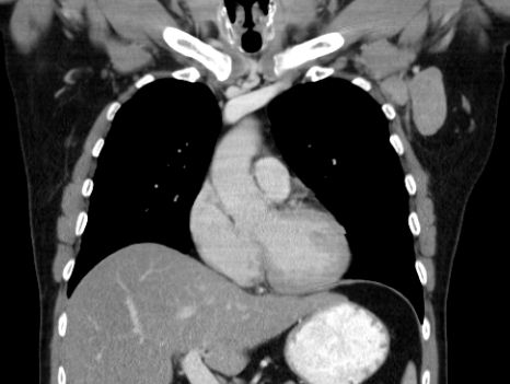
| thorakal | 21-jährige Frau mit Morbus Hodgkin mediastinal und zervikal beiderseits. Stadium IIA, Risikofaktor: hohe BSG. Noduläre Sklerose. | ||
![]() |
![]() |
![]() | |
![]() |
![]() |
||
| axillär | 49-jähriger Mann mit eines schmerzlosen Schwellung in der linken Axilla. Histologisch noduläres Lymphozyten - praedominantes Hodgkin-Lymphom. | ||
![]() |
![]() | ||
![]() |
|||
| abdominal | 68jähriger Mann mit B-Symptomatik und Splenomegalie.![]() ![]() |
||
Quellen | 1.) : | ||
Impressum Zuletzt geändert am 03.05.2014 20:45