zurück Home

Therapie von Hirn - Metastasen

allgemeines

Singuläre Hirnmetastasen sollten primär reseziert werden. Die Strahlentherapie verlängert die Überlebenszeit.

Operation

1 - 3 Herde sollten primär operiert werden Ab 3cm sollten Hirnmetastasen primär operiert werden

WBRT

whole-brain radiotherapy, Ganzhirnbestrahlung

SRS

stereotactic radiosurgery,Stereotaktische Radiochirurgie 1x 20Gy;
1x 18Gy
30Gy, ED 6Gy, 5x
35 Gy, ED 5 Gy, 7x
Resektionshöhle: 30Gy; ED 5Gy, 6x
10x 3,5Gy, GD 35Gy
ZV: Resektionshöhle = CTV
CTV + 3 mm = PT V
SRS Hirnstamm RIC: radiation-induced changes (9) Dosis: 16 Gy (13 - 23 Gy) Risiko für RIC
PTV ≥ 1 ml
D0.5 ml ≥ 15 Gy
D5% ≥ 6 Gy
D95% ≥ 1 Gy
keine RIV im Mittelhirn und Pons beobachtet

SRS: MD Anderson

Eine postoperative, stereotaktische Bestrahlung nach Operation von 1-3 Hirnmetastasen bis 4cm vermindert das Risiko einer erneuten Hirnmetastasierung, nicht aber das Gesamtüberleben (7).
mit Stereotaxie mit Stereotaxie nur OP
Weitere Hirnmetastasen innerhalb von 6 Monaten 43% 72%
MD Anderson Cancer Center in Houston, Phase-III-Studie

WBRT und SIB

Dosierung nach HIPPORAD Ganzhirn 30 Gy; ED 2,5 Gy
SIB 51 Gy; ED 4,25 Gy
Hippokampusschonung

WBRT nach SRS

3 randomisierte Studien zeigen, dass eine WRBT nach SRS die Rezidivrate senk. Die Überlebenszeit wird nicht beeinflusst.
Studie: EORTC 22952-26001 (2) JROS (3) MD Anderson
SRS + WBRT nur SRS SRS + WBRT nur SRS SRS + WBRT nur SRS
Patienten 180179 6567 2830
OS 10,7 Monate 10,9 Monate 7,5 Monate 8 Monate 5,7 Monate 15,2 Monate
1a-OS 44% 42% 38,5% 28,4% 21% 63%
1a-RFS 84% 70% 88,7% 72,5% 100% 67%
Nach Zahlen von (5)

Radio-Chemotherapie

WBRT 30Gy ED 3Gy + 75mg/qm Temozolamid an 10 Tagen, dann 6 Zyklen Temozolomid 150mg/qm(1)

Hirnnekrose

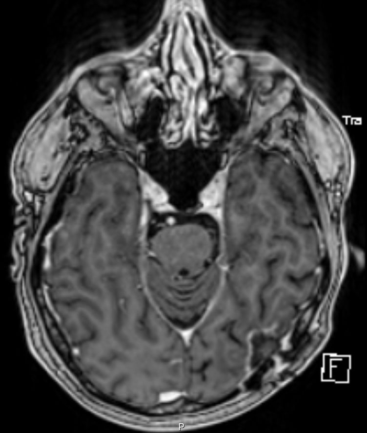
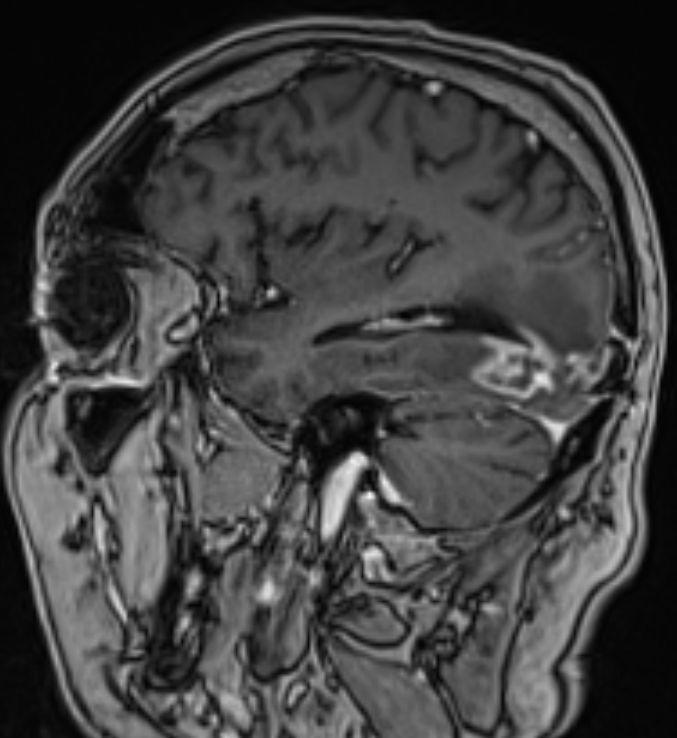
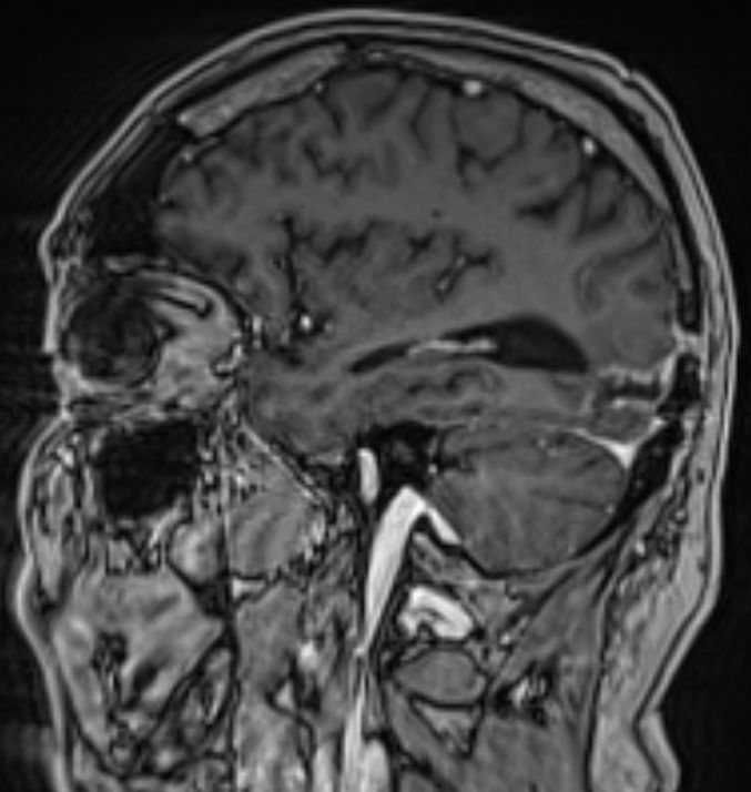
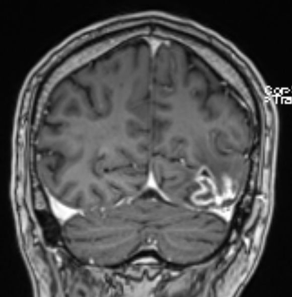
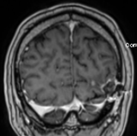
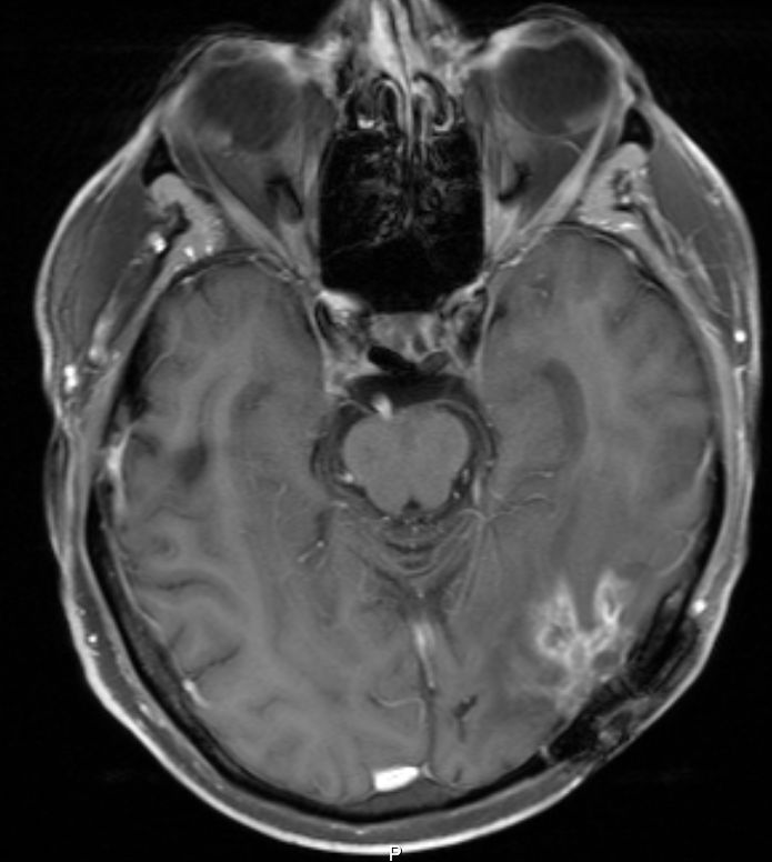
  • 54-jähriger Mann, der vor 4 Jahren ein Adenokarzinom des rechten Lungenoberlappens cT4 cN1 M0 entwickelte
  •  Cisplatin / Alimta - Chemotherapie, dann Radio –Chemotherapie 50Gy, 3 Zyklen simultan Cisplatin und Pemetrexed
  • extrapleurale Oberlappenresektion,  Lymphadenektomie
  • postoperatives Stadium ypT3 ypN0 L0 V0 G3
  • adjuvante Bestrahlung der Thoraxwand rechts ED 3 Gy, GD 30 Gy
  • vor 2 Jahren Metastase links parieto – occipital,  neurochirurgische Entfernung, Bestrahlung des Neurokraniums mit 30 Gy, ED 3 Gy
  • vor 1 Jahr  Exstirpation einer Hirnmetaste links occipital, Bestrahlung des Hirnmetastasenbettes links occipital mit 40 Gy, ED 2 Gy
Die linke Spalte zeigt MRTs vor 7 Monaten, die rechte Spalte aktuelle MRTs.
Die MRTs zeigen eine Zunahme der Gadolinium-anreichernden Bezirke. Die Exzision erbrachte Großhirngewebe mit Anteilen einer Nekrose. Kein Tumorgewebe.

Quellen

1.) Addeo R, et al.:
Concomitant treatment of brain metastasis with whole brain radiotherapy (WBRT) and Temozolomid (TMZ) is active and improves Quality of Life.
BMC Cancer 7(2007): doi:10.1186/1471-2407-7-18

2.) Kocher M,et al.:
Adjuvant Whole Brain Radiotherapy vs. Observation after Radiosurgery or Surgical Resection of 1–3 Cerebral Metastases - Results of the EORTC 22952-26001 Study.
JCO 29(2011):134-141

3.) Aoyama H, et al.:
Stereotactic radiosurgery plus whole - brain radiation therapy vs. stereotactic radiosurgery alone for treatment of brain metastases: a randomized controlled trial.
JAMA 295(2006):2483-2491

4.) Chang EL, et al.:
Neurocognition in patients with brain metastases treated with radiosurgery or radiosurgery plus whole-brain irradiation: a randomised controlled trial.
Lancet Oncol 10(2009):1037-44. doi: 10.1016/S1470-2045(09)70263-3

5.) Hasan S, et al.:
The role of whole-brain radiation therapy after stereotactic radiation surgery for brain metastasis.
Pract Radiat Oncol 4(2014):306-315

6.) Lin X, DeAngelis LM:
Treatment of Brain Metastases.
J Clin Oncol 2015; 33: 3475–84.

7.) Mahajan A, Ahmed S, McAleer MF, et al.:
Post-operative stereotactic radiosurgery versus observation for completely resected brain metastases: a single-centre, randomised, controlled, phase 3 trial.
Lancet Oncology 2017;18: 1040–8

8.) Sofietti R, et al.:
Diagnosis and treatment of brain metastases from solid tumors: guidelines from the European Association of Neuro-Oncology.
Neuro Oncol 2017;19:162-174

9.) Singh R, et al.:
Dosimetric predictors of toxicity for brainstem metastases and AVMs treated with stereotactic radiosurgery: An international, multi-institutional analysis.
Radiotherapy and Oncology 206 (2025) 110795

Impressum                               Zuletzt geändert am 22.04.2025 16:13