zurück Home Metastasen Knochen, Lunge, Leber, Hirn, Peritoneal - Karzinose

allgemeines

Fast alle bösartigen Tumoren haben die Fähigkeit, auf dem Blutweg Tochtergeschwülste, Metastasen zu bilden. Sind bereits bei der Erstdiagnose Absiedelungen vorhanden, so liegt das Stadium M1 vor.

Entstehung

EMT V-ATPase
Satellitenmetastasen regionäre Tumorabsiedlungen <  2 cm vom Primärtumor Mikrosatelliten: mikroskopisch kleine Satellitenmetastasen
In-transit-Metastasen regionalen Metastasen > 2 cm vom Primärtumor entfernt In-transit: auf dem Weg zur nächsten Lymphknotenstation

Symptome

Metastasen sind zunächst ohne Schmerzen, da sie über keine Nervenverbindungen verfügen. Schmerzen entstehen z.B. durch Kompression nervenhaltiger Strukturen.

Diagnostik

Zunächst erfolgt die Exploration von Symptomen, die auf Metastasen hindeuten können. Dann wird eine klinische Untersuchung durchgeführt. Die apparative Diagnostik erfolgt mit Sonographie, Röntgenaufnahmen, CT, MRT, Szintigraphie und PET.

Oligo-Metastasierung

3-5 Metastasen (2). Durch Lokaltherapie (Op oder RT) der Metastasen kann längerfristige Remissionen, in Einzelfällen auch eine Heilungen erreicht werden.

Strahlentherapie

 
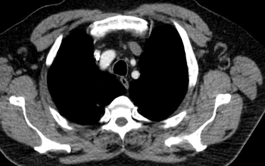
Lymphknoten Für jede Tumorentität sind regionale Lymphknotengruppen definiert. Diese bestimmen das N-Stadium. Lymphknotenmetastasen in nicht regionalen Lymphknotengruppen gelten als Fernmetastasen. In der linken Achselhöhle sind zwei vergrößerte Lymphknoten erkennbar, die eine zentrale Verfettung aufweisen und damit unverdächtig sind.
Lymphknoten

Knochen

Die meisten Knochen - Metastasen sind primär Knochenmarksmetastasen.

Lunge

am häufigsten:
  • Bronchial-Karzinom
  • Mammakarzinom
  • intrapulmonale Rundherde
  • Lymphangiosis carcinomatosa
  • maligner Pleuraerguß
  • Lymphknotenmetastasen von Hilus und Mediastinum.

Leber

Lebermetastasen treten häufig bei colorektalen Karzinomen, Magenkarzinomen, Bronchial-Karzinomen und Mammakarzinomen auf.

Nebenniere

klinisch meistens stumm. 2/3 Bronchialkarzinom, 13% Gastrointestinale Tumoren, 10% Mammakarzinom

Hirn

Unbehandelt ist die mediane Überlebenszeit 1 Monat, mit Behandlung 4 - 6 Monate.

Augenlied

55% Melanome:Haut, Uvea, Konjunktiva. 15% Brustkrebs. 10% Nierenzellkarzinom

Peritoneal - Karzinose

Selten primäre Tumoren des Peritoneums: Mesotheliom, peritoneales Karzinom 70 % der Ovarialkarzinome, 10 % der kolorektalen Karzinome

Ascites

Maligner Ascites ist häufig bei Ovarial - Karzinomen. Ein neues Therapieverfahren besteht in der Installation von Catumaxomab (Removab®).

Pseudomyxoma peritonei

PMP gallertige Massen im Bauchraum Ursprung: rupturierte Mukozele der Appendix, muzinöser Ovarialtumor

CTCs

Circulating tumor cells Zeigen eine schlechte Prognose an. CellSearch®: für Mammakarzinom.

Teil von

Klinik der Onkologie Onkologie
Quellen 1.) Rhim AD, et al.:
EMT and Dissemination Precede Pancreatic Tumor Formation.
Cell 148(2012):349-61

2.)Hellman S, Weichselbaum RR:
Oligometastases.
J Clin Oncol 1995;13:8-10

Impressum                         Zuletzt geändert am 29.05.2025 7:47