zurück Home

Tonsillen - Karzinom

Allgemeines

 

Symptome

Schmerzen,  Dysphagie, Gewichtsverlust, ipsilaterale Ohrenschmerzen, Knoten am Hals

Diagnostik

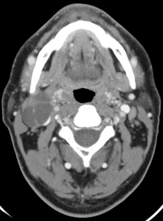
Tonsillentumor asymptomatisch. Das große Lymphknotenpaket am Unterkieferwinkel war aufgefallen.

Radiotherapie

Ergebnisse Göteborg 1988 - 2000

Patienten

73 N+, nicht operiert

Therapie

96 accelerierte hyperfraktionierte EBRT

68 zusätzlich Brachytherapie

69 zusätzlich Chemotherapie

Ergebnis / 3 Jahre

OS 70%

OS T1 90%, T2 89%, T3 54%, T4 60%.

OS N0 61.5%, N1 73%, N2 78%, N3 66%.

RTOG-9003

Im Stadium I RT günstiger als OP, im Stadium II sind beide verfahren gleichwertig (2,3,4).

Teil von

Oropharynx-Tumoren HNO-Tumore Onkologie

Quellen

1.: Aziz L, Nyman J, Edström S.:
T but not N stage predicts survival for patients with tonsillar carcinoma treated with external radiotherapy and brachytherapy.
Acta Oncol 49(2010):821-5.
Universitätsklinik, Göteborg

2.)Mendenhall WM, Amdur RJ, Stringer SP, et al.:
Radiation therapy for squamous cell carcinoma of the tonsillar region: a preferred alternative to surgery?
J Clin Oncol 18 (2000):2219-25

3.)Fu KK, et al.:
A Radiation Therapy Oncology Group (RTOG) phase III randomized study to compare hyperfractionation and two variants of accelerated fractionation to standard fractionation radiotherapy for head and neck squamous cell carcinomas: first report of RTOG 9003.
Int J Radiat Oncol Biol Phys 48 (2000):7-16

4.) Mendenhall WM, et al.:
Definitive radiotherapy for squamous cell carcinoma of the base of tongue.
Am J Clin Oncol 29 (2006):32-9

Impressum                         Zuletzt geändert am 14.08.2014 18:46