Tonsillen - Karzinom: Diagnostik | ||||
Allgemeines |
| |||
Lymphknoten |
51-jähriger Mann mit Tonsillenkarzinom pT2 pN2b Mo. Tonsillentumor asymptomatisch.
Das große Lymphknotenpaket am Unterkieferwinkel war aufgefallen. |
|||
| ||||
| ||||
| ||||
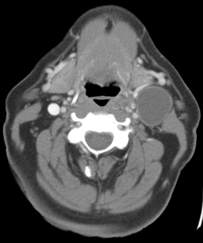
Lymphknoten |
66-jähriger Mann mit einem zystischen 34mm großen Knoten links am Hals.
Die Panendoskopie ergab ein 11mm großes invasives Plattenepithelkarzinom der linken Tonsille. pT1 pN2a(1/15) Mo G3 p16+. | |||
Quellen |
1.) | |||
|
| ||||
Impressum Zuletzt geändert am 14.08.2014 18:46