| zurück Home | Ovar: Schnittbild - Diagnostik | ||||
Allgemeines |
Sonographie , CT oder MRT | ||||
CT |
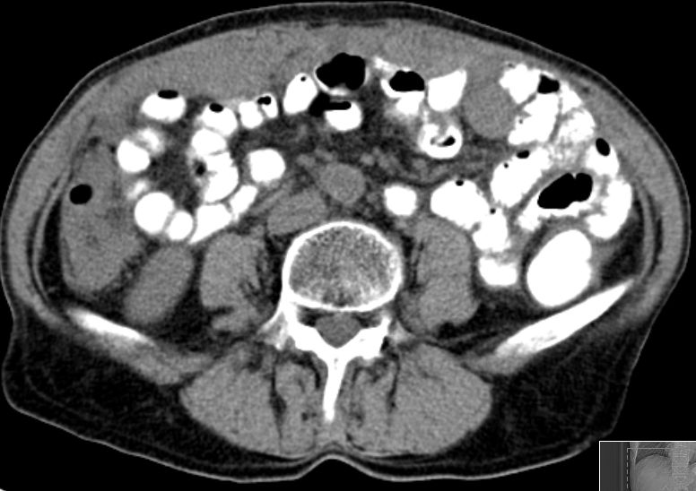
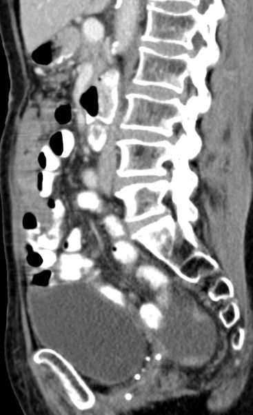
Konglomerattumor im linken Unterbauch: abszedierende Divertilulitis und Peridivertikulitis
mit angrenzenden pseudozystisch demarkierten Fettgewebsnekrosen und mit metaplastischer Verknöcherung der Pseudozystenwand.
Ovar mit einem high-grade serös-papillären Karzinoms. | ||||
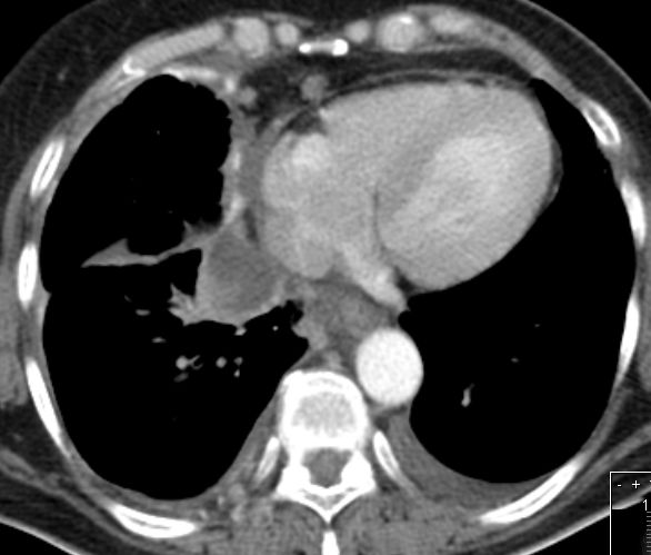
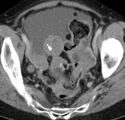
CT |
Ascites bei Ovarial - Ca |
Pleuraerguß links bei Ovarial - Ca |
Fortgeschrittenes Ovarialkarzinom mit Ascites und Peritonealkarzinose.![]() | ||
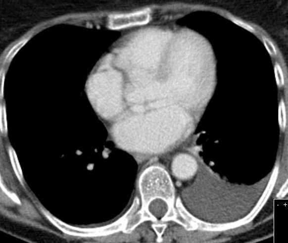
CT |
Pelvine Lymphknotenmetastasen (7 von 17 LK positiv) |
Perikard - Karzinose | |||
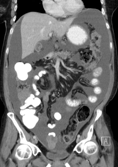
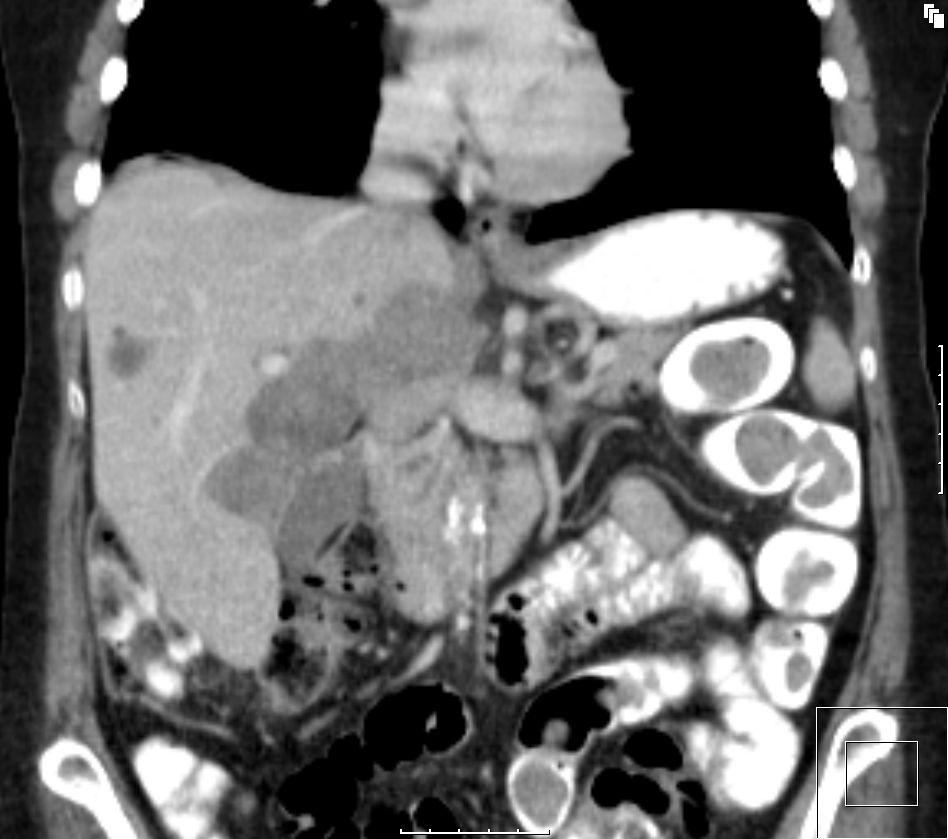
CT |
Rezidiv eines serösen Ovarialkarzinoms. Großer Tumor im Leberhilus, intrahepatische Herde. |
Pfortader frei. | |||
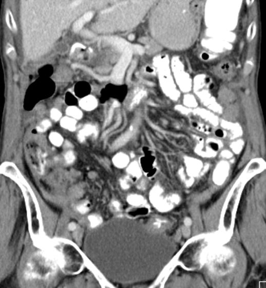
CT |
75-jährige Frau mit beiderseitigem Ovarial-Karzinom.
Ausgeprägte infiltration des Netzes und des Peritoneums.
|
|
| ||
Teil von |
Diagnostik des Ovarial - Karzinoms | Ovarial - Karzinom | Gynäkologische Onkologie | Tumoren endokriner Organe | Onkologie |
Impressum Zuletzt geändert am 06.09.2022 11:05