| zurück Home | DCIS | duktales Carcinoma in situ | |
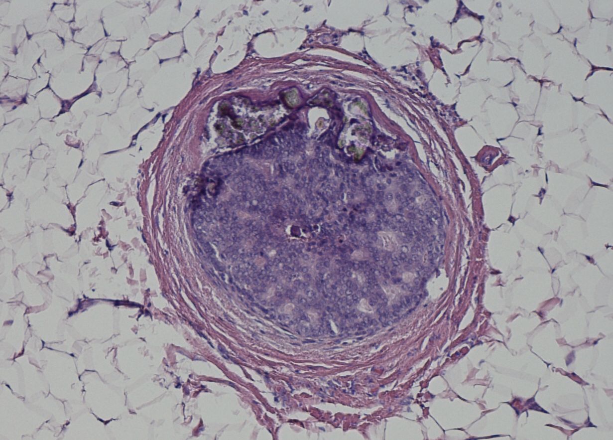
Mikroskopisches Bild eines Milchgangs, der komplett mit atypischen Epithelzellen ausgefüllt ist.
Teilweise Rosettenbildung. Oben Karkablagerungen. Die Wand des Milchgangs zeigt eine deutliche Bindegewebsvermehrung.![]() Das Bild wurde von der Praxis für Pathologie Stendal (Schultz-Lüders) zur Verfügung gestellt. | |||
| allgemeines | Das DCIS ist eine segmentale Erkrankung, dass bedeutet, dass meistens ein "Tortenstück" der Brust befallen ist. | ||
| Epidemiologie | In den USA hat SEER von 1998-2005 51.030 Fälle mit DCIS registriert. | ||
| Pathogenese | Das DCIS gilt als obligate Vorstufe des invasiven duktalen Karzinoms. | In sorgfältig gescreenten Kollektiven entdeckt die Mammographie ca. 30% DCIS und 70% invasive Karzinome. | Das bedeutet, dass 2/3 der DCIS - Fälle unentdeckt bleiben. |
| Diagnostik | |||
| Prognose | Nach alleiniger brusterhaltender OP treten in 25% Rezidive auf, die Hälfte sind DCIS, die andere Hälfte invasive Karzinome. | In 15% werden Fernmetastasen beobachtet. | |
| Lymphknoten - Metastasen | Gelegentlich besteht eine occulte Invasion, so dass in Einzelfällen Lymphknotenmetastasen möglich sind. | ||
| OP | Ein DCIS kann brusterhaltend operiert werden. | Eine Axilla - Operation ist nicht erforderlich | |
| nur OP | Auch in scheinbar günstigen Fällen treten oft Rezidive auf. | Die Studie von Wong (2) wurde vorzeitig abgebrochen. | |
| Strahlentherapie | Eine postoperative Strahlentherapie senkt das Risiko eines invasiven Rezidivs (HR = 0,5) und das Risiko eines DCIS-Rezidivs (HR = 0,61). | Alle Subgruppen profitieren von der Bestrahlung (1). | |
Teil von |
Histo - Pathologie der Brust | Mamma - Karzinom | Gynäkologische Onkologie |
| Quelle |
1.) Goodwin A, Parker S, Ghersi D, Wilcken N: Post-operative radiotherapy for ductal carcinoma in situ of the breast. Cochrane Database Syst Rev. 2009 Westmead Hospital, Australien 2.) Wong JS, Kaelin CM, Troyan SL, Gadd MA, Gelman R, Lester SC, Schnitt SJ, Sgroi DC, Silver BJ, Harris JR, Smith BL: Prospective Study of Wide Excision Alone for Ductal Carcinoma in Situ of the Breast. J Clin Oncol 24 (2006):1031-1036 Dana Faber, MGH, Boston | ||
Impressum Zuletzt geändert am 20.07.2025 18:03