| zurück Home | DCIS: Diagnostik | ||
| allgemeines | Ein DCIS macht im Normalfall keine klinischen Symptome. | ||
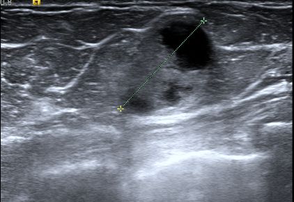
| intrazystisches DCIS | Eine 73-jährige Frau bemerkte in der linken Brust oben innen einen 3cm großen zystischen Tastbefund. Die Mammographie spricht für eine gutartige Zyste. Allerdings ist die Neubildung einer Zyste in dem Alter ungewöhnlich. | ||
![]() |
![]() |
||
Das Ultraschallbild zeigt in der Zyste solide Anteile.![]() |
Histologisch 16mm großes papilläres DCIS.![]() | ||
| Quelle | 1.) | ||
Impressum Zuletzt geändert am 16.05.2017 18:02