Hypophysen - Adenom | |||||
| Allgemeines | |||||
| Adenom |
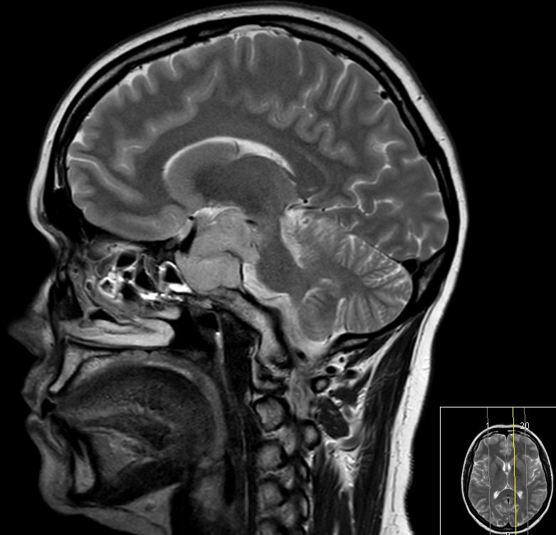
![]() 78jährige Frau. Hypophysenadenom seit 2 Jahren bekannt. Jetzt Deviation des rechten Auges und Kopfschmerzen. | ||||
![]() Das Adenom ist in die Keilbeinhöhle eingewachsen. | |||||
Infraselläre
Ausbreitung mit Ummauerung der Arteria carotis interna rechts. | |||||
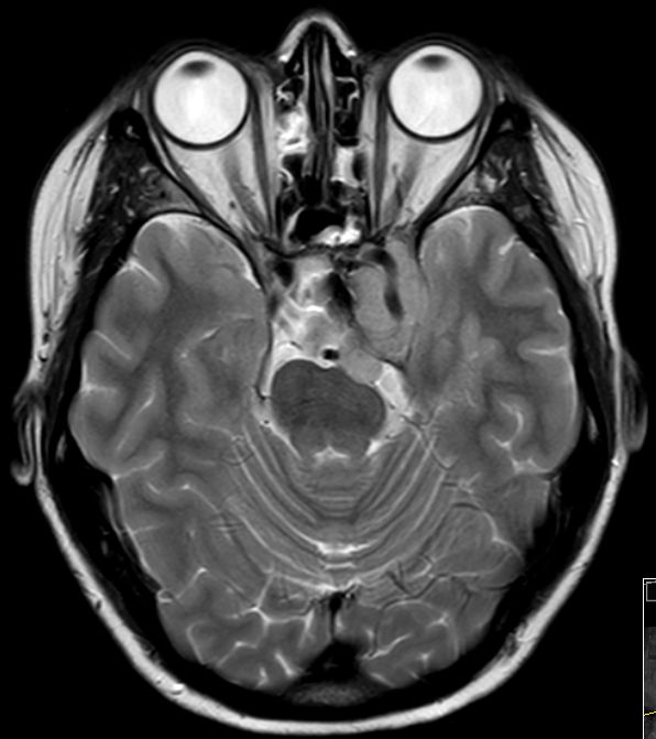
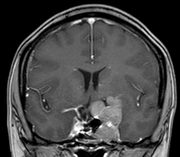
| Adenom | 42-jährige Krankenpflegerin mit
atypischem Hypophysenadenom. Z.n. transsphenoidaler Resektion. Hemianopsie
rechts. Großer extrasellärer Anteil. Ummauerung der Arteria carotis interna
links. Größe 4,2 x 4,2 x 2,7 cm überwiegend links der Mittellinie,
größenregredient, Ränder sind glatt begrenzt, die Kontrastmittelaufnahme
homogen. Ausdehnung vom Orbitatrichter in die Sella und nach dorsorostral bis
zum Hirnstamm und die Temporalgrube.![]() | ||||
![]() | |||||
![]() | |||||
![]() | |||||
| Therapie | transnasale Resektion | Strahlentherapie: 50 Gy; ED 2 Gy. Max 54 Gy. Gefahr der Stammhirnschädigung, Chiasma opticum | |||
Teil von |
Hypophysen - Tumoren | Tumoren endokriner Organe | Onkologie | Hypophyse | Endokrinologie |
| Quellen |
1.) Erridge SC, Conkey DS, Stockton D, et al.: Radiotherapy for pituitary adenomas: Long-term efficacy and toxicity. Radiother Oncol 2009;93:597-601. |
||||
Impressum Zuletzt geändert am 31.12.2014 14:30