Hirn-Metastasen beim NSCLC: Fallbeispiele | ||||
| allgemeines |
| |||
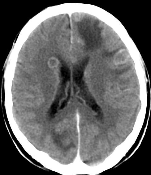
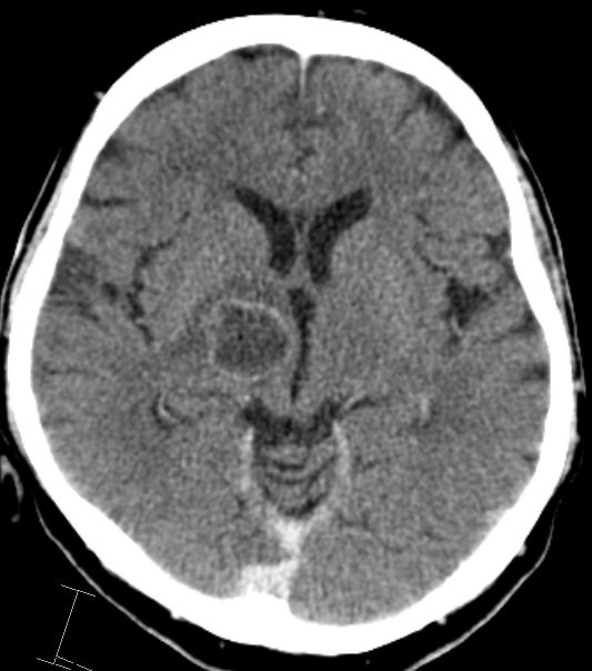
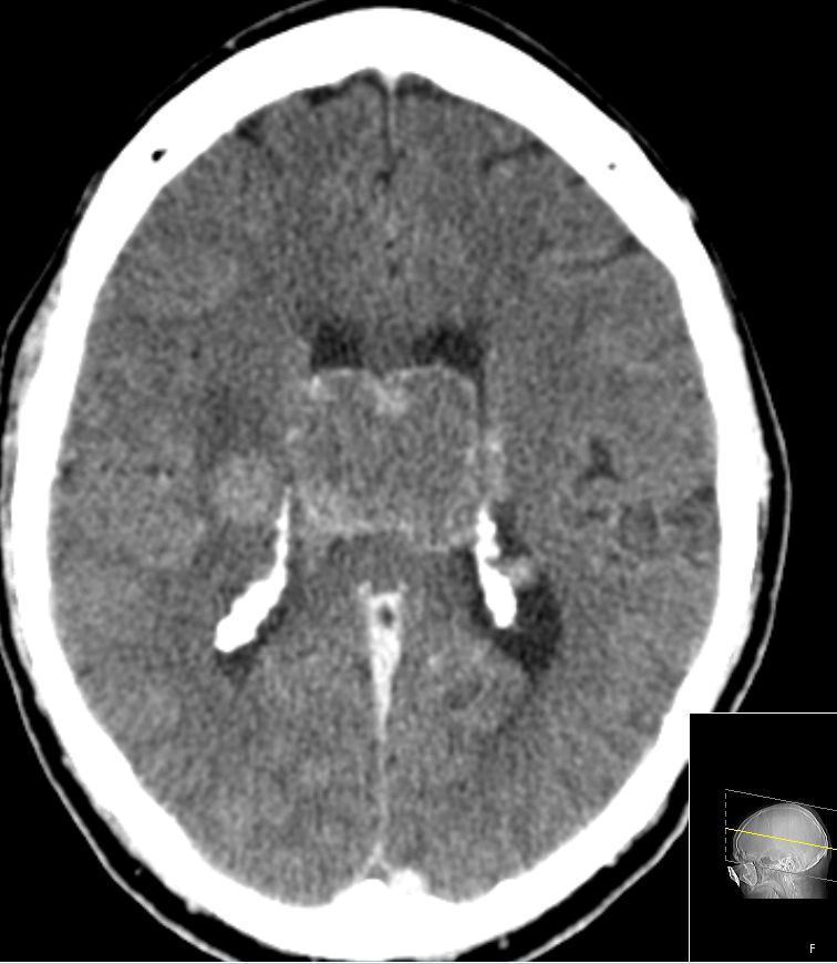
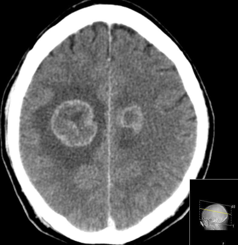
| CT: multiple Hirnmetastasen | Adenokarzinom der Lunge. CT-Untersuchung des Hirns mit Kontrastmittel. | |||
![]() |
![]() | |||
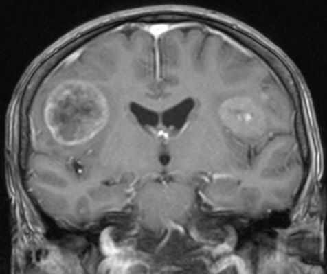
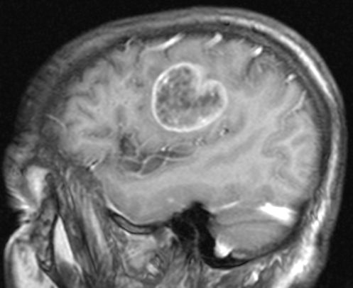
| MRT: multiple Hirnmetastasen | Adenokarzinom der Lunge. MRT-Untersuchung des Hirns. | |||
![]() |
![]() |
|||
| MRT: multiple Hirnmetastasen | 70-jähriger Mann, der vor einem Jahr ein Adenokarzinom des rechten Lungenmittellappens hatte. MRT-Untersuchung des Hirns, T1-Sequenz mit Kontrastmittel. Klinisch keine Symptome! | |||
![]() |
![]() |
![]() |
||
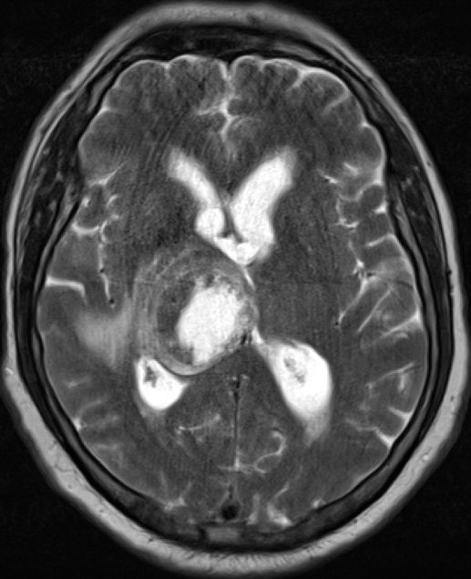
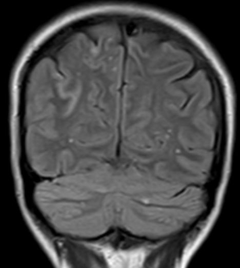
| miliare Metastasen | 57-jährige Frau, die vor einem Jahr ein Adenokarzinom des rechten Lungenunterlappens im Stadium T2b cN3 M1oss hatte. Jetzt Notfalleinweisung mit Kopfschmerz, Übelkeit, Schwäche, Sehstörungen und 3 Episoden mit Bewusstlosigkeit. | |||
![]() |
![]() |
![]() |
||
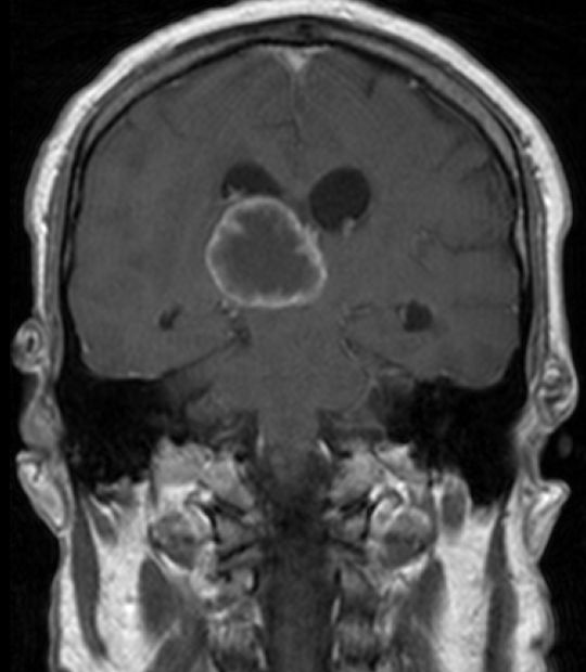
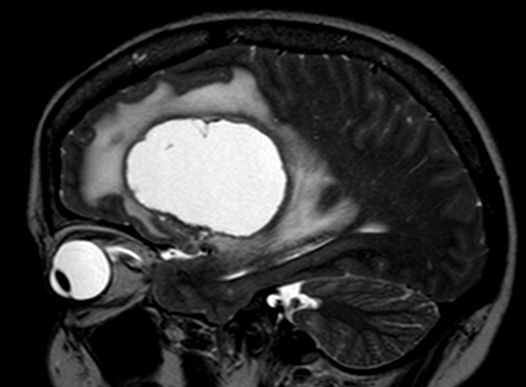
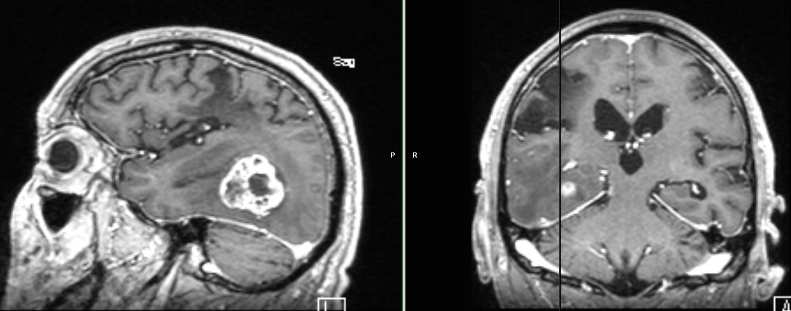
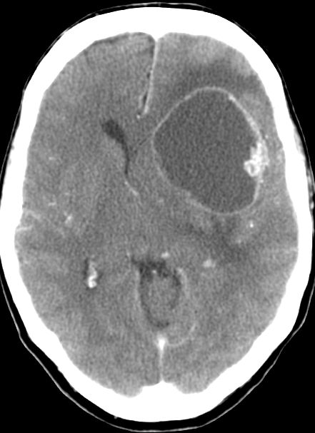
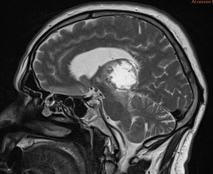
| große zystische Hirnmetastase | asymptomatisches Adenokarzinom des linken
Hauptbronchus mit primärer Hirnmetastase![]() ![]() |
|||
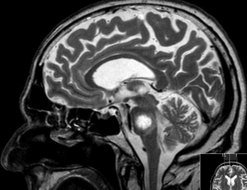
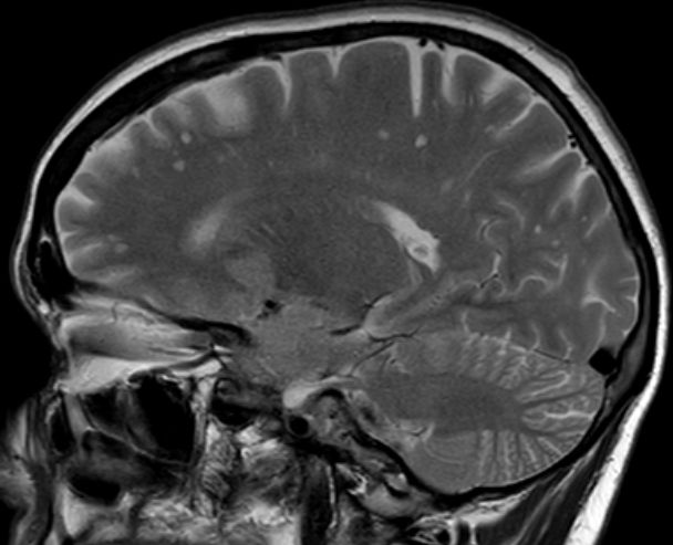
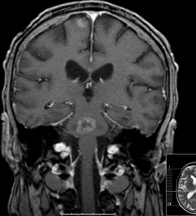
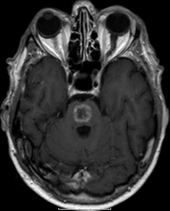
| Pons-Metastase | 63-jähriger Mann mit 2 metachronen Bronchialkarzinomen. Jetzt taumelig, schwindelig und ganggestört. | |||
![]() |
![]() |
![]() |
||
| Thalamus | 59jähriger Patient mit schlecht differenziertem
Adenokarzinom des linker Oberlappens cT2b pN1 M1b (pul, bra). Latente
Armparese links und Feinmotorikstörung der linken Hand. Keine
Sensibilitätsstörung, Sprachstörung, kognitive Defizite. Große Metastase in
rechten Thalamus.![]() | |||
| 10 Jahre Intervall | 76-jähriger Mann, der vor 10 Jahren ein
Adenokarzinom des re Lungenunterlappens hatte, welches kurativ operiert
wurde. Jetzt singuläre Hirnmetastase mit Kontakt zum Seitenventrikel.
Primärtumor und Metastase Adenokarzinom TTF1 negativ.![]() | |||
![]() | ||||
![]() |
||||
|
|
53-jähriger Mann mit Adenokarzinom des rechten
Lungenoberlappens T1 N3 M1bra.![]() |
![]() |
![]() |
|
|
|
74-jährige Patientin, die 17 Jahre nach
Bronchialkarzinom rechts und 9 Jahre nach Plattenepithelkarzinom der linken
Lunge Hirn- und Knochenmetastasen entwickelte. ![]() |
Das gleiche Bild im Knochenfenster.![]() | ||
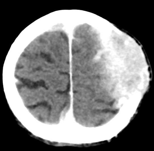
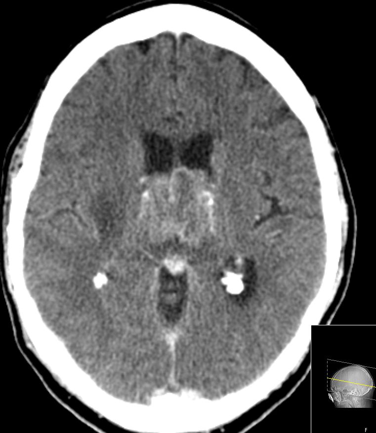
| zentrale Metastasen | 60-jähriger Mann, den vor einem Jahr ein
Plattenepithelkarzinom des linken Unterlappend cT2 pN2 Mo hatte. Nach 4x
Cisplatin-Vinorelbin und Bestrahlung vor 2 Monaten CR. Sturzes in der
Häuslichkeit eingewiesen werden. Jetzt Schwindel und zunehmende
Gangunsicherheit.
![]() |
![]() |
![]() |
![]() |
| Rückenmarksmetastasen | 71-jährige Frau mit inkompletter
Querschnittslähmung bei unbekanntem Primärtumor. Knochenbiopsie:
Adenokarzinom. CT: Tumor im linken Lungenoberlappen. Trotz
Notfallbestrahlung Komplettierung der Querschnittslähmung klinisch Th6.![]() |
|||
Quellen |
1.) Khan E, Ismail S, Muirhead R: Incidence of symptomatic brain metastasis following radical radiotherapy for non-small cell lung cancer: is there a role for prophylactic cranial irradiation? Br J Radiol. 2012 Sep 19. [Epub ahead of print] Glasgow 2.)Sun DS, Hu LK, Cai Y et al.: A systematic review of risk factors for brain metastases and value of prophylactic cranial irradiation in non-small cell lung cancer. Asian Pac J Cancer Prev 2014; 15:1233-39 |
|||
|
| ||||
Impressum Zuletzt geändert am 15.11.2015 8:07