| zurück Home | Strahlentherapie des Rektumkarzinoms | ||||
| allgemeines | ![]() | ||||
| Kombinierte Therapie | Beginn meistens mit Radiochemotherapie, dann Radikaloperation. | ||||
| 5x5 Gy | |||||
IMRT |
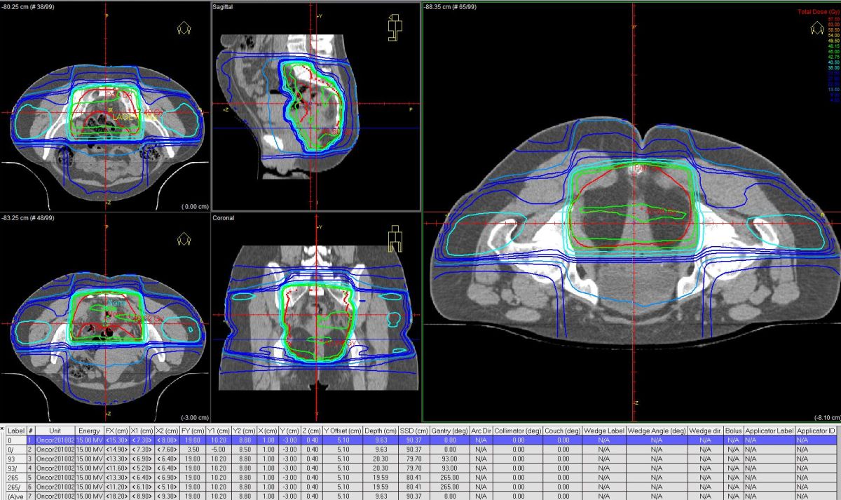
IMRT erlaubt eine bessere Schonung von Blase und Darm. | IMRT in Bauchlage ermöglicht eine geringere Dünndarmdosis als IMRT in Rückenlage. | |||
Phimose |
Seltene Komplikation nach Strahlentherapie (N408) | ||||
primäre Bestrahlung |
Eine gewisse Zahl von Rektumkarzinomen kann allein mit einer Bestrahlung geheilt werden (1,2,3. | ||||
| Eine Operation ist obligater Bestandteil jeder kurativen Behandlung des Rektum-Karzinoms. | |||||
| Quelle |
1.) Brierley JD, et al: Adenocarcinoma of the rectum treated by radical external radiation therapy. IJROBP 31(1995):255-259 2.) Papillon J, Chassard JL: Respective roles of radiotherapy and surgery in the management of epidermoid carcinoma of the anal margin: Series of 57 patients. Dis Colon Rectum 35(1992):422-429 3.) Sischy B: The use of endocavitary irradiation for selected carcinomas of the rectum: Ten years experience. Radiother Oncol 4(1985):97-101 4.) Koeck J, et al.: Small bowel protection in IMRT for rectal cancer. A dosimetric study on supine vs. prone position. Strahlenther Onkol 2017;193:578–588 DOI 10.1007/s00066-017-1107-z | ||||
Teil von |
Rektum - Karzinom | Gastro - Intestinale Tumore | |||
| wichtiger Hinweis! | Für die Richtigkeit von Dosisangaben, Zielvolumina und Indikationen kann keine Garantie übernommen werden. In Zweifelsfällen sind die aktuellen nationalen und internationalen Leitlinien einzusehen. | ||||
Impressum Zuletzt geändert am 16.10.2022 22:24