zurück Home

Operative Therapie
beim Rektumkarzinom

Allgemeines Eine Operation ist obligater Bestandteil jeder kurativen Behandlung des Rektum-Karzinoms.
praeoperative Ausbreitungsdiagnostik
  • digitale rektale Untersuchung
  • Komplette Koloskopie: mit Biopsien
  • CEA
  • Abdomensonographie
  • Rö-Thorax
  • Starre Rektoskopie
  • MR (CT)-Becken: Angabe Abstand des Tumors zur mesorektalen Faszie
  • Rektale Endosonographie:  bei lokal begrenztem Tumor
nicht passierbare Stenose:
Koloskopie 3-6 Monate postoperativ (obligat)
praeoperative virtuelle CT-Kolonographie (fakutativ)
anteriore Rektumextirpation .
transsphinktäre Resektion .
abdomino - perineale Resektion Quenue-OP: mit Resektion des unteren Steißbeins (wird nicht mehr angewendet)
Hartmann-OP Endständiger AP, Verschluss des Rektumstumpfes
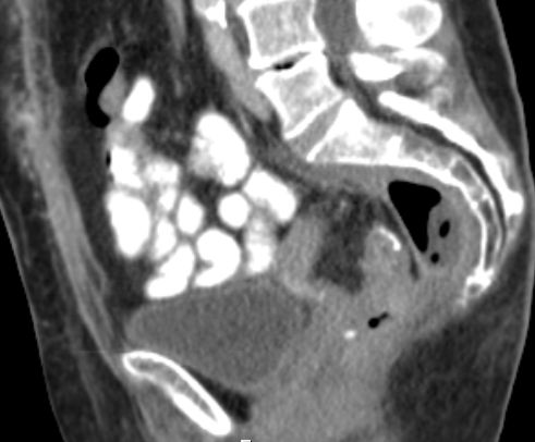
endoskopische, mikrochirurgische Abtragung 72-jährige Frau 6 Wochen nach laparoskopischer OP eines Rektumkarzinoms bei 9 cm ab ano. Rektal tastet man eine prall elastische stark druckdolente Resistenz. Das CT zeigt eine Nahtinsuffizienz mit KM-Austritt, Gasblase und präsakralem Abszess
TME totale Mesorektum - Extirpation .
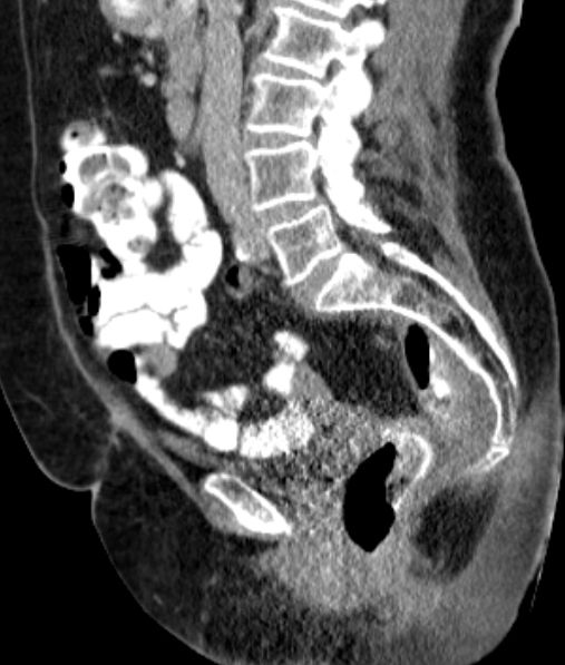
praesakraler Abszess 81-jährige Frau mit Rektumkarzinom uT3 uNo vor 2 Monaten . Praeoperative Bestrahlung mit 5x5Gy, tiefe anteriore Rektumextirpation mit protektivem Ileostoma. Jetzt Relaparotomie, Abszessdrainage.
regionale Lymphonodektomie .

Quellen

1.) Leitlinienprogramm Onkologie (Deutsche Krebsgesellschaft, Deutsche Krebshilfe, AWMF):
S3-Leitlinie Kolorektales Karzinom, Langversion 1.1, 2014,
AWMF Registrierungsnummer: 021-007OL
http://leitlinienprogramm-onkologie.de/Leitlinien.7.0.html [Stand: 21.12.2015]

2.) Kreis ME, Straßburg J (Hsg.):
Moderne Chirurgie des Rektumkarzinoms.
Springer 2015

Teil von

Rektum - Karzinom Gastro - Intestinale Tumore

Impressum                           Zuletzt geändert am 23.08.2021 22:24