zurück Home

anaplastisches Oligodendrogliom

Allgemeines

anaplastische Oligodendrogliome WHO Grad 3 bilden eine eigene biologische Entität unter den Gliomen.

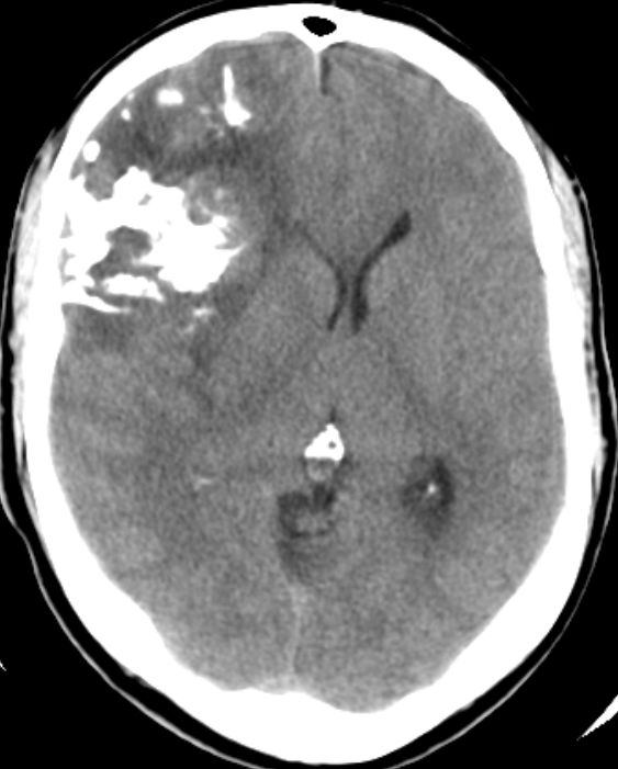
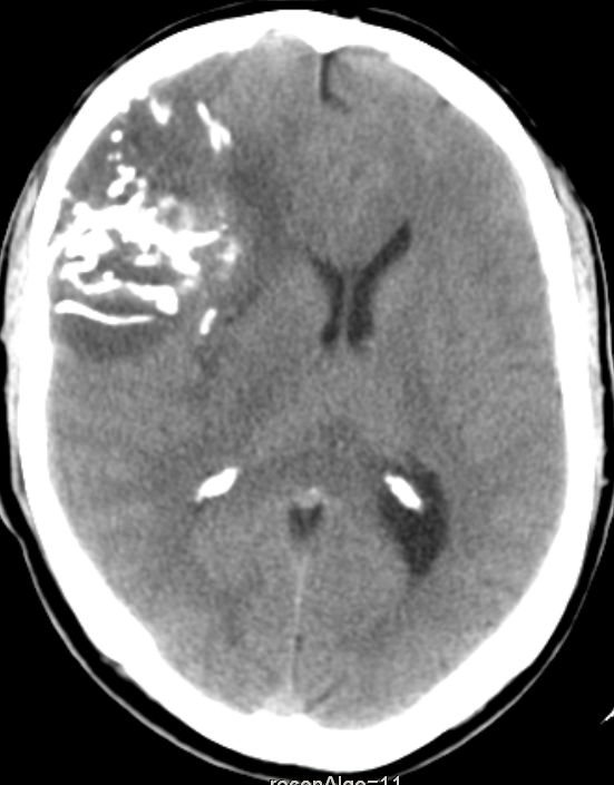
CT

46-jähriger Mann mit anaplastischem Oligodendrogliom WHO-Grad III rechts fronto- parieto-temporal, keine 1p19q-Deletion, IDH-1-Mutation, Ki67 12%.
Der Patient erlitt beim Autofahren einen epileptischen Anfall mit Myoklonien des gesamten Körper und Bewusstlosigkeit.

Prognose

RPA von 1013 Patienten, davon 587 mit 1p19q - Status(2).
  • RPA Klasse I: <60a, 1p19q - Codeletion,
  • RPA Klasse II: <43a, keine Codeletion
  • RPA Klasse III: 43-59a, keine Codeletion, Frontallappen oder
  • ≥60a,  1p19q - Codeletion
  • RPA Klasse IV: 43-59a,  keine Codeletion, nicht Frontallappen oder
  • 60-69a,  keine Codeletion
  • RPA Klasse V: ≥70a,  keine Codeletion
Unterschiede signifikant (P < 0,0001)
RPA I: OS 9,3 Jahre
RPA V: OS 0,6 Jahre

1p19q

Die 1p/19q-Codeletion kommt nur bei Oligodendrogliomen vor und dient zur Unterscheidung vom Astrozytomen. Patienten mit einer 1p19q - Codeletion haben eine bessere Prognose(1).
alleinige Chemotherapie Bei alleiniger Chemotherapie mit PCV war die progressionsfreie Zeit mit 7,6 Jahren signifikant (p=0,019) länger als mit Temozolomid allein (3,3 Jahre)(1).
Bestrahlung Eine SEER-Analyse(3) ergab keinen Benefit einer postoperativen Strahlentherapie.

Modifiziert nach (3).
Radiochemotherapie Mit Radiochemotherapie war die TTP mit 3,1 Jahren signifikant (P=0,0124) länger als mit Chemotherapie allein (0,9 Jahre) oder Radiotherapie allein (1,9 Jahre)(1).
Ergebnisse Lassman 2011 (1) 1013  Patienten mit unterschiedlichen Therapien analysiert
EORTC 22845 Postoperativ RT + 6x PVC besser als nur RT
RTOG 9402  

Teil von

ZNS-Tumore spezielle Tumoren Onkologie
Quellen 1.) Lassman AB, et al.:
International retrospective study of over 1000 adults with anaplastic oligodendroglial tumors.
Neuro Oncol 2011;13:649-59.

2.) Panageas, et al.:
Recursive partitioning analysis of prognostic variables in newly diagnosed anaplastic oligodendroglial tumors.
Neuro Oncol 2014;16:1541-6. doi: 10.1093/neuonc/nou083.

3.) Rusthoven CG, et al.:
The Impact of Adjuvant Radiation Therapy for High-Grade Gliomas by Histology in the United States Population.
Int J Radiation Oncol Biol Phys 90(2014): 894-902

Impressum                               Zuletzt geändert am 05.04.2025 9:18