| zurück | Astrozytom Grad II | |||
Allgemeines |
||||
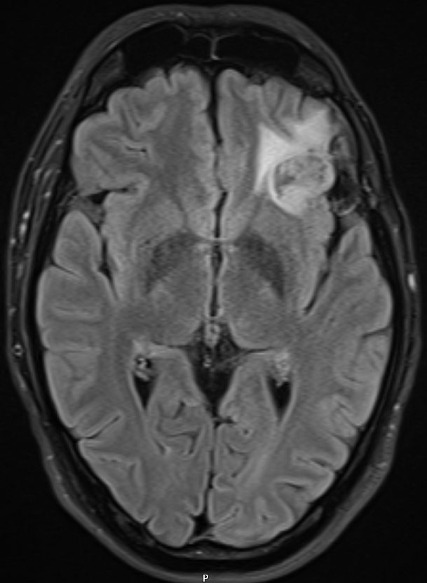
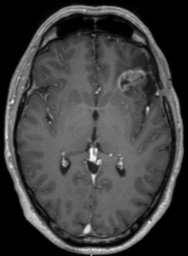
| Kasuistik 1 | 33jährige Frau mit einem links-frontalen Gliom Grad 2.
![]() |
|||
| Kasuistik 2 | Astrozytom Grad 2 li. frontal | 32 jährigen schlanken sportlicher Mann. Nie ernsthaft krank gewesen. | 6 Monaten vorher eine Phase der Orientierungslosigkeit. Dann generalisierter Krampfanfall mit Bewusstseinsverlust. | Therapie: Tumorresektion, postoperative Bestrahlung mit 50Gy. |
4 Jahre nach Primärtherapie asymptomatischer Tumor in der MRT-Kontrolle.![]() |
![]() Histologie: Glioblastoma multiforme | |||
Impressum Zuletzt geändert am 23.06.2013 21:26