zurück Home Karzinome des Urethers und des Nierenbeckens
Allgemeines

Epidemiologie

USA (ACS Ureter und andere urologische T.)

2008: 700 Sterbefälle, 2.290 Neuerkrankungen
2009: 790 Sterbefälle, 2.270 Neuerkrankungen
2010: 830 Sterbefälle, 2.490 Neuerkrankungen.

Prognose

Staging

TNM - Klassifikation nach UICC / AJCC 7

Diagnostik

Entdifferenziertes Urothelkarzinom des rechten proximalen Harnleiters pT4 G3 L1

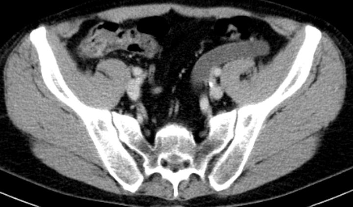
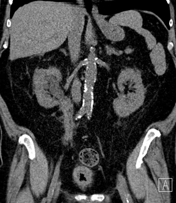
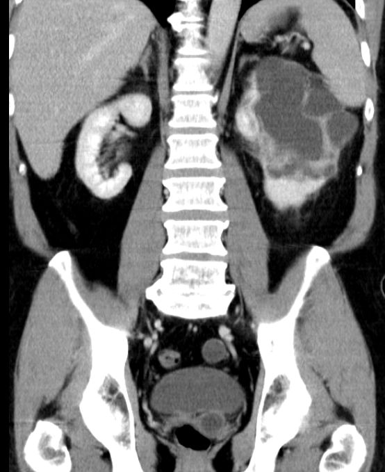
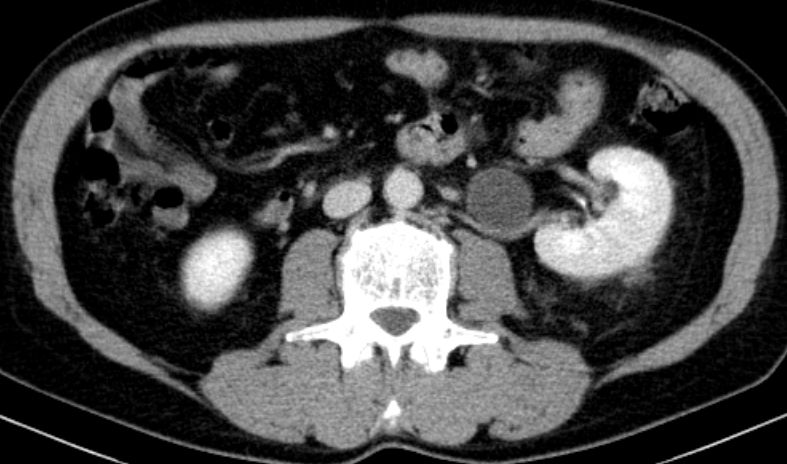
Nierenbecken-Karzinom in einer Doppelniere

Doppelniere links. Im oberen Anteil Hydroureter und Hydropyelons mit Wucherungen eines schlecht differenzierten Urothelkarzinoms mit Plattenepithelmetaplasie, infiltriert das umgebende Fettgewebe.G3. pT3, pN3 (2/3, 1 Lymphknoten mehr als 5 cm) L1. V0. Das CT zeigt den Nierenbeckentumor und eine Lymphknotenmetastase medial des erweiterten Ureters.
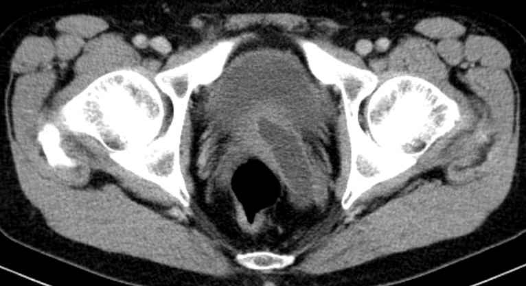
Der stark dilatierte Ureter links im kleonen Becken.
Ungewöhnlich Einmündung des dilatierten Ureters durch die Prostata in die Blase.
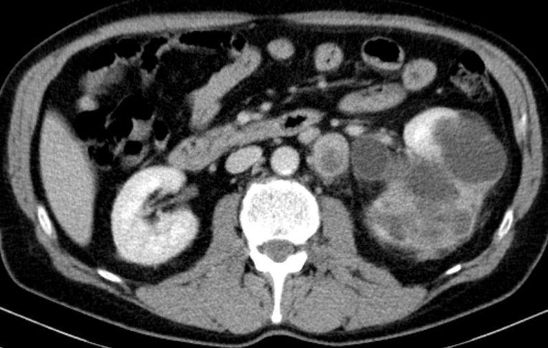
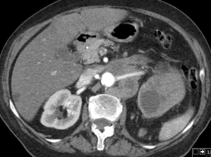
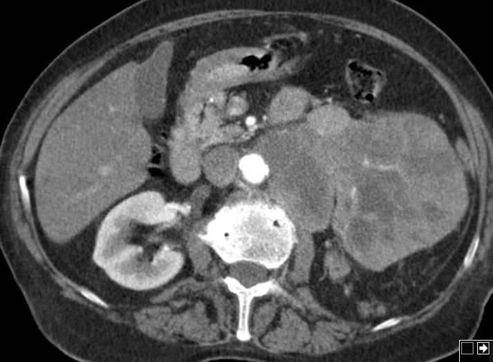
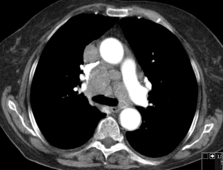
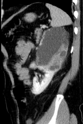
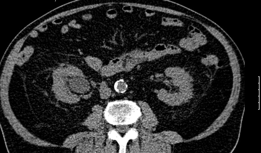
Urothelkarzinom der Niere 81-jährige Frau mit einem großen, die linke Niere einnehmendem Tumor. Histologie: Urothelkarzinom.
Die linke Nierenarterie ist von LK-Metastasen eingeschlossen.
Auch im Mediastinum große LK-Metastasen.
Morphologie  

Therapie

Ergebnisse

Operation

Radiatio

Chemotherapie  
Target-Therapie  

offene Protokolle

Rest

Teil von

urologische Tumoren Onkologie
blauer Punkt
Impressum                         Zuletzt geändert am 22.09.2012 16:18