Seminom | ||||
Allgemeines |
Seminome stammen vom spermienbildenden Epithel der Hodenkanäle ab. | |||
Epidemiologie |
Hodentumoren kommen vor allem bei jüngeren Männern vor. | |||
Prognose |
Seminome haben auch in fortgeschrittenen Stadien eine gute Prognose. | IGCCCG-Klassifikation (International Germ-Cell Cancer Collaborative Group) (8) | ||
Klinik |
||||
Metastasierung |
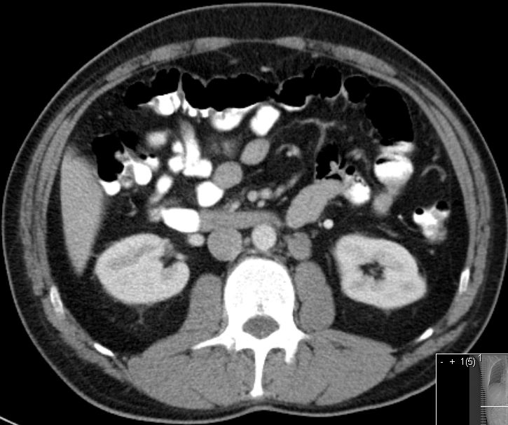
21mm große Lymphknotenmetastase links paraaortal unterhalb des Nierenstiels.![]() |
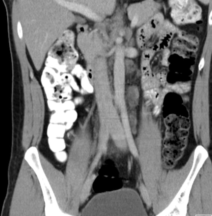
30-jähriger Mann mit einem 17mm großen reinen Seminom links.
Links paraaortal unterhalb des Nierenstils 3 bis 30mm große Lymphknotenmetastasen![]() | ||
| TNM - Klassifikation nach UICC 7 | ||||
Diagnostik | ||||
Morphologie |
90% assoziiert mit intratubulärer Neoplasie (TIN). Bei TIN besteht ein Risiko von 50% innerhalb von 5 Jahren ein Seminom zu entwickeln. | |||
Therapie | ||||
Operation | ||||
Radiatio |
Bestrahlung der paraaortalen Lymphknoten (ev. auch ipsilaterale iliaca communis und iliaca externa - LK): Seminom Stadium I: 20-24Gy. Seminom Stadium IIA: 30Gy. Seminom Stadium IIB: 36Gy. | |||
Chemotherapie |
||||
offene Protokolle | ||||
Ergebnisse |
ARO 91-1 (Bamberg): Seminom I, IIa, IIb, RT TE-Studien | |||
Quellen |
1.) Albers P, Albrecht W, Algaba F, Bokemeyer C, Cohn-Cedermark G, Fizazi K,
Horwich A, Laguna MP: Guidelines on Testicular Cancer. European Association of Urology 2009 2.) Oliver RTD, et al: Randomized trial of carboplatin versus radiotherapy for stage I seminoma: Mature results on relapse and contralateral testis cancer rates in MRC TE19/ EORTC 30982 study (ISRCTN27163214). JCO 29(2011):957-962 3.) Warde P, et al: Prognostic factors for relapse in stage I seminoma managed by surveillance: A pooled analysis. JCO 20(2002):4448-4452 4.) Aparicio J, et al: Risk-adapted management for patients with clinic23.11.2014 15:58udy. JCO 23(2005):8717-8723 5.) Mead GM, et al: Randomized trials in 2466 patients with stage I seminoma: Patterns of relapse and follow-up. JNCI 103(2011):241-249 6.) Travis LB, et al: Second cancers among 40576 testicular cancer patients: Focus on long-term survivors. JNCI 97(2005):1354-1365 7.) Paly J, et al. Mapping patterns of nodal metastases in seminoma: Rethinking the para-aortic field (Abstr.). Int J Radiat Oncol Biol Phys 81(2011):S44. 8.) Mead GM: International Germ Cell Consensus Classification: A prognostic factor-based staging system for metastatic germ cell cancers. J Clin Oncol 1997;15:594-603 | |||
Teil von |
Hoden-Karzinom | urologische Tumoren | Tumoren endokriner Organe | Onkologie |
Impressum Zuletzt geändert am 18.12.2022 15:58