zurück Home Operation des Prostata - Karzinoms

Allgemeines

 

RP

Radikale Prostatovesikulektomie mit pelvine Lymphadnektomie. Primäre Therapie eines Prostata-Karzinoms

SPCG-4 - Studie

In der Scandinavian Prostate Cancer Group Study Number 4 wurde geprüft, ob eine radikale Prostatektomie den Verlauf des frühen Prostatakarzinoms verbessert. Die RP hat gegenüber dem „Watchful Waiting“ folgende Vorteile(5):
  • Seltener Progression der Erkrankung
  • Geringeres Risiko von Fernmetastasen
  • Geringere prostatakarzinomspezifische Mortalität
  • Geringere Gesamtmortalität

Indikation

Eine RP ist indiziert bei Prostatakarzinom
  • Stadium T1b-T2 N0 M0
  • PSA < 50 ng/ml
  • Lebenserwartung > 10 Jahre
  • R0-Resektion hoch wahrscheinlich

Ziele

Zu den Zielen der radikalen Prostatektomie gehören neben der kompletten Exstirpation der Prostata mit tumorfreiem Resektionsrand der Erhalt der Harnkontinenz und bei tumorchirurgisch geeigneten Patienten der Erhalt der Erektionsfunktion.

Statistik

BRD: ca. 26.000 OPs pro Jahr. Minimal invasiv, BRD 1600 OPs pro Jahr.

R1 (8)

Ein tumorhaltige Schnittrand ist ein unabhängiger Prediktor für das 10a-PFS
(10 - Jahre progressionsfreies Überleben)(8).
  • 1389 Männer
  • mit Prostatakarzinom
  • Stadium T1-3
  •  Radikale Prostatektomie durch 2 Operateure
  • 1983-2000
  • 179 positiver Schnittrand
    • 29 postoperative Bestrahlung
    • 8 postoperative Hormontherapie
    • pT2: 6,8 % von 847 positiver Schnittrand
    • pT3:   23 % von 522 positiver Schnittrand
Multivariante Analyse des 10a - PFS:
  • positiver Schnittrand: p = 0,02
  • Gleason - Score: p = 0,0005
  • Kapseldurchbruch: p = 0,0005
  • Samenblasen - Infiltration: p = 0,0005
  • Positive Lymphknoten: p = 0,0005
  • PSA: p = 0,0001
10a-PFs
58% +/- 12% mit positivem Schnittrand und
 81% +/- 3% mit negativem Schnittrand,
p <0.00005. RR 1,52; 95%-CI = 1,06-2,16.

Operateur

Das Operationsergebnis ist von der Erfahrung des Operateurs abhängig. Die S3-Leitlinie (4) fordert
  • ≥ 50 Prostatektomien / Klinik, Jahr
  • ≥ 25 Prostatektomien / Operateur, Jahr
  • Ausbildungsprogramm.

Zugang

Retropubisch perineal transcoccygeal

laparoskopisch assistiert

 

Roboter - assistiert

DaVinci - System Kontrollkonsole vergrößerte 3-D-Anzeige des OP-Gebietes.
Steuerung der Instrumente Master, an der Hand befestigte Griffe übertragen die Handbewegung auf die Instrumente.
Instrumente mit Gelenken ausgerüstet, die mit 7 Freiheitsgraden bewegt werden können.

Nebenwirkungen

Harninkontinenz, erektile Dysfunktion

pelvine Lymphonodektomie

Bei niedrigem Risiko kann auf eine Lymphadenektomie verzichtet werden(4). Niedriges Risiko: bis cT1c und PSA < 10 und Gleason < 7 Es sollten mindestens 10 Lymphknoten entfernt werden (4). cT3-Tumoren: extendierte pelvine Lymphadenektomie vor radikaler Prostatektomie.

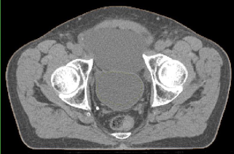
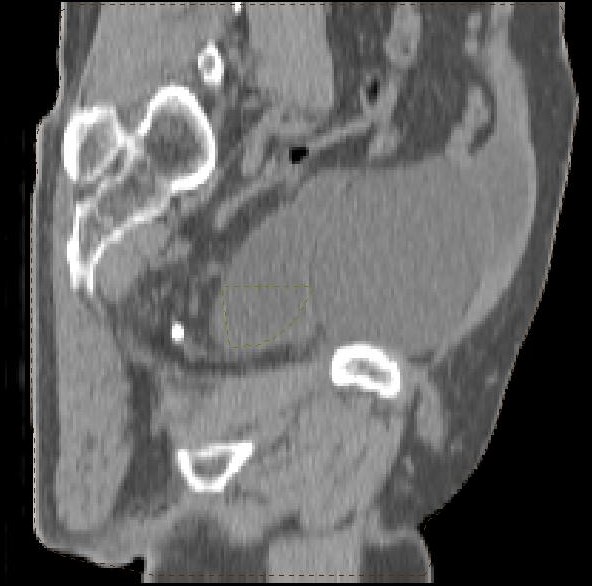
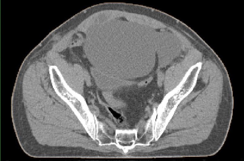
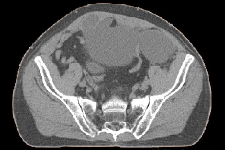
postoperative Lymphozele


Große Lymphozelen nach laparoskopischer pelviner Lymphonodektomie.

Quellen

1.) Kane CJ, et al.:
Outcomes after radical prostatectomy among men who are candidates for active surveillance: results from the SEARCH database.
Urology 76(2010):695 – 700

2.) Weight C, et al.:
Limited pelvic lymph node dissection does not improve biochemical relapse free survival at 10 years after radical prostatectomy in patients with low risk prostate cancer.
J Urol 71(2008):141 – 5

3.) Pierorazio PM , et al.:
Long-term survival after radical prostatectomy for men with high Gleason sum in pathologic specimens.
Urology 76(2010): 715 – 21

4.) Leitlinienprogramm Onkologie (Deutsche Krebsgesellschaft, Deutsche Krebshilfe, AWMF):
Konsultationsfassung: Interdisziplinäre Leitlinie der Qualität S3 zur Früherkennung, Diagnose und Therapie der verschiedenen Stadien des Prostatakarzinoms,
Federführende Fachgesellschaft: Deutsche Gesellschaft für Urologie (DGU)
Langversion 4.0, 2016 AWMF Registernummer: 043/022OL,
http://leitlinienprogramm-onkologie.de/Prostatakarzinom.58.0.html
(Zugriff am: 17.03.2018)

5.) Bill-Axelson A, et al.:
Radical prostatectomy versus watchful waiting in early prostate cancer.
The New England journal of medicine 2011;364(18):1708-17. DOI:10.1056/NEJMoa1011967.

6.) Bill-Axelson A, et al.:
Radical prostatectomy versus watchful waiting in localized prostate cancer: the Scandinavian prostate cancer group-4 randomized trial.
J Natl Cancer Inst 2008;100(16):1144-54.

7.)Bill-Axelson A, et al.:
Radical prostatectomy versus watchful waiting in early prostate cancer.
NEJM 2005;352(19):1977-84

8.) Swindle P, et al.:
Do margins matter? The prognostic significance of positive surgical margins in radical prostatectomy specimens.
J Urol 2008;179(5 Suppl):47-51
doi: 10.1016/j.juro.2008.03.137

Teil von

Therapie des Prostata - Karzinoms Prostata - Karzinom urologische Tumoren Onkologie

Impressum                           Zuletzt geändert am 17.01.2015 22:50