zurück

Rektum-Schonung
Strahlentherapie des Prostata - Karzinoms

Allgemeines

Das Rektum ist wegen seiner Lage direkt dorsal der Prostata besonders stark belastet. Zur Schonung des Rektums sind verschiedene Methoden verwendet worden.

Rectafix

Es wird ein Stab ins Rektum eingeführt. Durch eine Mechanik wird das Rektum nach dorsal gedrückt und so von der Prostata entfernt. Rectafix

SpaceOAR

Es wird ein Hydrogel zwischen Prostata und Rektum gespritzt. Dadurch wird der Abstand zwischen Rektum und Prostata vergrößert.
Rectafix
Vertrieb:
CS Diagnostics
MCS ConPharma

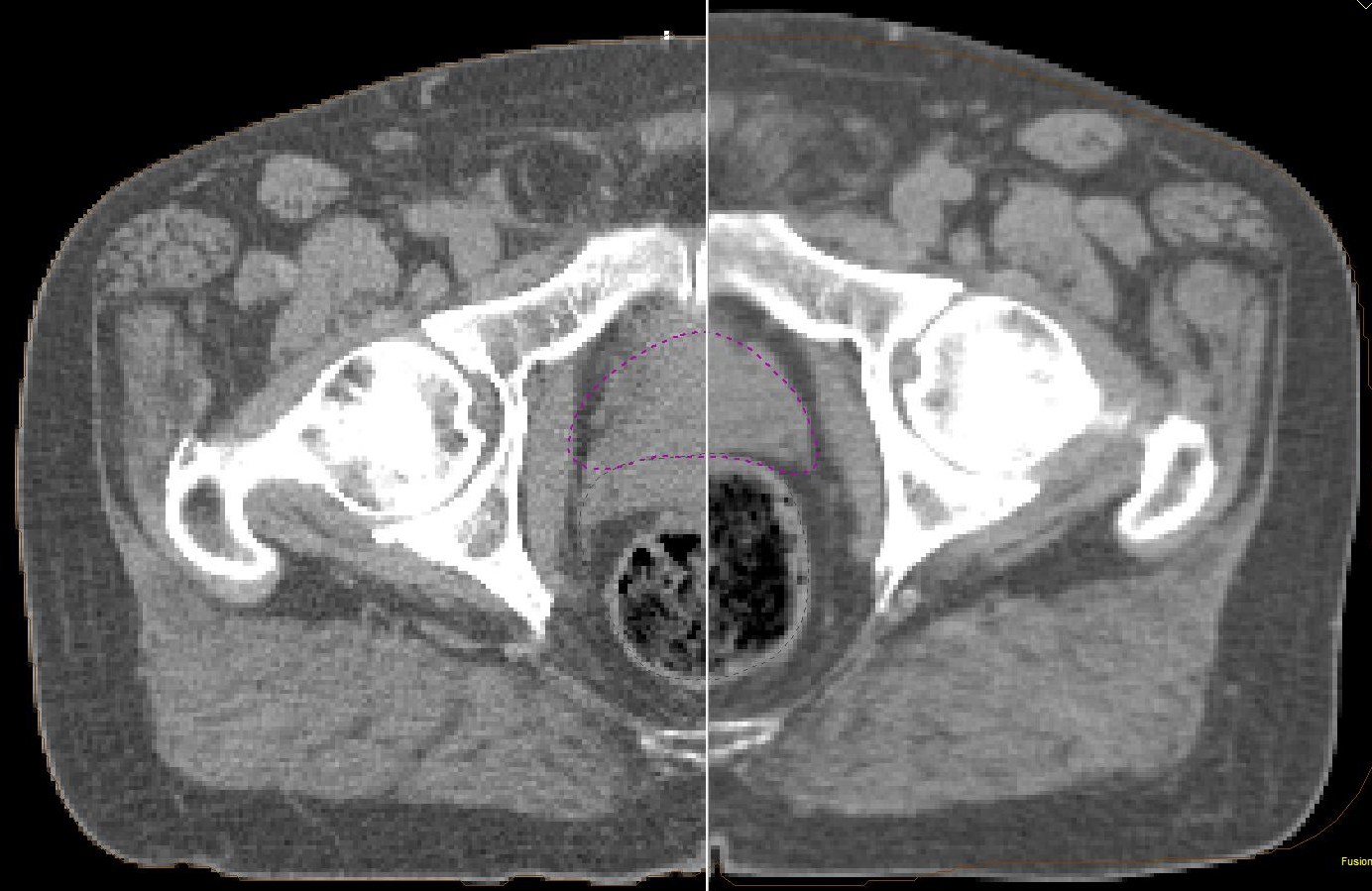
Rektumfüllung

Die Rektumfüllung kann die Lage der Prostata verändern:

Das CT der rechten Bildhälfte wurde mit stark gefülltem Rektum gemacht. Die Wiederholung nach Darmentleerung (linke Bildhälfte) zeigt, dass das eingezeichnete ZV die dorsalen Abschnitte der Prostata nicht erfasst.

Teil von

Strahlentherapie des Prostata - Karzinoms Therapie des Prostata - Karzinoms Prostata - Karzinom
urologische Tumoren Onkologie
 

Impressum ..................................................................................... Zuletzt geändert am 14.06.2014 20:44