zurück Home

Marker

Allgemeines

Zur täglichen Lokalisation der Prostata am Beschleuniger können Gold-Marker (engl.: Fiducial) eingesetzt werden.
Gold Marker Strand der Fa. Best
strandes Fiducial

Größe

DickeLängeNadeln
1 mm5 mm 18 G
1 mm7 mm 18 G
1,2 mm3 mm 17 G
Die Nadelöffnung ist mit Wachs verschlossen. Die Oberfläche ist glatt oder geriffelt.

Lieferung

Lieferung in der BRD z.B. durch HEK medical oder CS Diagnostics.

Beispiel

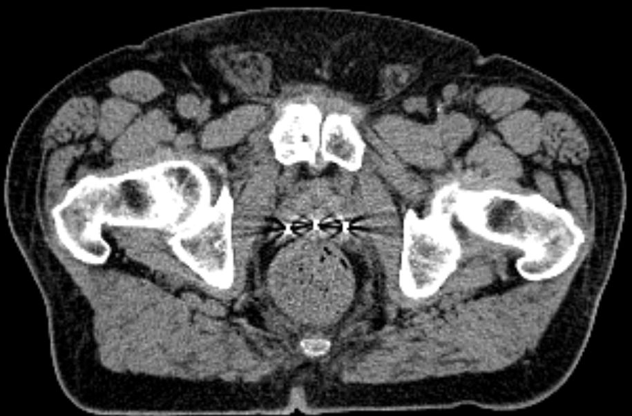
3 Marker wurden in der Prostata plaziert.
Beam View
Selbst im MV-Beamview sind die 3 Marker erkennbar.
Beam View
Im mediolateralen MV-Beamview sind die  Marker an der Hinterkante des Femurs erkennbar.
Beam View

Quellen

1.)

Teil von

Strahlentherapie des Prostata - Karzinoms Therapie des Prostata - Karzinoms Prostata - Karzinom
urologische Tumoren Onkologie

Impressum                         Zuletzt geändert am 13.11.2013 17:49