zurück Penis - Karzinom: Diagnostik
Allgemeines

T3 N2 M1

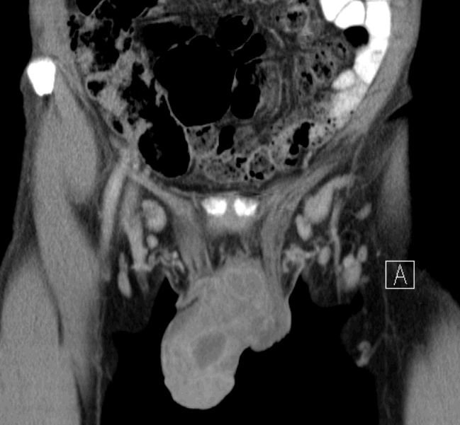
65-jähriger Mann mit fortgeschrittenem Peniskarzinom. Glans und Corpus callosus befallen.

inguinale Lymphknotenmetastasen gut sichtbar.

symmetrische inguinale Metastasen

Inguinale Lymphknotenmetastasen gut sichtbar.

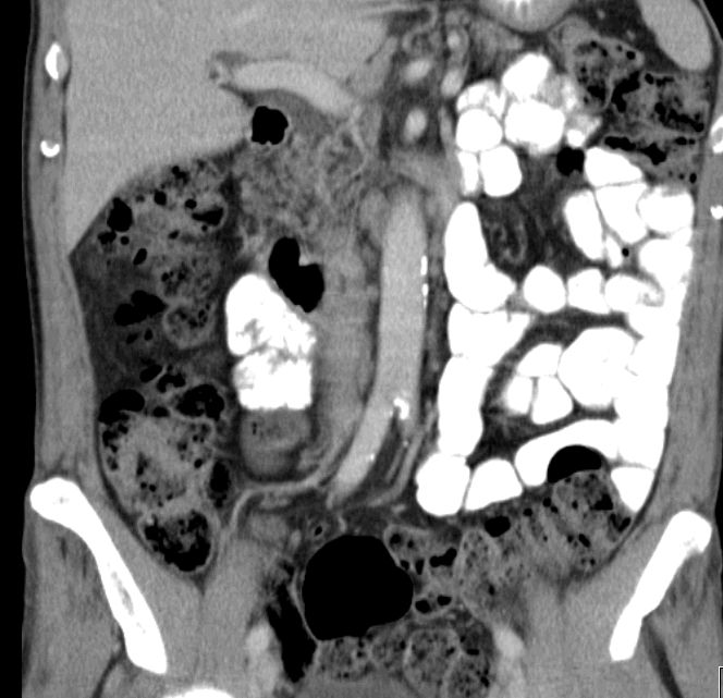
paraaortale Metastasen

Ausgedehnte Lymphnotenmetastasen paraaortal, paracaval und mesenterial


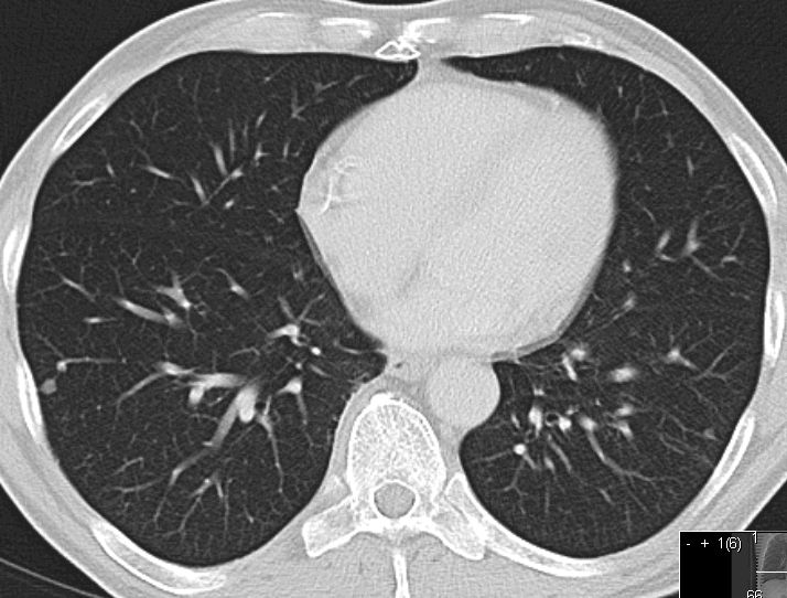
Lungenmetastasen


inguinale Lymphknoten

Lymphknotenmetastasen bei Peniskarzinom

inguinales Lymphknotenrezidiv

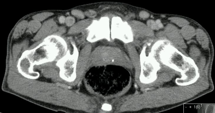
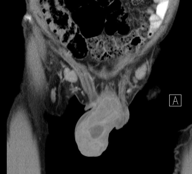
95-jähriger Mann, beim vor 9 Monaten ein Plattenepithelkarzinom der Vorhaut entfernt wurde. Jetzt in beiden Leisten faustgroße, zentral zystisch zerfallende Lymphknotenpakete.

blauer Punkt
Impressum                        Zuletzt geändert am 03.09.2014 16:11